Aus dem Sanitätsversorgungszentrum Neubiberg an der Universität der Bundeswehr München(Leiter: Oberfeldarzt Dr. H.-P. Lutzenberger)
Abstract:
Schmerzen im HWS-Bereich stellen mit einer Punktprävalenz von 10 – 15 %[1] eine ebenso häufige wie meist auch banale Entität in der Truppenarztsprechstunde dar. Den größten Anteil hat eine muskuloskeletale Ursache im Sinne einer Myogelose oder einer Tendinose/ Tendinitis. Es gibt jedoch auch seltene Entitäten und Verläufe, die den typischen abwendbar gefährlichen Verlauf darstellen können. Im Rahmen der Falldarstellung eines 25-jährigen Studenten mit akuten HWS-Beschwerden sollen solche Kasus diskutiert werden.
Fallvorstellung:
Erstkontakt:
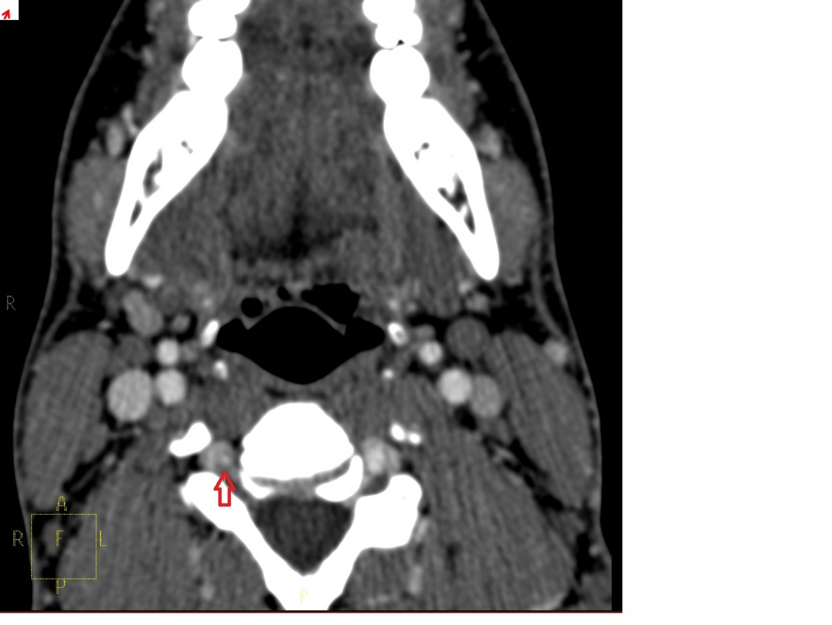
In der koronaren Rekonstruktion zeigt sich in der rechten A. vertebralis
nur ein filiformer Kontrastmittelfluss.
In der Truppenarztsprechstunde stellte sich ein 25-jähriger Student mit nach dem Kampfsporttraining akut aufgetretenen HWS-Beschwerden vor, welche „…bis in den Kopf zögen“. Der Patient gab selbst an, sich wohl eine „Muskelzerrung am Hals“ zugezogen zu haben. Es wurden Wurftechniken und Schlagübungen gegen diverse Körperregionen unter anderem auch gegen den seitlichen Hals geübt. Dabei berichtete der Patient über kein stärkeres Trauma. Eine neurologische Begleitsymptomatik sowie Schwindel oder Übelkeit bestanden zu diesem Zeitpunkt nicht. Die Anamnese für Vorerkrankungen, Operationen, Allergien und Medikamente war leer. Der Patient hatte bereits mit Diclofenac-Salbe einen Behandlungsversuch unternommen. Darunter konnten die Beschwerden aber nur unwesentlich beeinflusst werden.
Die körperliche Untersuchung der HWS-Region ergab eine freie Beweglichkeit der HWS unter leichten Schmerzen, zudem konnte eine Myogelose des Musculus trapezius, insbesondere im Bereich der Pars descendens, festgestellt werden. Im Übrigen präsentierte sich der Patient bei sportlichem Habitus orthopädisch unauffällig. Unter initialer Annahme einer Myogelose wurde zunächst ein konservatives Vorgehen mit lokaler Wärme- und moderater Bewegungstherapie sowie kurzfristiger Analgesie mittels NSAR gewählt.
Verlauf:
Der Patient stellte sich nach ca. 2 Wochen mit nahezu unveränderter Symptomatik erneut vor. Die wiederholte körperliche Untersuchung ergab nach wie vor den Befund einer Myogelose im Bereich des Musculus Trapezius, jetzt allerdings mit einer rechtsseitigen Betonung. Es wurde die Schmerztherapie um ein schwach wirksames Opiat der WHO Stufe 2 ergänzt sowie eine Physiotherapie mit manueller Therapie und Wärmebehandlung eingeleitet. Acht Tage später stellte sich der Patient notfallmäßig im Krankenhaus vor. Dort berichtete er über eine neu aufgetretene Sehstörung, welche ca. 15 Minuten angehalten habe. Diese wurde von einem Taubheitsgefühl der rechten Gesichtshälfte, welche als Fazialisparese gedeutet wurde, begleitet. Zudem habe er kurzzeitig unter einer Sprachstörung im Sinne einer Broca-Aphasie gelitten. Bei Aufnahme waren lediglich die zuvor bekannten Nacken- und Kopfschmerzen vorhanden. Ein initial angefertigtes Notfall-CCT zeigte einen altersentsprechenden Normalbefund, ohne Hinweis auf eine Ischämie, einen Tumor oder eine Blutung. Die angeschlossene CCT-Angiographie konnte eine im Seitenvergleich schmalkalibrigere A. vertebralis rechts mit Dissektionsmembran nachweisen.
Im MRT vom Folgetag wurde ein langstreckiges Wandhämatom der rechten Arteria vertebralis, im Sinne einer entsprechenden Dissektion, nachgewiesen.
Es erfolgte neben der stationären Aufnahme und der neurologischen Überwachung die Einleitung einer Antikoagulation mit Phenprocoumon. Im stationären Setting wurde darüber hinaus auch eine kardiale Emboliequelle ausgeschlossen. Nach Entlassung zeigte sich in der Laborkontrolle ein Anstieg der Leberenzyme. Die daraufhin durchgeführte Hepatitis-Serologie sowie Oberbauch-Sonographie waren unauffällig, so dass bei Verdacht auf eine Phenprocoumon-Unverträglichkeit die Therapie auf einen Faktor-Xa-Inhibitoren umgestellt wurde. Darunter waren die Leberwerte langsam rückläufig. Im weiteren Verlauf bildete sich die neurologische Symptomatik vollständig zurück. Die im Rahmen der Nachsorge und Verlaufskontrolle durchgeführten Duplexsonographischen Kontrollen ergaben ein stabiles, persistierendes Wandhämatom.
Falldiskussion:
Die A. vertrebralis stellt sich links kontinuierlich und
kräftig dar. Rechtsseitig kommt es im kompletten
Verlauf der A. vertebralis durch die Dissektion und
den damit verbundenen verminderten Fluss zu einer
deutliche Signalabschwächung (rote Markierungen).
Die Fallkonstellation ließ beim Erstkontakt zunächst keinen abwendbar gefährlichen Verlauf vermuten. Die initiale Anamnese und Untersuchung ergaben keine Hinweise darauf. Ein adäquates Trauma, Zustand nach OP, neurologische Ausfallserscheinungen, Osteoporose, längere Steroidmedikation, und Systemerkrankungen wurden abgefragt und verneint. Auf eine bild-gebende Diagnostik wurde daher auch zunächst verzichtet. Unter Annahme einer harmlosen Myogelose, welche auch von Seiten des Patienten geteilt wurde, erfolgte die leitliniengerechte Behandlung, entsprechend der DEGAM S1 Handlungsempfehlung, mit lokaler Wärme- und moderater Bewegungstherapie sowie kurzfristiger Analgesie mittels NSAR[1]. Diese wurde nach dem Zweitkontakt durch physiotherapeutische Maßnahmen (manuelle Therapie, Wärmeanwendung) ergänzt. Die aktuelle Leitlinie rät allerdings von Immobilisation, Injektionstherapien und Muskelrelaxantien ab. Beim Zweitkontakt hätte man jedoch auf Grund des prolongierten Verlaufes ohne Besserungstendenz für einen atypischen, möglicherweise auch einen potenziell gefährlichen Verlauf sensibilisiert sein müssen. Braun und Mader raten bei fehlender Besserungstendenz bzw. Beschwerdezunahme bereits nach einer Woche zu einer strukturierten Diagnostik[2]. Ob jedoch zu diesem Zeitpunkt eine erweiterte Diagnostik wie z. B. Röntgen oder CT der HWS gerechtfertigt gewesen wären, bildet keine Leitlinie ab. Darüber hinaus stellt sich im konkreten Fall die Frage, ob dies zur Lösung des Falls beigetragen hätte. Erst eine aufwändige, differenzierte Gefäßdarstellung hätte einen wesentlichen Beitrag zur Diagnosefindung leisten können. Der entscheidende Hinweis auf einen gefährlichen Verlauf war die plötzlich hinzugetretene neurologische Symptomatik mit der sich der Patient dann ohnehin akut im Krankenhaus vorstellte.
Fazit/ Summary:
Der Symptomenkomplex Nackenschmerzen ist in der Truppenarztsprechstunde eine häufige und meist auch harmlose Erkrankung. Der vorgestellte Fall zeigt aber sehr deutlich, dass auch nur sehr leichte oder wiederholte Traumata der Halsregion zu schwerwiegenden Komplikationen führen können. Und sich aus einem zunächst unkomplizierten Fall trotz leitliniengerechter Anamnese und Untersuchung sowie Behandlung daraus plötzlich ein gefährlicher Verlauf entwickeln kann. Die DEGAM S1 Handlungsempfehlung Nackenschmerzen gibt einen guten Leitfaden zur Diagnostik und Behandlung von Nackenschmerzen.
Bei fehlenden Zeichen eines abwendbar gefährlichen Verlaufes kann eine konservative Behandlungsstrategie gewählt werden. Bei atypischen Verläufen wie zunehmenden Schmerzen oder wechselnder Symptomatik und fehlender Besserungstendenz sollten jedoch frühzeitig andere, potenziell gefährliche Verläufe bedacht und eine erweiterte Diagnostik angestoßen werden. Da die möglichen Differentialdiagnosen mannigfaltig sind und die diagnostischen Möglichkeiten umfangreich sind, bietet sich hier ein strukturiertes Vorgehen an. Braun und Mader haben eine programmierte Diagnostik unter anderem für das HWS-Syndrom entwickelt, welche bei dieser komplexen Fragestellung hilfreich sein kann[2].
Wehrmedizinische Relevanz:
Im Rahmen der Klärung der Frage nach der weiteren Verwendungsfähigkeit im Sinne einer gutachterlichen Stellungnahme zur Dienst- und Verwendungsfähigkeit stellt die stattgehabte neurologische Symptomatik im engeren Sinne eine Störung des „Zentralen Nervensystems“ gemäß Gesundheitsnummer (GNr) 78 dar. Es ist auf Grund der zeitlichen Komponente die Gradation V (fünf) zu vergeben. Bei weiterem komplikationsfreiem Verlauf und ohne neurologische Defizite kann nach 24 Monaten bei erneuter Begutachtung die Gesundheitsziffer II (zwei)/78 vergeben werden. Im Falle von geringfügigen Restzuständen wäre die Gesundheitsziffer III (drei)/78 zu erwägen[3]. Solange eine orale Antikoagulation besteht, ist auf Grund der Blutungsgefahr bei erheblicher Gerinnungsstörung zusätzlich die Gesundheitsziffer VI (sechs)/9 für das Blut- und Lymphsystem zu vergeben[4].
Quellen:
[1] DEGAM S1 Handlungsempfehlung Nackenschmerzen; M. Scherer, J.-F. Chenot; 06/2016; www.degam-leitlinien.de [2] Programmierte Diagnostik in der Allgemeinmedizin: 82 Checklisten für Anamnese und Untersuchung; S.121 – 122; R. Braun, F. Mader; Springer Verlag 2005 [3] A1 – 831/0 – 4000 – Anlage 3, Wehrmedizinische Begutachtung; Tabelle der Gesundheitsnummern und –ziffern; S.84 [3] A1 – 831/0 – 4000 – Anlage 3, Wehrmedizinische Begutachtung; Tabelle der Gesundheitsnummern und –ziffern; S.13Anschrift für die Verfasser:
Oberstabsarzt
Dr. med. Christian Königer
Facharzt für Allgemeinmedizin
Zentrum für Luft- und Raumfahrtmedizin der Luftwaffe
Dez II 3 b, Innere Medizin
Straße der Luftwaffe 321
82256 Fürstenfeldbruck
E-Mail: [email protected]
Bildrechte: Die CT- und MRT-Originalaufnahmen wurden freundlicherweise vom Institut für Diagnostische und Interventionelle Radiologie am Klinikum München Neuperlach zur Verfügung gestellt.
Datum: 12.03.2018
Quelle: Wehrmedizin und Wehrpharmazie 4/2017



