Aus der Abteilung Innere Medizin (Abteilungsleiter: Oberstarzt Dr. C. Busch) des Bundeswehrkrankenhauses Hamburg (Chefarzt: Generalarzt Dr. J. Hoitz)
Zusammenfassung
Einleitung/Hintergrund: Die akute obere gastrointestinale Blutung stellt eine häufige Notfallsituation dar, die auch durch die Ausweitung der antikoagulativen Therapien häufiger auftreten wird.
Die „klassischen“ Blutstillungsmaßnahmen, wie Unterspritzung und Clipping, werden nun durch „Neuheiten“ ergänzt, die die Möglichkeiten einer Blutstillung in der Akutsituation erweitern.
Falldarstellung: Es wird der erfolgreiche Einsatz neuer Blutstillungsmittel bei flächiger oberer gastrointestinaler Sickerblutung vorgestellt, bei der die Verwendung von Unterspritzung und Clip-Setzung nicht anwendbar oder unzureichend gewesen wären.
Diskussion/Schlussfolgerung: Nicht jede gastrointestinale Blutung lässt sich mit den klassischen Blutstillungsmaßnahmen effektiv behandeln. Bei großflächigen Blutungen sind Clips und Unterspritzung meist unzureichend, thermische Behandlungsmaßnahmen nicht immer verfügbar.
Mit Hemospray™ steht nun als weitere therapeutische Option ein Blutstillungsmittel zur Verfügung, mit dem auch bislang schlecht zu stillende großflächige Blutungen versorgt werden können.
Im Auslandseinsatz ist dieses leicht zu bedienende System besonders für nicht regelmäßig endoskopierende Sanitätsstabsoffizere Arzt eine sinnvolle und sichere Behandlungsoption bei gastrointestinalen Blutungen.
Schlüsselworte: Gastrointestinale Blutung, Unterspritzung, Clipping, Hemospray™, OTSC®
Keywords: gastrointenstinal bleeding, sundmucosal injetion, clipping, Hemospray™, OTSC®
Einleitung
Die gastrointestinale (GI) Blutung stellt eine häufige Notfallsituation dar, die auf Grund der Ausweitung der antikoagulativen Therapien – auch bedingt
durch die einfachere und effektive Verwendung von direkten oralen Antikoagulanzien – zukünftig häufiger auftreten wird. Zudem ist im Rahmen von endoskopischen Eingriffen, wie Submukosaresektionen oder anderer Entfernung großflächiger Läsionen, ein erhöhtes Blutungsrisiko zu verzeichnen.
Bei aktiver Blutung oder stattgehabten Blutungen mit hohem Rezidivblutungsrisiko ist eine sichere und wirkungsvolle Blutstillung erforderlich. Die „klassischen“ Blutstillungsmaßnahmen, wie Unterspritzung und Clipping, werden nun durch „Neuheiten“ ergänzt und erweitern so die Möglichkeiten einer Blutstillung in der Akutsituation.
Die Auftragung eines mineralischen Pulvers zur Blutstillung findet im Rahmen der Traumabehandlung schon seit Jahren Anwendung; mit Hemospray™ steht ein ähnliches Verfahren zur endoskopischen Anwendung zur Verfügung.
Falldarstellung
Am frühen Abend wurde durch den Rettungsdienst ein 66-jähriger Patient in die zentrale Notaufnahme des Bundeswehrkrankenhauses (BwKrhs) Hamburg mit seit dem Nachmittag bestehenden stärksten epigastrischen Schmerzen und Hämatinerbrechen eingewiesen.
Anamnese
Anamnestisch wurde von einer Magenperforation im Vorjahr berichtet, die laut Angaben des Patienten mit einer ähnlichen Symptomatik begann. Eine Therapie mit Protonenpumpeninhibitor (PPI) war eine Woche vor Beginn der aktuellen Schmerzsymptomatik aufgrund fehlender Beschwerden abgesetzt worden. An weiteren relevanten Vorerkrankungen bestanden ein arterieller Hypertonus und eine Adipositas, Hinweise auf eine Leberzirrhose bzw. Ösophagusvarizen lagen nicht vor.
Aufnahmebefund
Bei der klinischen Untersuchung ergaben sich keine Hinweise auf eine Perforation, die Bauchdecke war weich, es bestand keine Abwehrspannung.
Sonographisch waren die darstellbaren Organe des Oberbauches bis auf eine leichtgradige Steatosis hepatis unauffällig, freie Flüssigkeit war nicht nachzuweisen, klinisch war der Patient bis auf eine grenzwertige Tachykardie (100/min) kreislaufstabil. Im Labor war der Hämoglobin-Gehalt leicht erniedrigt (HB 10 g/dl, anamnestisch bestand keine Anämie), die Gerinnungsparameter waren normwertig.
Verlauf
Bei erneutem Erbrechen von Hämatin und frischen blutigen Anteilen erfolgte aufgrund der Anamnese und der unklaren Situation die Entscheidung zur Notfallendoskopie.
Nach Angabe des Patienten bestand zu diesem Zeitpunkt eine Nüchternheit seit mehr als 6 h. Die Endoskopie wurde anästhesiologisch mit fraktioniertem intravenösen Propofol unterstützt und unter Intubationsbereitschaft durchgeführt.
Unmittelbar nach Einführen des Gastroskops erbrach der Patient etwa 1 l mit Hämatin durchsetzter Flüssigkeit, die mit dem therapeutischen Endoskop zum Teil bereits im Ösophagus abgesaugt werden konnte. Eine Aspiration des in Linksseitenlage befindlichen Patienten zeigte sich nicht, sodass die Untersuchung nach Absaugen der Flüssigkeit bei stabilen Herz-Kreislaufverhältnissen und peripheren O2-Sättigungswerten über 95 % weiter durchgeführt werden konnte.
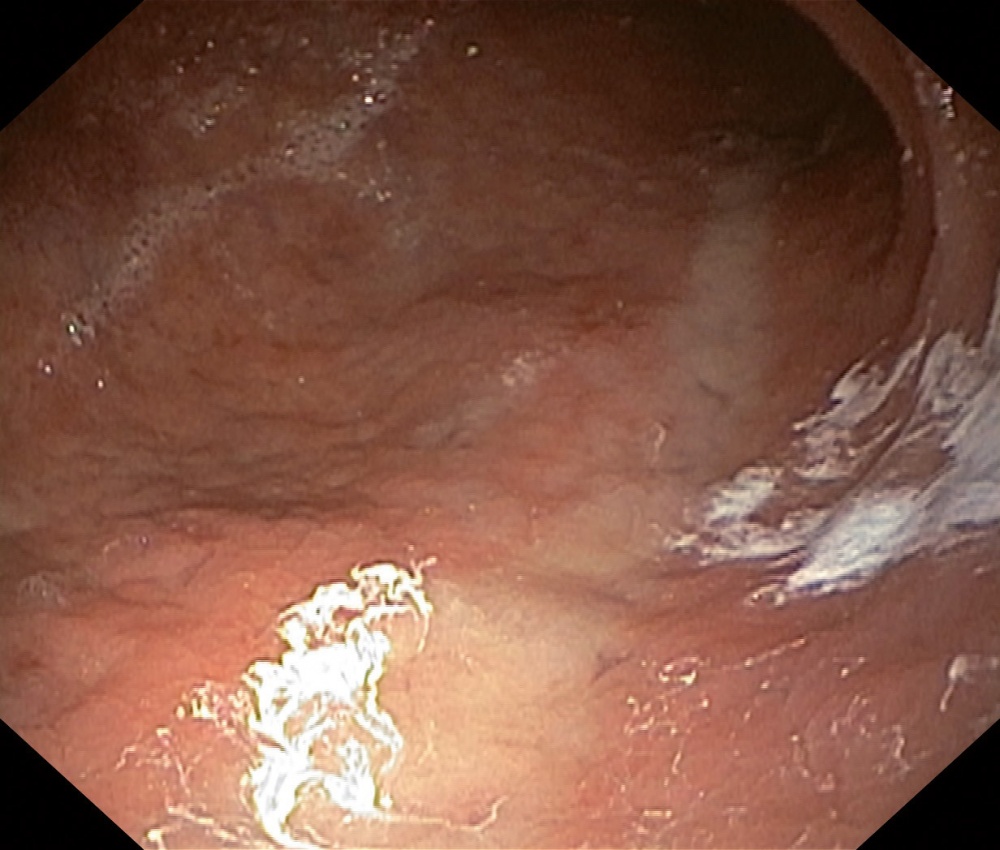
Als Blutungsursache zeigten sich nach entsprechender Säuberung des Magens mehrere großflächige erosiv-ulzerierende Schleimhautdefekte mit
bestehender Sickerblutung im Bereich der großen und kleinen Kurvatur (Abbildung 1). Weitere Blutungsquellen fanden sich in der Untersuchung nicht.
Aufgrund des großflächigen Befundes waren die klassischen endoskopischen Blutstillungsmaßnahmen, wie Unterspritzung mit Adrenalin oder eine Clip-Applikation, nicht möglich bzw. unzureichend, sodass die Entscheidung zur Verwendung von Hemospray™ getroffen wurde.
Nach Applikation von drei Sprühstößen waren die beschriebenen Schleimhautläsionen vollständig mit Hemospray™ bedeckt, und es bestanden keine Blutungszeichen mehr (Abbildung 2). Aufgrund eines unzureichenden Abstandes zur Magenwand wurde während der Sprühstöße die Optik des Endoskops getroffen, wodurch die Sicht eingeschränkt wurde.
Der Patient konnte nach einem adäquaten Überwachungszeitraum kreislauf- und hämoglobinstabil auf eine periphere Station verlegt werden. Eine zeitnahe endoskopische Kontrolle war aufgrund des stabilen Hämoglobingehaltes in den ersten Tagen des stationären Aufenthaltes nicht notwendig. Nach 7 Tagen erfolgte die erste geplante Nachuntersuchung, die keine neuen Blutungsstigmata und eine Abheilung der Läsionen zeigte (Abbildung 3).
In der weiteren Diagnostik und bei im Verlauf der nächsten Monate erneuten oberen GI-Blutungen mit ähnlichen erosiv-ulzerierenden Befunden waren Anzeichen einer vaskulären Minderversorgung der nicht-erosiv veränderten Schleimhaut im Sinne einer dermographismusähnlichen Veränderung (Abbildung 4) nach Berührung durch Endoskop und/oder Instrumente gefunden worden. Andere Ursachen der rezidivierenden Blutungen, wie Besiedlung mit Heliobacter pylori, NSAR[1]-Einnahme oder Antikoagulation wurden vorher ausgeschlossen.
Die weitere Diagnostik bei Verdacht auf eine ischämisch bedingte Ursache der rezidivierenden Blutungsereignisse erfolgte aufgrund bei im BwKrhs Hamburg fehlender diagnostischer und interventionell-therapeutischer Möglichkeiten in einem anderen Krankenhaus. Hier konnte eine Stenose der Arteria mesenterica superior und des Truncus coeliacus sonographisch und mittels Angio-CT gesichert werden. Eine interventionelle radiologische Stent-Implantation konnte jedoch nicht erreicht werden, sodass eine offene gefäßchirurgische Operation geplant ist.
Diskussion
Epidemiologie und Genese
Akute obere GI-Blutungen stellen eine häufige medizinische Notfallsituation dar. Ihre jährliche Inzidenz schwankt je nach Population und Risikoprofil zwischen 37 bis 172 pro 100 000 Einwohner [1] mit einer Mortalität von etwa 13 %. Die jährliche Inzidenz unterer GI-Blutungen wird mit 20,5 bis 27 Fällen pro 100 000 Einwohner angegeben. Die Mortalität ist hier mit 2 bis 4 % deutlich niedriger als die der oberen GI-Blutungen [3].
Die obere gastrointestinale Blutung lässt sich entsprechend der Genese in variköse und nicht variköse Blutungen unterteilen, was für die zur Verfügung stehenden Therapieoptionen relevant ist.
Therapiemöglichkeiten
Grundsätzlich spielen in der Akutsituation die medikamentösen Therapieformen, wie Protonenpumpeninhibitoren, das Gerinnungsmanagement und die
Transfusion von Blutbestandteilen eine wichtige unterstützende Rolle [1, 2].
Die Endoskopie mit dem Ziel einer Blutstillung ist bei instabilen Patienten und bei Verdacht auf das Vorliegen einer varikösen Blutung zeitnah nach Stabilisierung der Vital- und Laborparameter durchzuführen.
Bei anamnestischen/klinischen Hinweisen auf eine obere GI-Blutung ohne Hinweis auf eine variköse Ursache sollte früh – innerhalb von 24 h – eine Ösophagogastroduodenoskopie (ÖGD) durchgeführt werden, die kosteneffizient und mit einer geringeren Mortalität sowie kürzerer Hospitalisierung vergesellschaftet ist [4].
Während variköse Blutungen, wie Ösophagus- und Fundusvarizen, endoskopisch primär durch Ligaturen, Sklerosierung oder Stents behandelt werden, bieten die nichtvarikösen Blutungen, wie peptische Ulcera oder Ösophagitiden, ein breiteres Spektrum an Therapiemöglichkeiten [5].
Gemäß Guidelines des „National Institute of Clinical Evidence (NICE)“ für das Management der oberen GI-Blutung aus dem Jahr 2012 (Update 2014) werden drei Verfahren zur endoskopischen Blutstillung bei nicht-varikösen Blutungen empfohlen [6]:
• die Injektionstherapie von Adrenalin zur Vasokonstriktion sowie die Applikation von Fibrin oder Sklerosierungsmitteln,
• die thermische Koagulation des blutenden Bereiches durch direkte oder indirekte Hitze, wie z. B. mittels „Heater Probe“, Elektro-Hydrothermo-Sonde (EHT) oder Laser-Argon-Plasma-Therapie, und
• die mechanische Okklusion mithilfe von Clips.
Die Adrenalininjektion sollte in der Regel in Kombination mit Fibrin/Thrombin, thermischer oder mechanischer Therapie genutzt werden [7]. Grund hierfür ist nach dem Ergebnis einer 2012 durchgeführten Metaanalyse mit mehr als 1 000 Patienten, dass bei gleicher Mortalität ein signifikant niedrigeres Rezidivblutungsrisiko bei Kombinationstherapie im Vergleich zur Monotherapie resultiert [6]. Grundsätzlich sollte also immer eine Kombination der blutstillenden Maßnahmen erfolgen, um die Rezidivblutungsgefahr zu minimieren.
Bei der Detektion einer aktiven gastrointestinalen Blutung (Forrest[1] I) oder Zeichen einer stattgehabten Blutung mit hohen Rezidivblutungsrisiko (Forrest IIa und b) ist die endoskopische Hämostase indiziert. Neben den oben genannten etablierten Therapieoptionen gibt es aktuell folgende Neuheiten: der Over-the-Scope-Clip (OTSC®) und Hemospray™.
Over-the-Scope-Clip
Der OTSC® ist ein im Verhältnis zu den üblichen Clips deutlich größerer, ebenfalls endoskopisch platzierbarer Clip, bei dem ein größeres Areal an Gewebe mit deutlich höherem Druck erfasst werden kann als bei konventionellen Clips. Der OTSC® kann bei Versagen von konventionellen Therapien und in speziellen Situationen, wie z. B. Dieulafoy-Läsionen oder Perfora-tionen, verwendet werden [8].
Hemospray®
Technik und Wirkprinzip
Hemospray™ (TC-325; Cook Medical Inc., Winston-Salem, North Carolina, USA) ist ein mineralisches Pulver, das zurzeit zur Therapie der oberen GI-Blutung (ohne Varizenblutung) zugelassen ist. Seit 2011 häufen sich Berichte, die sowohl am Schweinemodell [10], in Case Reports [11] als auch in Multicenterstudien [12] eine hohe Erfolgsrate dokumentieren. Dies betrifft die Behandlung von peptischen Ulcera bis hin zu post-ERCP-Blutungen mit Sphinkterotomie [9 – 12]. Bei unteren GI-Blutungen ist der Hemospray™ – im Off-Label-Use – nach neueren Daten erfolgversprechend einsetzbar [13]. Er eignet sich vor allem bei Blutungen, die für eine andere Methode schwierig zugänglich sind, oder wenn eine größere Fläche – wie z. B. nach endoskopischer Mukosaresektion (EMR) – betroffen ist.
TC-325 ist als proprietäres Mineralstoffpulver speziell für die endoskopische Hämostase entwickelt. Ideengebend waren ähnliche Substanzen, welche zur topischen Hämostase von externen Wunden erfolgreich vom Militär entwickelt und genutzt wurden, z. B. auch bekannt unter QuickClot ACS+ [14, 15]. Das Hemospray™-System ist als Set mit allen notwendigen Kathetern und Applikationstools ausgerüstet. Der Katheter zur Applikation wird über den Therapiekanal des Endoskops eingeführt; nach Druckaufbau mittels CO2-Kartusche wird die Sub-stanz aus einer Entfernung von 1 – 2 cm für kurze Schübe von
1 – 2 s zielgerichtet auf die Blutungsquelle abgegeben (Abbildung 5). Wenn das Hemospray™ mit einer aktiv blutenden Stelle in Berührung kommt, absorbiert das Pulver Wasser, reagiert dann sowohl kohäsiv als auch adhäsiv und bildet eine mechanische Barriere. Nach fünf Minuten kann die Applikation bis zur Hämostase oder einer maximalen Dosis von 150 g (circa sieben Kartuschen) wiederholt werden [16].
Klinische Anwendung und Studienlage
Die Anwendung von Hemospray™ ist eine nicht-thermische, nicht-traumatische, kontaktlose Blutstillungsmethode, bei der eine komplexe Ausrichtung
wie bei anderen endoskopischen Produkten nicht erforderlich ist und die trotz noch begrenzten Studienumfangs erfolgsversprechende Ergebnisse zu zeigen scheint.
Einige Studien diskutieren als potenzielle Nebenwirkungen eine Embolisation der betroffenen arteriellen Gefäße, eine intestinale Obstruktion oder eine allergische Reaktion. In einer Fallberichtsserie wurde Hemospray™ als Reservemittel auch bei aktiven Varizenblutungen verwendet, ohne dass es zu einer Embolisation kam. Auch intestinale Obstruktionen oder al-ler-gische Reaktionen wurden bisher nicht beschrieben, zumal nach Herstellerangaben der Wirkstoff anorganisch und ohne bekannte toxische Wirkung ist [15].
Die durch Wirkung des Pulvers hervorgerufen Blutstillung hält über etwa 24 Stunden an, sodass in dieser Zeit eine Optimierung der Blutgerinnung und die Etablierung anderer Therapiemaßnahmen (PPI-Therapie, Beginn einer Eradikationstherapie) begonnen werden sollte.
Bewertung des eigenen Vorgehens
Im oben beschriebenen Fall bestand eine Forrest I b Blutung, die aufgrund der Größe der Läsion mit den herkömmlichen Blutstillungsmaßnahmen nur unzureichend hätte versorgt werden können.
Die Applikation von Clips wären prinzipiell zur mechanischen Komprimierung möglich, jedoch aufgrund der Länge und Breite der Läsion eher unzureichend gewesen.
Die Unterspritzung mittels Adrenalin hätte nur für einen kurzfristigen Effekt gesorgt; zudem bestanden aufgrund der Größe der Läsion hierfür ungünstige Bedingungen.
Schlussfolgerungen
Aus klinischer Sicht ist die Weiterentwicklung von blutstillenden Maßnahmen bei GI- Blutungen sinnvoll und notwendig. Gerade durch die Zunahme der Verwendung von Antikoagulanzien und der Ausweitung von endoskopischen Interventionen ist hier durch entsprechende Neuheiten wie Hemospray™ oder den Einsatz des OTSC®-Systems Rechnung getragen worden.
Hemospray™ bietet somit eine neue vielversprechende endoskopische Therapieoption bei oberer GI-Blutung, welche jedoch aufgrund der aktuell noch geringen Fallzahlen weitere Studien – u. a. zur Therapiesicherheit – erfordert. Der berechtigte Einwand der nur kurzfristigen blutstillenden Wirksamkeit von etwa 24 h ist sicherlich ernst zu nehmen und auch bei der Verwendung zu berücksichtigen; aber es kann gegebenenfalls notwendige Zeit gewonnen werden, um andere Maßnahmen durchzuführen oder die auslösenden Ursachen, z. B. eine derangierte Gerinnungssituation, wirksam zu behandeln.
Wehrmedizinische Relevanz
Hemospray™ hat mittlerweile auch Anwendung in den BwKrhs gefunden und mündet in erste eigene Erfahrungen mit diesem Therapeutikum. In den Auslandseinsätzen mit einer (internistischen) Endoskopieeinrichtung (Kosovo und Afghanistan) wird das Spray bereits vorgehalten.
Gastrointestinale Beschwerden sind ein nicht seltenes Krankheitssymptom im Einsatz und erfordern bei Nichtansprechen auf eine medikamentöse Therapie eine weiterführende Diagnostik, die in der Regel auch eine ÖGD beinhalten sollte. Hierbei sind akute Blutungen zwar selten, sollten aber im Falle eines Auftretens und bei entsprechender Forrest-Klassifikation entsprechend suffizient versorgt werden.
Allerdings ist die endoskopische Erfahrung der im Einsatz befindlicher Internisten unterschiedlich ausgeprägt. Im Vergleich zum Clipping ist die Applikation von Hemospray™ einfacher und somit eine praktikable Alternative, um eine primäre Hämostase zu erzielen und Zeit für weitere Maßnahmen (PPI-Therapie, Eradikation, Repatriierung) zu gewinnen.
Das Hemospray™-Set ist mit allen notwendigen Materialen als Komplettset ausgestattet und kann komplikationslos mit den vorhandenen Endoskopen im Einsatz angewendet werden.
Seine Anwendung ist, trotz relativ hoher Beschaffungskosten, aufgrund der langen Haltbarkeit – wie bei vielen anderen im Einsatz vorgehaltenen Arzneimitteln oder Therapieoptionen – vertretbar.
Epidemiologische Betrachtungen hinsichtlich der Häufigkeit von gastrointestinalen Blutungen waren uns aufgrund fehlender Dokumentation nicht möglich; weder über das Patient Evacuation Coordination Centre (PECC) noch über das Einsatzführungskommando waren die Häufigkeit dieser Erkrankungen im Einsatzgebiet, die Indikationen zur ÖGD im Einsatz oder die Gründe der Repatriierungen zu eruieren.
Hemospray™ stellt neben den etablierten Blutstillungsmaßnahmen eine sicher und einfach handhabbare Therapieform bei gastrointestinalen Blutungen dar, die bereits in den Einsatzgebieten mit Endoskopie und in den BwKrhs vorgehalten wird. Für in den Einsatz gehende Internisten, die nicht regelmäßig endoskopieren, sollte vorab eine entsprechende Schulung erfolgen, wie sie auch für andere internistische Diagnoseverfahren (z. B. Echokardographie) gefordert ist.
Die Entwicklung eines Ausbildungskonzeptes zum Umgang mit Hemospray™ im Rahmen der Einsatzvorbereitung für Internisten ist erstrebenswert. Die Fähigkeit zur sicheren Anwendung ist mit deutlich weniger Aufwand zu vermitteln als dies bei anderen „etablierten“ Verfahren der Fall ist.
Kernaussagen
• Eine Zunahme von gastrointestinalen Blutungen durch Ausweitung der Antikoagulationstherapie und der interventionellen Endoskopie ist zu erwarten.
• Eine Blutstillung ist bei aktiven oder zur Rezidivblutung neigenden Läsionen durchzuführen.
• Nicht alle „klassischen“ Blutstillungsmaßnahmen sind immer verfügbar oder für die entsprechende Läsion anwendbar.
• Neue Blutstillungsmaßnahmen – wie Hemospray™ – bieten auch dem nicht erfahrenen Endoskopiker eine sichere und effektive Option, Blutungen unter Kontrolle zu bringen.
• Eine Einweisung in diese neue Therapiemaßnahme und die Kenntnis von Vor- und Nachteilen ist notwendig und sollte vor Auslandseinsätzen in Einrichtungen mit endoskopischer Komponente gezielt vermittelt werden.
Literatur
1. Barkun AN, Bardou M, Kuipers EJ, Sung J, Hunt RH: International Consensus Recommendations on the Management of Patients With Nonvariceal Upper Gastrointestinal Bleeding. Ann. Intern. Med. 2010; 152(2): 101 – 113.
2. van Leerdam ME, Vreeburg EM, Rauws EAJ et al.:, A. A. M. Geraedts, Acute upper GI bleeding: did anything change? Time trend analysis of incidence and outcome of acute upper GI bleeding between 1993/1994 and 2000. Am. J. Gastroenterol. 2003; 98(7): 1494 – 1499.
3. Farrell JJ, Friedman LS: Review article: the management of lower gastrointestinal bleeding. Aliment. Pharmacol. Ther. 2005; 21(11): 1281 – 1298.
4. De Franchis R, Baveno VI Faculty; Revising consensus in portal hypertension: report of the Baveno V consensus workshop on methodology of diagnosis and therapy in portal hypertension. J. Hepatol. 2010; 53(4): 762 – 768.
5. Zimmermann D, Sulz CM, Knoblauch C: Akute obere und untere gastrointestinale Blutung. SWISS Med. FORUM – SCHWEIZERISCHES MEDIZIN-FORUM 2015; 9(9): 194 -202.
6. National Institute for Health and Care Excellence (NICE): Acute upper gastrointestinal bleeding in over 16s: management. NICE guidelines [CG141] 2012, Evidende Update 2014; https://www.nice.org.uk/guidance/CG141 (last accessed 11.Juli 2016).
7. Leung Ki El, Lau JY: New Endoscopic Hemostasis Methods. Clin. Endosc 2012; 45(3): 224 – 229.
8. Chan SM, Chiu PW, Teoh AY, Lau JY: Use of the Over-The-Scope Clip for treatment of refractory upper gastrointestinal bleeding: a case series. Endoscopy 2014; 46(5): 428 – 431.
9. Changela K, Papafragkakis H, Ofori E et al.: Hemostatic powder spray: a new method for managing gastrointestinal bleeding. Therap. Adv. Gastroenterol. 2015; 8(3): 125 – 135.
10. Ibrahim M, El-Mikkawy A, Abdalla H, Mostafa I, Devière J: Management of acute variceal bleeding using hemostatic powder. United Eur. Gastroenterol. J. 2015; 3(3): 277 – 283.
11. Appleby VJ, Hutchinson JM, Beckett CJ, Moreea S: Use of the haemostatic agent TC-325 in the treatment of bleeding secondary to endoscopic retrograde cholangiopancreatography sphincterotomy. QJM 2015, 108(1): 79 – 80.
12. Sulz MC , Frei R , Meyenberger C, Bauerfeind P, Semadeni GM, Gubler C: Routine use of Hemospray for gastrointestinal bleeding: Prospective two-center experience in Switzerland. Endoscopy 2014; 46(7): 619 – 624.
13. Dietrich C, Hochdörffer R, Fuchs E, Vetter S, Jakobs R, Bechtler M: Successful use of Hemospray to control refractory duodenal diverticular bleeding. Endoscopy 2014; 46 (S01):. E605 – E606.
14. Giday SA, Kim Y, Krishnamurty DM et al.: Long-term randomized controlled trial of a novel nanopowder hemostatic agent (TC-325) for control of severe arterial upper gastrointestinal bleeding in a porcine model. Endoscopy 2011; 43(4): 296 – 269.
15. Cook Medical: Hemospray™ ENDOSCOPIC HEMOSTAT.” Manual 2016.
16. Sung JJ, Luo D, Wu JC et al.: Early clinical experience of the safety and effectiveness of Hemospray in achieving hemostasis in patients with acute peptic ulcer bleeding. Endoscopy 2011; 43(4): 291 – 295.
Interessenkonflikt:
Die Verfasser erklären, dass kein Interessenkonflikt besteht.
Bildquellen:
Abbildung 1, 2 und 4: BwKrhs Hamburg – Abteilung Innere Medizin
Für die Verfasser:
Oberfeldarzt Dr. Lorenz Scheit
Bundeswehrkrankenhaus Hamburg
Abteilung Innere Medizin
Lesserstraße 180, 22049 Hamburg
E-Mail: [email protected]
1 NSAR = Nicht steroidale Antirrheumatika
2 Bei GI-Blutungen werden nach Forrest 3 Haupttypen unterschieden
• Typ I: Aktive Blutung
– Typ Ia: arteriell spritzende Blutung
– Typ Ib: Sickerblutung
• Typ II: Inaktive Blutung
– Typ IIa: mit sichtbarem Gefäßstumpf
– Typ IIb: Koagelauflagerung auf einer Ulkusläsion
– Typ IIc: Hämatinauflagerung auf einer Ulkusläsion
• Typ III: Eine Blutung liegt nicht vor, jedoch eine sichtbare Läsion und eine Blutungsanamnese.
Datum: 09.11.2016
Quelle: Wehrmedizinische Monatsschrift 2016/9-10


