Sieben Fakten zum modernen Restaurationskonzept EQUIA
Betrachtet man die Ansätze der modernen Zahnmedizin, so sollte die heutige Füllungstherapie möglichst anwenderfreundlich, wirtschaftlich und minimalinvasiv sein sowie den Ansprüchen der Patienten genügen. Das sind hohe Anforderungen, denen das Dentalunternehmen GC mit dem Füllungskonzept EQUIA gerecht wird, das sich seit seiner Einführung zur IDS 2007 im Bereich der Glasionomer-basierten Restaurationsmaterialien einen Namen gemacht hat. Die fünf Buchstaben von EQUIA stehen nicht nur für einen Produktnamen, sondern verweisen auch auf die wesentlichen Merkmale des Füllungssystems: Easy-Quick-Unique-Intelligent-Aesthetic. Was sich dahinter verbirgt und warum sich EQUIA für eine moderne Füllungstherapie im Sinne einer zeitgemäßen Zahnmedizin empfiehlt, beleuchtet der folgende Beitrag.
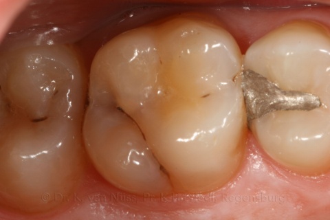
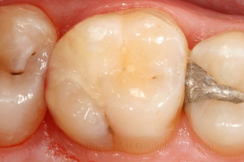
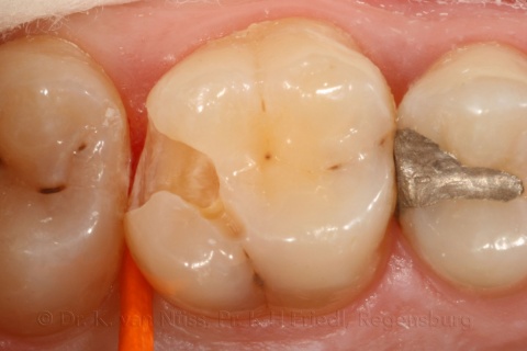
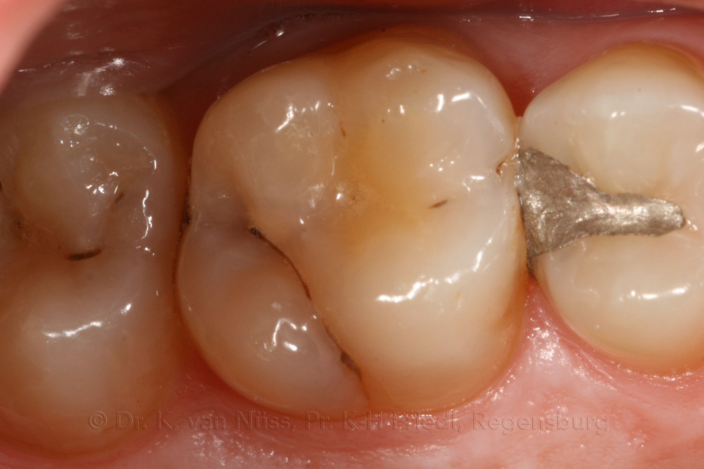
Ein elementarer Aspekt ist zunächst das breite Indikationsspektrum, das mit dem zweistufigen EQUIA-System in der Praxis abgedeckt werden kann: Bestehend aus einer hochviskosen Glasionomer-basierten Füllungskomponente (EQUIA Fil) und einem nanogefüllten, lichthärtenden Kompositlack (EQUIA Coat), ist das Material gemäß der Gebrauchsanweisung des Herstellers unter anderem bei Restaurationen der Klasse I, unbelasteten Restaurationen der Klasse II und kaudruckbelasteten Restaurationen der Klasse II (sofern der Isthmus weniger als die Hälfte des Interkuspidalraumes beträgt) anwendbar.
Dass ein Glasionomer-basiertes Material diesen Indikationsbereich bedienen kann, ist auf die langjährige und intensive Entwicklungsarbeit von GC zurückzuführen. Auf Basis bestehender Forschungserkenntnisse wurde ein Konzept entwickelt, das auf die Kombination der Stärken zweier Materialgruppen setzt: Glasionomerzement (GIZ) und Komposit. Durch den Kompositüberzug EQUIA Coat bleibt die Glasionomer-basierte Komponente EQUIA Fil mit ihren positiven GIZ-Eigenschaften während der kritischen initialen Abbindephase geschützt. Neben der Feuchtigkeitsregulierung soll EQUIA Coat zudem die oberflächlichen Poren infiltrieren und so die mechanischen Eigenschaften verbessern [1]. Bei korrekter Anwendung kann die Biegefestigkeit der fertigen Füllung signifikant gesteigert werden [2].
Einfache Anwendung
In der Praxis ist einer der wesentlichen Gründe für den Erfolg von GIZ die einfache Handhabung der Materialklasse. EQUIA reiht sich hier ein: Es kann mit der sogenannten Bulk-Applikation – also auf einmal – in die Kavität eingebracht und härtet chemisch aus, womit sich die Anwendung in Kombination mit dem Einbringen und dem Auftragen des Coatings sowie dessen Polymerisation auf lediglich zwei Arbeitsschritte beschränkt. Das stopfbare EQUIA Fil lässt sich dabei perfekt an die Kavität anpassen; die chemische Adhäsion an der natürlichen Zahnsubstanz ist zugleich zeitsparend, macht sie doch die Notwendigkeit von komplexen Bonding-Verfahren überflüssig.
Kurze Verarbeitungszeit
Im Vergleich zu vielen anderen Füllungsalternativen bietet EQUIA dem Zahnarzt einen signifikanten Zeitvorteil, von dem auch der Patient profitiert: Eine komplette Füllung kann laut Herstellerangaben in einer Sitzung in 3 Minuten und 25 Sekunden gelegt werden (die Verarbeitungszeit hängt dabei von der Erfahrung des jeweiligen Anwenders mit dem Material ab). Der Einsatz von Kofferdam ist dabei optional. Außerdem entfällt die zweite Sitzung, wie sie bei anderen Restaurationsalternativen beispielsweise für das Polieren notwendig wird. Für die komplette Füllungsprozedur bei EQUIA zeigen Berechnungen einen Zeitvorteil von circa 20 % im Vergleich zu Amalgam- und bis zu 50 % zu Kompositrestaurationen [3].
Zahnähnliche Farbgebung
Bereits seit Längerem ist im Seitenzahnbereich der Trend hin zu zahnfarbenen Restaurationsmaterialien auszumachen, was nicht zuletzt auf den Wunsch der Patienten nach einer ansprechenden Ästhetik zurückzuführen ist. Dies zeigen auch die Veränderungen bei der Versorgung im Seitenzahnbereich gemäß DMS IV [4]. Mit einer zahnähnlichen Farbgebung kommt EQUIA diesem Trend entgegen; das Material ist in einer breiten Palette von neun unterschiedlichen VITA-Farbnuancen verfügbar. Der Kompositlack EQUIA Coat verleiht der Versorgung darüber hinaus einen ansprechenden Glanz.
Abrechnungsfähige Füllungen
Die heutige Zahnheilkunde differenziert zunehmend zwischen hoch ästhetischen Restaurationen und den grundlegenden Versorgungen im Rahmen der GKV-Erstattung, wobei die Entscheidung für oder gegen ein Füllungsmaterial nicht selten mit der finanziellen Situation des Patienten verbunden ist. EQUIA bietet sich dahingehend als ein kostengünstiges Material für Zahnarzt und Patienten an, da es in den vorgesehenen Indikationen (Restaurationen der Klasse I, unbelasteten Restaurationen der Klasse II und kaudruckbelasteten Restaurationen der Klasse II [sofern der Isthmus weniger als die Hälfte des Interkuspidalraumes beträgt]) nicht nur nutz-, sondern über die GKV auch abrechnungsfähig ist (ohne Mehrkostenvereinbarung nach den BEMA-Nummern 13a bis 13d) [5]. Die Abrechenbarkeit von EQUIA wurde durch anwaltliche Expertise im Jahr 2011 bestätigt [6]. Somit steht dem Zahnarzt ein wirtschaftliches Material zur Verfügung, mit dem er eine vollwertige Füllungsalternative anbieten kann – unabhängig von der finanziellen Situation des Patienten.
Kariespräventive Wirkung
Zwar geht die Anzahl an kariösen Erkrankungen in Deutschland seit einigen Jahren erfreulicherweise immer weiter zurück [7], jedoch gibt es nach wie vor eine große Zahl von Läsionen, die sich durch rechtzeitiges Eingreifen verhindern ließen. Im Vergleich zu alternativen Materialien bringen GIZ (beim EQUIA-System die Glasionomerkomponente EQUIA Fil) dahingehend einen wesentlichen Vorteil mit: So konnten dem Material eine hohe initiale Fluoridionenabgabe bescheinigt werden, die zu remineralisierenden und kariesprotektiven Effekten führt [8] sowie das Auftreten von Sekundärkaries reduzieren kann [9]. Aufgrund dessen kommen GIZ unter anderem in der Kinder- und Jugendzahnheilkunde bevorzugt zum Einsatz. Im Rahmen des Kariesmanagements kann EQUIA somit bereits bei der Prävention einen wichtigen Beitrag leisten.
Minimalinvasive Therapie
In der modernen Kariestherapie haben sich – weg vom Ansatz der „extension for prevention“ – non- und minimalinvasive Therapieformen etabliert. Die dabei angestrebte Schonung der gesunden Zahnsubstanz wird unter anderem durch die adhäsiven Eigenschaften moderner Restaurationsmaterialien wie beispielsweise EQUIA möglich gemacht. Damit erfordern diese Materialien weniger Zahnhartsubstanzabtrag als die traditionellen Materialien wie beispielsweise Gold oder Amalgam.
Erste Belege für klinischen Erfolg
EQUIA hat sich im Rahmen mehrerer klinischer Prüfungen, welche nachfolgend näher erläutert werden, erfolgreich bewährt und untermauert auch mit aktuellen Untersuchungsergebnissen entsprechend der Indikationen gemäß Herstellerangaben die Eignung als Füllungsmaterial für permanente Versorgungen im Seitenzahnbereich. Zu EQUIA liegen Studienresultate über Zeiträume bis zu 48 Monaten vor, die zum Teil als vorläufige Zwischenergebnisse von Langzeitstudien auf diversen Kongressen präsentiert wurden und welche dem Material eine gute Performance im Seitenzahnbereich bestätigen. Frühere Resultate von Friedl et al. [10] und Basso et al. [11] zur Eignung von EQUIA als Restaurationsmaterial in posterioren Kavitäten werden von den Ergebnissen laufender Studien über Zeiträume von 24 Monaten (Klinke et al. [14]) und darüber hinaus (Gurgan et al. [15]) gestützt. Ende 2013 präsentierte Gurgan zudem Resultate, welche EQUIA in den untersuchten Kavitäten der Klassen I und II den Einsatz als geeignete Füllungsalternative über einen Zeitraum von 48 Monaten bescheinigen [19]. Auch der spezielle Effekt des Coatings (EQUIA Coat) war Gegenstand von mehreren Untersuchungen. Lohbauer et al. stellten fest, dass oberflächliche Risse und Porositäten durch das Coating effektiv verschlossen werden [16], und eine in 2013 veröffentlichte Feldstudie von Diem et al. über einen Zeitraum von drei Jahren schließt mit dem Fazit, dass die Applikation des Coatings einen Extra-Schutz der Glasionomerkomponente gegen Abrasion bewirkt [17]. Eine weitere Untersuchung beobachtete zudem eine längerfristige Wirkung des Coatings in Bezug auf das Abrasionsverhalten und zeigte, dass GIZ-Füllungen ohne Coating zweimal so stark wie die mit Coating abradierten (bei 40 000 Testzyklen, was laut der Untersuchung einer Liegezeit von acht Jahren entspricht) [18].
Fazit
Das zweistufige Restaurationskonzept EQUIA bringt eine Reihe an grundlegenden Voraussetzungen für eine zeitgemäße und moderne Füllungstherapie im Seitenzahnbereich mit: Das Material ermöglicht eine kariespräventive und minimalinvasive Versorgung und punktet darüber hinaus mit einer schnellen Anwendung sowie einfachem Handling. Ein weiterer wesentlicher Aspekt ist die GKV-Abrechenbarkeit in den vom Hersteller freigegebenen Indikationen (Restaurationen der Klasse I, unbelasteten Restaurationen der Klasse II und kaudruckbelasteten Restaurationen der Klasse II [sofern der Isthmus weniger als die Hälfte des Interkuspidalraumes beträgt]), womit dem Patienten eine zahnfarbene Füllung ohne Mehrkostenvereinbarung angeboten werden kann. Die Leistungsfähigkeit des Materials wird dabei nicht zuletzt von mehreren klinischen Untersuchungen gestützt, die für EQUIA eine gute Performance im Seitenzahnbereich belegen und nicht nur temporäre Restaurationen versprechen. Somit reiht sich EQUIA in die zahnärztliche Palette der Therapiemöglichkeiten als moderne, den hohen Anforderungen entsprechende Füllungsmöglichkeit ein.
Literatur
1 Lohbauer U, Petschelt A. Influence of a Nanofilled Coating on Physical Properties of Glassionomercements. J Dent Res (Spec Iss A) 2012; 91:1048
2 Lohbauer U, Krämer N, Siedschlag G, Schubert EW, Lauerer B, Müller FA, Petschelt A, Ebert J. Strength and wear resistance of a dental glass-ionomer cement with a novel nanofilled resin coating. Am J Dent. 2011; 14:124-128
3 Vergleich basiert auf Berechnungen von K. H. Friedl unter Berücksichtigung der Daten von Micheelis W., Meyer V. P. (2002): Arbeitswissenschaftliche Beanspruchungsmuster zahnärztlicher Dienstleistungen (BAZ-II) – Materialien zur Beanspruchungsdauer und Beanspruchungshöhe ausgewählter Behandlungsanlässe, IDZ-Materialeinreihe‚ Band 27, Deutscher Zahnärzte Verlag DÄV
4 Schiffner U. Micheelis W.: Die Versorgung kariöser Defekte mit verschiedenen Füllungsmaterialien in Deutschland. Dtsch Zahnärztl Z 65, 2010: 193-198
5 Genzel, H. Richtlinie des Gemeinsamen Bundesausschusses für eine ausreichende, zweckmäßige und wirtschaftliche vertragszahnärztliche Versorgung. Abruf am 14.01.2014 unter: http://www.g-ba.de/downloads/62-492-78/RL-Z_Behandlung_2006-03-01.pdf
6 Interne Stellungnahme. Lyck & Pätzold Medizinanwälte, Nehringstr. 2, 61352 Bad Homburg
7 Micheelis W, Schiffner U, Vierte Deutsche Mundgesundheits-Studie (DMS IV). Dtsch Ärzte-Verlag, Köln; 2006
8 Kantovitz K.R. et al.: Inhibition of mineral loss at the enamel/sealant interface of fissures sealed with fluoride- and non-fluoride containing dental materials in vitro. Acta Odontol Scand 2006; 64(6):376-383.
9 Forsten L. Fluoride release and uptake by glass-ionomers and related materials and its clinical effect. Biomaterials 1998; 19:503-508.] [Mjör IA. Glass-ionomer cement restorations and secondary caries: a preliminary report. Quintessence Int 1996; 27:171-174
10 Friedl K, Hiller KA, Friedl KH (2011): Clinical performance of a new glass ionomer based restoration system: a retrospective cohort study. Dental Materials 27 (10) 1031–1037
11 Basso M et al., (2011), Long-term dental restorations using high-viscosity coated glassionomer cements, IADR San Diego, Abstract 2494. Abruf am 14.01.2014 unter: https://iadr.confex.com/iadr/2011sandiego/webprogram/Paper146300.html
12 Basso M, et al. (2013). Permanent restorations with glassionomer cements. Clinical evaluation on 319 cases, IADR Seattle, 2013, Abstract 594. Abruf am 14.01.2014 unter: https://iadr.confex.com/iadr/13iags/webprogram/Paper175751.html
13 Klinke T, Schwahn C, Biffar R: Randomized Clinical Trial in the Field–Recruitment and Practitioners Profil. CED IADR Helsinki, 2012. Abstract unter: https://iadr.confex.com/iadr/per12/webprogram/Paper167765.html
14 Klinke T, Daboul A, Biffar R: EQUIA – RCT in the field (2013): Longevity after 24 months. CED IADR Florenz, 2013, Abstract 3. Abruf am 14.01.2014 unter: https://iadr.confex.com/iadr/ced13/webprogram/Paper179792.html
15 Gurgan S et al.: 36-months clinical performance of a glass-ionomer restorative system, IADR Seattle, 2013, Abstract 2933. Abruf am 14.01.2014 unter: https://iadr.confex.com/iadr/13iags/webprogram/Paper176766.html
16 Lohbauer U, Krämer N, Siedschlag G, Schubert EW, Lauerer B, Müller FA, Petschelt A, Ebert J. Strength and wear resistance of a dental glass-ionomer cement with a novel nanofilled resin coating. Am J Dent. 2011; 14:124-128
17 Diem VTK et al. (2013): The effect of a nano-filled resin coating on the 3-year clinical performance of a conventional high-viscosity glass-ionomer cement. Clinical Oral Investigations DOI 10.1007/s00784-013-1026-z
18 Turkun LS. Toothbrush Abrasion Of Resin Coated Glass Ionomers Over 8 Years, CED IADR Florence, 2013, Abstract 7. Abruf am 14.01.2014 unter: https://iadr.confex.com/iadr/ced13/webprogram/Paper180230.html
19 Gurgan S et al. (2013): EQUIA study – Clinical performance of EQUIA restorative System in restoration of posterior teeth. Vortrag auf CED-IADR-Meeting in Florenz: 06.09.2013
Kontaktdaten:
Dr. Dana Adyani-Fard
GC Germany GmbH
Seifgrundstraße 2
61348 Bad Homburg
Telefon: +49 6172 99596-0
Telefax: +49 6172 99596-66
E-Mail: [email protected]
www.germany.gceurope.com
Datum: 23.12.2015
Quelle: Wehrmedizin und Wehrpharmazie 2015/4








