Conn Rother¹, Armin Riecke¹, Thomas Mayer¹, Matthias Müller¹, Miriam Bandur¹, Niklas Gebauer², Konrad Steinestel³, Hanno M. Witte¹, ²
¹ Bundeswehrkrankenhaus Ulm, Klinik für Innere Medizin/Hämatologie und Onkologie
² Universitätsklinikum Schleswig-Holstein, Campus Lübeck, Klinik für Hämatologie und Onkologie
³ Bundeswehrkrankenhaus Ulm, Institut für Pathologie und Molekularpathologie
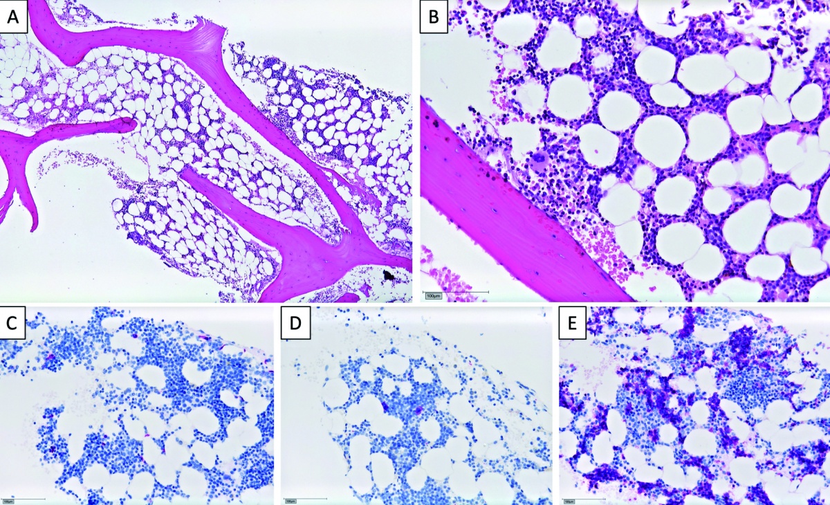
Histomorphologische und
immunhistochemische Diagnostik
aus Knochenmark; (A) und (B):
H.E.-gefärbte Schnittpräparate
der Knochenmarkstanzen mit
Nachweis einzelner Mikromegakaryozyten;
(C): nur vereinzelte
Megakaryozyten in der
Immunhistochemie für CD42b;
(D): einzelne CD34-positive
Blasten; (E): Verbreiterung von
erythropoetischen Inseln in der
CD71-Immunhistochemie (Bilder:
Bundeswehrkrankenhaus Ulm/
Priv.-Doz. Dr. Dr. Steinestel)
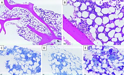
immunhistochemische Diagnostik
aus Knochenmark; (A) und (B):
H.E.-gefärbte Schnittpräparate
der Knochenmarkstanzen mit
Nachweis einzelner Mikromegakaryozyten;
(C): nur vereinzelte
Megakaryozyten in der
Immunhistochemie für CD42b;
(D): einzelne CD34-positive
Blasten; (E): Verbreiterung von
erythropoetischen Inseln in der
CD71-Immunhistochemie (Bilder:
Bundeswehrkrankenhaus Ulm/
Priv.-Doz. Dr. Dr. Steinestel)
Zusammenfassung
Diese Arbeit dient der Beschreibung und Abgrenzung von Vorläufer-Läsionen eines myelodysplastischen Syndroms (MDS) anhand einer Fallpräsentation. In der Fallvignette wird das Bild einer klonalen Zytopenie unklarer Signifikanz (CCUS) diagnostiziert. Der Fall wird in die vorliegende Literatur eingeordnet. Die Darstellung soll für differenzialdiagnostische Überlegungen von jüngst (2017) in die WHO-Klassifikation integrierten Diagnosen sensibilisieren, wenn sich ein MDS nicht eindeutig diagnostizieren lässt. Darüber hinaus sollen therapeutische Konsequenzen für die Nachbeobachtung dieser Patienten aufgezeigt werden.
Stichworte: CCUS, CHIP, IDUS, ICUS, MDS, myeloische Neoplasien
Hier finden Sie den ausführlichen Artikel.
Datum: 30.06.2020


