Conn Rother¹, Niklas Gebauer², Thomas Mayer¹, Armin Riecke¹, Matthias Müller¹, Carsten Hackenbroch³, Chris Schulz⁴, Konrad Steinestel⁵, Hanno M. Witte¹,²
¹ Bundeswehrkrankenhaus Ulm, Klinik für Innere Medizin/Hämatologie und Onkologie
² Universitätsklinikum Schleswig-Holstein, Campus Lübeck, Klinik für Hämatologie und Onkologie
³ Bundeswehrkrankenhaus Ulm, Klinik für diagnoistische und interventionelle Radilogie und Neuroradiologie
⁴ Bundeswehrkrankenhaus Ulm, Klinik für Neurochirurgie
⁵ Bundeswehrkrankenhaus Ulm, Institut für Pathologie und Molekularpathologie
Zusammenfassung
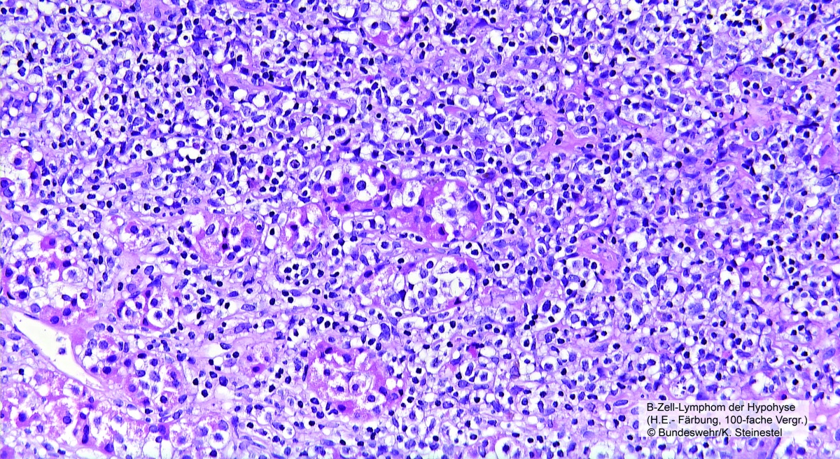
Wir präsentieren die seltene Manifestation eines diffus-großzelligen-B-Zell Lymphoms (DLBCL) im vorderen Anteil der Hypophyse. Bei initialer Präsentation bestand ein partieller Hypopituarismus und eine inkomplette Okulomotoriusparese. Unter dem Verdacht eines Hypophysenmakroadenoms wurde eine transsphenoidale Resektion durchgeführt. Die anschließende histopathologische Begutachtung brachte das Ergebnis eines malignen Lymphoms hervor. Die Immunchemotherapie mittels R-CHOP (Rituximab, Cyclophosphamid, Doxorubicin, Vincristin, Prednisolon) führte zu einer kompletten Remission.
Die Analyse der vorliegenden Literatur konnte insgesamt 36 Fälle von Non-Hodgkin-Lymphomen der Hypophyse identifizieren. Der Nicht-Keimzentrums (non-GCB oder ABC)-Typ eines DLBCL gemäß der Hans-Klassifikation kommt etwas häufiger vor als der Keimzentrums- GCB-Typ. Eine visuelle Störung, hervorgerufen durch eine Kompression des Chiasma opticum oder des Nervus opticus, oder endokrinologische Störungen der Adenohypophyse, mit oder ohne Auftreten eines Diabetes insipidus, gehören zu den am häufigsten dokumentierten Symptomen bei diesen Patienten.
Stichworte: Diffus großzelliges B-Zell Lymphom, Hypophyse, Prognose, Immunchemotherapie
Hier geht es zum ausführlichen Artikel.
Datum: 23.06.2020


