Die überwiegende Zahl der durchgeführten Wurzelkanalbehandlungen lassen sich konservativ voraussagbar therapieren. Konservativ in dem Sinne, dass keine chirurgischen Eingriffe stattfinden müssen, um das Behandlungsergebnis zu sichern oder zu verbessern. Eine von der Universität Toronto durchgeführte Studie [1] zeigte im Rahmen der primären Wurzelkanalbehandlung Heilungsraten von durchschnittlich 81 %. Dabei gab es eine deutliche Korrelation des Therapieerfolges zur apikalen Ausgangssituation. Lagen die Erfolgsraten ohne Vorhandensein einer Osteolyse bei 92 %, sank diese auf 74 %, wenn bei Behandlungsbeginn eine apikale Parodontitis vorlag.
(Abb.: Ivoclar Vivadent GmbH, Schaan).
Im vorliegenden Artikel werden zunächst grundsätzliche Therapieoptionen bei bereits durchgeführten, aber augenscheinlich erfolglosen Wurzelkanalbehandlungen erläutert, bevor anhand verschiedener Fallbeispiele gezeigt werden soll, wann eine kombiniert endodontisch-chirurgische Intervention sinnvoll, wenn nicht sogar unumgänglich ist.
Unumstritten ist, dass es durch eine hohe Anzahl persistierender Bakterien innerhalb des Wurzelkanalsystems zu einer Reinfektion und damit zum Ausbleiben der Ausheilung kommen kann [2, 3]. Ein solches Bakterienreservoir findet sich vorwiegend in Seitenkanälen, Isthmen oder Ramifikationen [4]. Aber auch durch die Behandlung selbst können Nischen (z. B. durch iatrogene Perforationen) für eine erneute Bakterienkolonialisierung entstehen.
An dieser Stelle sind einige mögliche Ursachen, die zu einem endodontischen Misserfolg führen können und nicht anatomischen Gegebenheiten (beispielsweise Ramifikationen) geschuldet sind, zu betrachten.
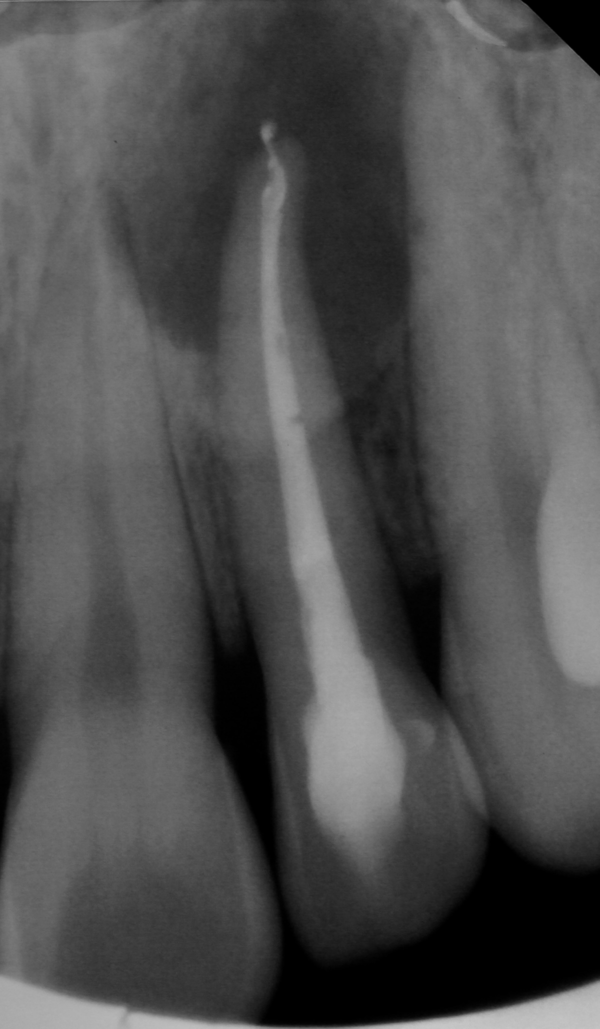
Zahn 21, Hinweise auf möglicherweise
überpresstes Wurzelfüllmaterial im apikalen Bereich.
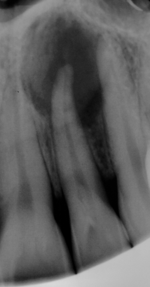
Wurzelfüllung sowie Hinweise auf eine vorhandene
Via falsa.
In einer von Song et al. 2011 durchgeführten Studie wurden 493 Zähne im Rahmen einer mikroskopischen Wurzelspitzenresektion hinsichtlich der möglichen Ursache für den Misserfolg der durchgeführten Wurzelkanalbehandlung untersucht [5]. Die Untersuchung zeigte unter anderem, dass in 30,4 % der Fälle eine undichte Wurzelfüllung, bei 19,7 % ein nicht gefundener bzw. unbehandelter Wurzelkanal, sowie 14,2 % zu kurze Wurzelfüllung und 3 % überpresstes Wurzelfüllmaterial die Ursache für den Misserfolg waren. Zu ähnlichen Ergebnissen kamen auch Tabassum et al. in ihrem 2016 veröffentlichten Artikel zu den möglichen Gründen gescheiterter Wurzelkanalbehandlungen[6]. Weitere in dem Beitrag angesprochene iatrogene Ursachen die einen Misserfolg begründen, waren ein undichter koronaler Verschluss sowie Komplikationen während dem Auffinden oder dem Aufbereiten von Wurzelkanälen (z. B. Perforationen aber auch Instrumentenfrakturen).
Die Wurzelspitzenresektion als adjuvante bzw. Folgetherapie gilt als eine mögliche Alternative zur orthograden Revisionsbehandlung. Bei Einsatz optischer Vergrößerungshilfen (wie beispielsweise Dentalmikroskopen), ultraschallbetriebenen mikrochirurgischen Ansätzen zur retrograden Aufbereitung und dem anschließenden Verschluss mittels auf Kalzium-Silikat basierten Materialien (z. B. mineralischen Trioxid Aggregat, auch als MTA bezeichnet), lassen sich Erfolgsraten von bis zu 90 % erzielen [7, 8].
In Konkurrenz zur Wurzelspitzenresektion steht die bereits genannte orthograde Revisionsbehandlung der vorhandenen Wurzelfüllung. Die Misserfolge in der Literatur variieren hier zwischen 4,5 und 20 %[9, 10]. Bei derart hohen Erfolgsquoten stellt sich die Frage, wann überhaupt eine chirurgische Intervention der Revisionsbehandlung vorzuziehen ist, bzw. als Kombination durchgeführt werden sollte. Patientenspezifische Kriterien für die Entscheidungsfindung könnten neben der Dauer der Behandlung (zum Teil multiple und zeitaufwendige Behandlungssitzungen während der Revision), den Kosten (privat zu übernehmender Mehrkosten für die Revisionsbehandlung aufgrund fehlender Abrechnungspositionen in der BEMA) aber auch der Aspekt der „Invasivität“ der Behandlung (also die Angst des Patienten vor dem chirurgischem Eingriff) sein.
Wie bereits angedeutet, sollen im Folgenden am Beispiel von zwei Kasuistiken Therapiemöglichkeiten vorgestellt und diskutiert werden.
Der unumgängliche Fall
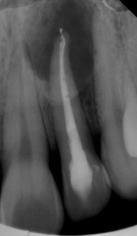
Im Januar 2019 stellte sich ein 52-jähriger Soldat mit einem auf Gingivaniveau abgebrochenen Zahn 21 im Rahmen einer Notfallbehandlung bei uns vor. Zur Wiederherstellung der Ästhetik, Phonetik und Beißfunktion wurde die Krone in direktem Verfahren wieder aufgebaut. Das anschließend angefertigte Röntgenbild zeigte eine zu kurze und inhomogene Wurzelfüllung mit Hinweisen auf eine vorliegende Via falsa.
Gleichzeitig berichtete der Patient über Beschwerden am Zahn, welche wiederholt auftraten und sich durch Druck auf das Vestibulum reproduzieren ließen. Eine Schwellung, Fistelung oder erhöhte Sondierungswerte lagen zu diesem Zeitpunkt nicht vor. Da zur Aufnahme einer laborgefertigten Restauration eine vorherige Stiftinsertion geplant war, vereinbarten wir zunächst die Revision der vorhandenen insuffizienten Wurzelfüllung. Trotz Dentalmikroskop und vorgebogenen Ultraschallfeilen ließ sich der ursprüngliche Kanalverlauf während der Revisionsbehandlung nicht mehr darstellen (Abb. 3 zeigt den Verlauf der Via falsa).
Nach eingehender Aufklärung des Patienten, entschieden wir uns für die Obturation des Wurzelkanals und der Via falsa sowie zur simultanen chirurgischen Entfernung der Wurzelspitze. Ziel war es auch, den nicht mechanisch und chemisch aufbereiteten Wurzelkanalanteil zuverlässig zu entfernen.
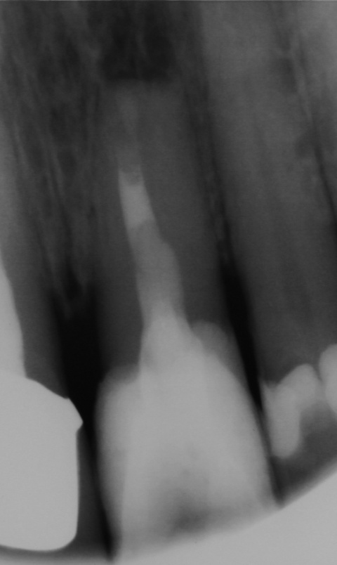
Nach Präparation eines Mukoperiostlappens und Darstellung der Wurzel wurde die apikal überpresste Guttapercha sichtbar. Nach Abtrennung der Wurzelspitze erfolgte die sonoabrasive retrograde Präparation mit gebogenen Aufsätzen der Firma Komet Dental (Gebr.Brasseler GmbH, Lemgo) und der retrograde Verschluss mit Biodentine™ (Septodont, Niederkassel). Die während des Eingriffs diagnostizierte Wurzelkaries wurde konservierend versorgt. Beim abschließenden Nahtverschluss mit 6/0 Optilene (Braun Surgical, Rubi) kamen vertikale Rückstichnähte zum Erhalt der Papillen, sowie Einzelknopfnähten im Bereich der Entlastungsschnitte zum Einsatz. Das zehn Monate später angefertigte Kontrollröntgenbild zeigt die vollständige Ausheilung der Resektionshöhle.
Diskussion
Trotz der „etagenweise“ erfolgten Revision der insuffizienten Wurzelfüllung war ein Wiederauffinden des ursprünglichen Wurzelkanals nicht möglich. Zu Erfolgswahrscheinlichkeiten von Revisionen unter Berücksichtigung einer iatrogenen Veränderung der Wurzelkanalanatomie führten Gorni et al. [11] eine Studie durch, in der sie die Erfolgsraten derartiger Therapien nach 24 Monaten beurteilten. Bei unveränderter Wurzelkanalmorphologie (z. B. zu kurzer Wurzelfüllung) lagen die Erfolgsraten bei 86,6 %. Lagen jedoch iatrogen verursachte Veränderungen (beispielsweise Perforationen) vor, reduzierte sich diese auf 47 %.
OP, es zeigt sich eine annähernd vollständige
Ausheilung der Resektionshöhle.
Eine solche Veränderung lag auch in diesem Fall vor. Um das einleitend genannte Problem der Reinfektion durch belassene Bakterien [2, 3] zu eliminieren, entschieden wir uns daher zur simultanen Wurzelspitzenresektion. Aufgrund der bioaktiven Eigenschaften sowie der geringen Zytotoxizität [12] wählten wir ein auf Kalzium-Silikat basiertes Material (Biodentine™) für den retrograden Verschluss. Dessen reduzierter Röntgenkontrast ist der Zusammensetzung geschuldet. Um die zum Teil unschönen Verfärbungen von Zahnkronen nach Einsatz derartiger Werkstoffklasse zu vermeiden, entschied sich der Hersteller, Zinkoxid statt Bismuthoxid zu verwenden. Damit kommt es im Vergleich mit anderen Präparaten (z. B. ProRoot MTA® [13] der Firma Dentsply DeTrey GmbH aus Konstanz) zu deutlich weniger Diskolorationen, gleichzeitig tritt aber eine verminderte Röntgenopazität auf [14].
„Apikale“ Chirurgie ohne Resektion
Zahn 22, zudem zeigen sich Kalzifizierungen im
Bereich des Wurzelkanaleinganges.
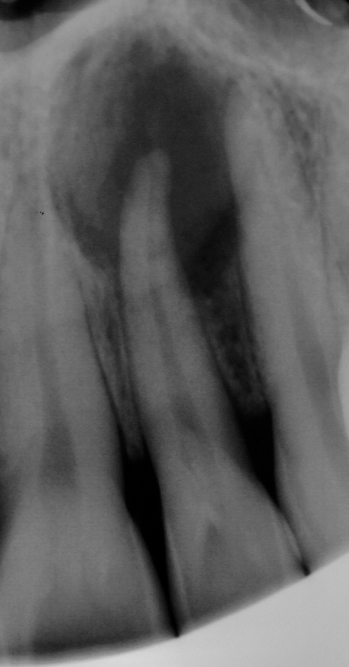
Eine 39-jährige Soldatin stellte sich im Januar 2020 mit Druckbeschwerden Regio 22 in unserer Abteilung vor. Wie auch in der vorangegangenen Falldarstellung konnten die Beschwerden mit Druck auf das Vestibulum verstärkt werden. Der Perkussionstest fiel deutlich positiv, der Vitalitätstest hingegen negativ aus. Eine erhöhte Lockerung des Zahnes lag, trotz des eindrucksvollen Röntgenbefundes, nicht vor. Erste Beschwerden traten laut Aussage der Patientin bereits 2014 auf. Das zu diesem Zeitpunkt angefertigte Röntgenbild zeigte keinen signifikanten pathologischen Befund, woraufhin die Situation weiterhin beobachtet wurde. Das aktuell angefertigte Röntgenbild zeigte eine umfangreiche periapikale Osteolyse, welche sich bis zu den Wurzelspitzen 21 und 23 erstreckte. Der Vitalitätstest der beiden benachbarten Zähne fiel positiv aus.
Nach Aufklärung der Patientin wurde die primäre Wurzelkanalbehandlung eingeleitet. In einem ersten Schritt erfolgte die Isolierung des Zahnes mittels Kofferdam und die Trepanation unter mikroskopischer Sicht. Nach durchgeführter endodontischer Behandlung kam Ledermix® (Riemser Pharma GmbH, Greifswald) als medikamentöse Einlage zum Einsatz. Zur Kontrolle und Medikamentenwechsel wurde ein Termin eine Woche später vereinbart. Bei erneuter Vorstellung war die Patientin annähernd beschwerdefrei und die Fistelung in Ausheilung begriffen. Erneut wurde der Wurzelkanal mit 10 ml 3,5 %-igen Natriumhypochlorit gespült und ein Calciumhydroxidpräparat (Ultracal XS der Firma Ultradent Products GmbH, Köln) eingelegt.
Zwei Wochen später (eine Woche vor dem regulären Termin zur Wurzelfüllung) stellte sich die Patientin erneut mit Beschwerden sowie erstmal aufgetretener Fistelung in unserer Abteilung vor. Nach eingehender Aufklärung entschlossen wir uns zusammen mit der Patientin, die endodontische Therapie kombiniert chirurgisch zu unterstützen. Für die nächsten zehn Tage schirmten wir sie medikamentös ab (Amoxiclav 1000 mg der Firma 1A Pharma GmbH, Unterhaching), so dass die Einnahme des Antibiotikums den operativen Eingriff zusätzlich flankierte.
Fünf Tage später waren die Beschwerden abgeklungen und die Fistelung annähernd ausgeheilt.
apikale entzündliche Prozesse.
Nach Wurzelfüllung des Zahnes 22, erfolgte die intrasulkuläre Schnittführung mit Entlastungenschnitten mesial der Zähne 21 und 24, um einen ausreichenden Abstand der Schnittränder zum Defekt zu gewährleisten. Bereits während der Lappenbildung imponierte ein umfangreicher Defekt des vestibulären Knochens in Höhe der Wurzelspitze des Zahnes 22. Die Osteolyse dehnte sich bis zu den Wurzeln der Zähne 21 und 23 aus und durchbrach zudem die palatinale und nasale knöcherne Begrenzung. Nach Entfernung des Granulationsgewebes deckten wir den Defekt mit einer resorbierbaren Kollagenmembran (Creos Xenoprotect der Firma Nobel Biocare AB, Göteborg) ab und vernähten den Mukoperiostlappen spannungsfrei.
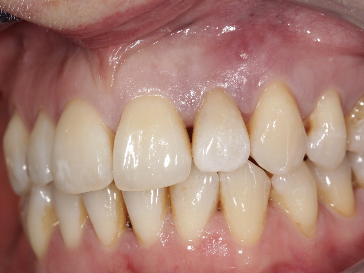
Bei der Kontrolle zwei Monate später war die Patientin vollkommen beschwerdefrei und die Fistelung ausgeheilt. Lediglich die Verfärbungen in Folge der unterstützenden chemischen Reinigung mit einem chlorhexidinhaltigen Präparat empfand die Patientin als ästhetisch störend.
Diskussion
Der chirurgische Eingriff erfolgte ohne Entfernung der Wurzelspitze des Zahnes 22. Laut der bereits erwähnten Untersuchung von Song et al.[5] lag unter anderem eine Ursache für den Misserfolg einer durchgeführten Wurzelkanalbehandlung zu 8,7 % in einer komplexen anatomischen Struktur und zu 19,7 % in einem übersehenen Wurzelkanal. Das mechanische und chemische Aufbereiten des hier vorgefundenen Wurzelkanals sowie die Obturation waren jedoch auch ohne Resektion der Wurzelspitze problemlos möglich. Wie in Abbildung 11 zu sehen, kam es zu einer intendierten Überfüllung des Wurzelkanals. Daher ist von einer Nischenbildung im apikalen Bereich nicht auszugehen. Das überpresste Wurzelfüllmaterial konnte im Rahmen des anschließenden chirurgischen Eingriffs zuverlässig entfernt werden. Eine zusätzliche Wurzelspitzenresektion hätte in diesem Fall keinen entscheidenden Vorteil gebracht. Kritisch hingegen ist zu betrachten, ob wir der kombiniert endodontisch-chirurgischen Therapie nicht gleich zu Anfang der Behandlungsplanung den Vorzug hätten geben sollen.
palatinal und nasal wurden durch die Osteolyse resorbiert.
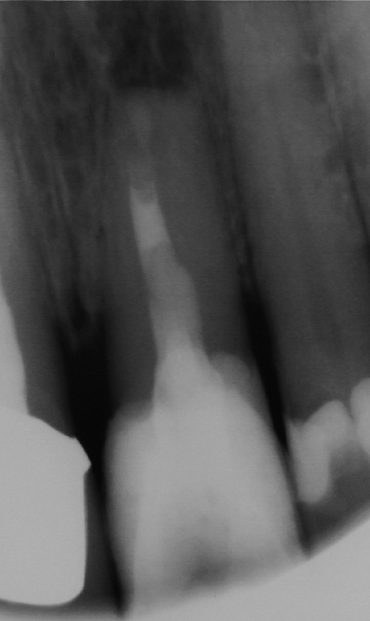
des Zahnes 22, das überpresste Wurzelfüllmaterial
zeigt die vollständige Erfassung des Wurzelkanalsystems.
die Fistelung Region 22 ist annähernd abgeklungen.
Zum Einfluss der Größe apikaler Läsionen auf die Erfolgsraten gibt es auf der einen Seite Studien, die geringere Erfolgsraten bei zunehmender Größe der Läsion zeigen [15]. Andererseits postulieren andere Untersuchungen keinen signifikanten Einfluss der Läsionsgröße auf den Behandlungserfolg [16]. Ausschlaggebend in dieser Kasuistik war, dass die sich die Läsion vermutlich über einen sehr langen Zeitraum (erstes Auftreten der Beschwerden im Jahre 2014) entwickelt hat, was sich wahrscheinlich in der Quantität und Qualität der vorhandenen Mikroorganismen niedergeschlagen haben dürfte. Zum anderen gab das Wiederauftreten der Beschwerden und die neu entstandene Fistelung Grund zur Annahme, dass auch extraradikuläre Bakterien die Entzündungsreaktion fördern. Ein im Jahre 2006 von Nair [17] durchgeführtes Review führt mögliche Keime in periradikulären Läsionen (z. B. Aktinomyzeten) als Ursache für persistierende Infektionen auf. Unterstützt wird das von uns gewählte Vorgehen durch die Studienergebnisse von Ng et al. [18], die eine reduzierte Erfolgswahrscheinlichkeit von nicht-chirurgischen Wurzelkanalbehandlung bei Vorliegen einer periapikalen Osteolyse zeigten. Gleichzeitig reduzierte sich die Prognose mit Zunahme der Läsionsgröße.
Fazit
Zähne resultierten aus der Anwendung eines chlorhexidinhaltigenhaltigen
Präparates.
wurden vertikale Rückstichnähte gelegt, der Verschluss der Entlastungsschnitte
erfolgte mit Einzelknopfnähten.
Die beschriebenen Fälle sollen nicht suggerieren, dass das bloße Vorliegen einer apikalen Läsion einen chirurgischen Eingriff begründet. Genauso wenig ist bei umfangreichen Osteolysen, die uns im täglichen Arbeitsalltag häufig begegnen, eine konventionelle Wurzelkanalbehandlung hoffnungslos. Die gewissenhafte Durchführung primärer Wurzelkanal- oder Revisionsbehandlung mit ausreichender mechanischer und chemischer Aufbereitung möglichst des gesamten Wurzelkanalsystems ist die Basistherapie und macht in den meisten Fällen eine „Korrektur“ im Sinne eines zusätzlichen chirurgischen Eingriffes unnötig. Das belegen die hohen Erfolgsquoten in der Endodontologie [9, 10].
Fallbezogen muss jedoch die invasive Therapie, etwaig simultan zur Wurzelkanalbehandlung durchgeführt, bei entsprechender Indikationsstellung in Erwägung gezogen werden [5, 6, 11]. Wichtig ist auch eine sinnvolle Kosten-Nutzen-Abwägung hinsichtlich des Risikos zu treffen. Beispielhaft sei hier die erhöhte Gefahr der Wurzelfraktur während einer Stiftentfernung oder das erhöhte Risiko einer Perforation während der Entfernung apikal gelegener Instrumentenfragmente zu nennen. Letztendlich spielen auch patientenspezifische Faktoren mit in die Entscheidung. Toleriert der Patient die Dauer der Revisionsbehandlung und akzeptiert er die möglicherweise erneut notwendige Investition eines neu anzufertigenden Zahnersatzes? Werden beispielsweise diese Fragen verneint, sollte ein chirurgischer Eingriff durchgeführt werden.
Literatur beim Verfasser
Alle Abbildungen bei Verf.
Anschrift des Verfassers:
Oberstabsarzt Dr. Andreas Simka
Bundeswehrkrankenhaus Hamburg
Abt. XXIII – Zahnmedizin
Lesserstraße 180
22049 Hamburg
E-Mail: [email protected]
Datum: 01.11.2020
Quelle:
Wehrmedizin und Wehrpharmazie 2/2020
Wehrmedizin und Wehrpharmazie 2/2020
Wehrmedizin und Wehrpharmazie 2/2020




