Aus der Abteilung Urologie (Leitender Arzt: Oberstarzt Dr. W. Wagner) des Bundeswehrkrankenhauses Hamburg (Chefarzt: Generalarzt Dr. J. Hoitz)
Zusammenfassung
Harnsteine gehören zu den häufigsten urologischen Krankheitsbildern und haben einen erheblichen Einfluss auf die Lebensqualität des Betroffenen sowie auch volkswirtschaftliche Auswirkungen.
Eine optimale Nutzung der vorhandenen therapeutischen Ressourcen setzt exakte Diagnostik voraus, der dann eine individuell angepasste Behandlung im Rahmen eines strukturierten Konzeptes folgt. Das Therapiespektrum erstreckt sich dabei von konservativem Vorgehen über minimal-invasive Verfahren bis hin zur operativen Steinbergung. Die Behandlungsverfahren werden in diesem Beitrag vorgestellt und hinsichtlich ihrer jeweiligen Anwendungsindikation – auch unter Einsatzbedingungen – diskutiert.
Neben Größe, Lokalisation und Zusammensetzung des Steins spielen Patientenbedürfnisse, Patientenkonstitution sowie lokale Verfügbarkeit unterschiedlicher Therapieoptionen eine entscheidende Rolle bei der Wahl des Behandlungsverfahrens.
Die Steintherapie ist grundsätzlich gemäß den geltenden nationalen und internationalen Leitlinien durchzuführen.
Stichworte: Nierenstein, Steintherapie, minimal-invasiv, operative Steinbergung, Lebensqualität
Keywords: kidney stone, stone therapies, minimal invasive, surgical stone therapy, quality of life
Einleitung
Harnsteine gehören mit einer Prävalenz von 4,7 % zu den häufigsten urologischen Erkrankungen [5]. Die häufigsten Lokalisationen für Harnsteine sind Nieren und Harnleiter (97 %) [1]. Harnsteine, die den Harnabfluss behindern, können symptomatisch werden. Die betroffenen Patienten stellen sich in den meisten Fällen mit starken kolikartigen Schmerzen vor. Diese können je nach Lage des Harnsteines in der Flanke und/oder im Bereich des Harnleiterverlaufs lokalisiert sein. Bei distaler Steinposition ist zudem eine Ausstrahlung der Schmerzen in die Genitalien möglich. Die Patienten sind meist unruhig, haben z. T. vegetative Begleitsymptome, wie Erbrechen und Übelkeit, und berichten über plötzlich eintretende Schmerzen. In vielen Fällen ist eine vorherige Steinanamnese bekannt, da Harnsteine bei etwa 50 % der Patienten rezidivierend vorkommen [16]. Zur Akutdiagnostik gehört zunächst eine körperliche Untersuchung, die einen Klopfschmerz der betroffenen Niere zeigen kann. Zudem sollte eine Laboruntersuchung mit Erfassung der Retentions und Entzündungsparameter, eine Kontrolle von Urinstatus und -sediment zur Detektion einer Mikrohämaturie und eine Sonographie der Nieren sowie der Blase erfolgen. Die Sonographie ist ein schnelles, sensitives und kostengünstiges Verfahren, um eine Harntransportstörung anhand einer Erweiterung des Nierenbeckenkelchsystems sowie Nierensteine und prävesikale Harnleitersteine zu detektieren.
Ergibt sich in der Zusammenschau der Diagnostik der Verdacht auf eine Harnsteinerkrankung, sollte eine Niedrig-Dosis-CT des Abdomens zur genauen Lokalisation des Konkrements und zur weiteren Therapieplanung erfolgen. Hierbei kann die Bestimmung der Hounsfield-Einheiten[1] Hinweise auf die Steinzusammensetzung geben.
In der Akutsituation sollte neben einer ausreichenden Analgesie bei einer Harnabflussstörung bzw. einer Beeinträchtigung der Nierenfunktion (Anstieg der Retentionsparameter) eine Harnleiterschiene (DJ) eingelegt bzw. durch eine perkutane Nephros-tomie die Harnableitung sichergestellt werden.
Im weiteren Verlauf stehen dann verschiedene Methoden zur Steintherapie zur Verfügung. Größe und Lokalisation des Konkrements, die Wahrscheinlichkeit für seinen Spontanabgang, die Patientenpräferenz sowie die Verfügbarkeit der Techniken müssen in die Therapieentscheidung mit einfließen [16]. Die mit dem Patienten zu diskutierenden konservativen und interventionellen Therapieoptionen werden nachfolgend vorgestellt.
Konservative Steintherapie
Bei Harnsteinen mit einer hohen Wahrscheinlichkeit für einen spontanen Steinabgang ohne Kontraindikationen, kann ein konservativer Therapieansatz gewählt werden. Tabelle 1 zeigt die Wahrscheinlichkeiten des spontanen Steinabgangs bezogen auf die Steingröße. Die S2k-Leitlinie der Deutschen Gesellschaft für Urologie (DGU) empfiehlt dieses Vorgehen bei Steinen ≤ 5 mm [16].
Tab. 1: Wahrscheinlichkeit des spontanen Steinabgangs [16, 13]
|
Steingröße |
Anteil spontan abgegangener Steine (Durchschnittswerte) |
|
< 5 mm |
68 % |
|
5 – 10 mm |
47 % |
|
Steingröße |
Zeit bis zum Spontanabgang (Durchschnittswerte) |
|
< 2 mm |
31 Tage |
|
2 – 4 mm |
40 Tage |
|
4 – 6 mm |
39 Tage |
Hierbei sind regelmäßige sonographische Kontrollen zum Ausschluss einer Harntransportstörung sowie die laborchemische Überwachung von Retentions- und Infektparametern zwingend. Jede nachgewiesene Harnwegsinfektion muss behandelt werden. Zudem darf der Schmerzmittelbedarf nicht die zulässigen Höchstdosen übersteigen. Der Patient muss im Rahmen der Therapieführung über die zu erwartende durchschnittliche Abgangszeit, Risiken und Therapiealternativen sorgfältig aufgeklärt werden.
Gegen eine konservative Steintherapie sprechen eine Harntransportstörung mit Nierenfunktionseinschränkung, nicht beherrschbare Schmerzen, eine Pyelonephritis, stark erhöhte Infektparameter sowie eine Steingröße > 10 mm.
Medical Expulsive Therapy (MET)
Es besteht die Möglichkeit, eine konservative Therapie bei distalen Harnleitersteinen durch eine medikamentöse supportive Behandlung mit z. B. einem α-Blocker oder einem Kalzium-Antagonisten zu unterstützen. Jedoch ist hierzu die Studienlage nicht eindeutig. In der aktuellen S2k-Leitlinie wird die MET zwar zur Senkung des Schmerzmittelbedarfs und zur eventuellen Beschleunigung des Steinabgangs empfohlen, jedoch sind die Medikamente zum jetzigen Zeitpunkt für diese Indikation nicht zugelassen und müssen daher off-label verwendet werden. Hierzu ist eine gesonderte Aufklärung des Patienten nötig [16, 20]. Eine große randomisierte Doppelblind-Studie aus dem Jahr 2015 zeigte zudem keinen Vorteil von Tamsulosin gegenüber Placebo in Bezug auf die Steinabgangsdauer, die Schmerzintensität und den Schmerzmittelbedarf [7].
Watchfull waiting
Asymptomatische Nierensteine können bei Patienten ohne Therapiewunsch oder Patienten in schlechter Konstitution durch jährliche Kontrollen mit Bildgebung, körperlicher Untersuchung und Labordiagnostik aktiv überwacht werden [16, 20].
Chemolitholyse
Eine medikamentöse steinauflösende Therapie sollte als primäre Behandlung nur bei Harnsäuresteinen zum Einsatz kommen. Hierbei ist der Urin auf einen pH-Wert-Bereich von 7,0 – 7,2 einzustellen [16]. Hinweis auf das Vorliegen eines Harnsäuresteins kann die Dichtemessung im CT geben (durchschnittliche Hounsfield-Einheiten: 136 – 567) [2].
Interventionelle Steintherapie
Bei Patienten mit nicht-spontanabgangsfähigen Steinen, Harntransportstörung, erhöhter Infektionsgefahr oder bei solchen, die einem konservativem Vorgehen gegenüber abgeneigt sind und eine Intervention wünschen, kommen die interventionellen Therapieoptionen Ureterorenoskopie (URS), extrakorporale Stoßwellenlithotripsie (ESWL), perkutane Nephrolithotomie (PCNL) oder operative Steinentfernung in Frage.
Für die Wahl des Verfahrens sind Steinlokalisation, Steingröße, Patientenwunsch und lokale Bedingungen ausschlaggebend. Vor jeder interventionellen Therapie ist eine Urinkultur zum Ausschluss einer Harnwegsinfektion und ggf. eine testgerechte Antibiose durchzuführen. Zudem sollte immer eine Risiko-Nutzen-Abwägung erfolgen [16, 20]. In der aktuellen S2k-Leitlinie werden die nachfolgenden Therapieempfehlungen ausgesprochen, die zur Entscheidungsfindung des interventionellen Therapieverfahrens herangezogen werden können (Abbildung 1 und 2):
Ureterorenoskopie (URS)
Bei der Steinentfernung mittels URS handelt es sich um ein minimal-invasives endoskopisches Verfahren, wobei der Zugang durch die Harnröhre und die Harnblase erfolgt. Die Möglichkeit der intraoperativen Durchleuchtung sollte bei jeder Durchführung einer URS gegeben sein [8]. Die Indikation besteht bei Konkrementen mit Lokalisation im gesamten Harntrakt. Empfohlen wird die URS bis zu einer Steingröße von 20 mm [8]. Ein präoperatives Stenting des Harnleiters mit einer Harnleiterschiene sollte, wenn nicht im Rahmen der Akutversorgung bereits geschehen, wenn möglich ein bis zwei Wochen vorher durchgeführt werden. Hierdurch wird vor allem bei größeren Steinen die Erfolgsrate (Steinfreiheitsrate) erhöht und die Komplikationsrate gesenkt [8, 10, 15]. Eine intraoperative Antibiose ist sinnvoll und sollte als Einmalgabe verabreicht werden [8]. Kontraindikationen für eine URS sind eine Harnwegsinfektion und fehlende Narkosefähigkeit. Tabellen 2 und 3 zeigen die durch URS erreichten Steinfreiheitsraten.
Tab. 2: Steinfreiheitsraten nach URS bei Harnleitersteinen [16,13,20]
|
Steingröße und Lokalisation |
Steinfreiheitsraten |
|
Distaler Harnleiter |
|
|
≤ 5 mm |
97 % |
|
< 5 m |
93 % |
|
Mittlerer Harnleiter |
|
|
≤ 5 mm |
93 % |
|
< 5 mm |
79 % |
|
Proximaler Harnleiter |
|
|
≤ 5 mm |
84 % |
|
< 5 mm |
81 % |
Tab. 3: Steinfreiheitsraten nach URS bei Nierensteinen [16,13,4]
|
Steinlokalisation |
Steinfreiheitsraten |
|
Gesamt |
81 % |
|
Obere und mittlere Kelchgruppe |
90 % |
|
Untere Kelchgruppe |
79 % |
|
Nierenbecken |
78 % |
Folgende Gerätetypenwerden zur URS eingesetzt:
Semi-rigide URS
Es handelt sich hierbei um ein starres Endoskop (Abbildung 3), mit dem Harnsteine im Harnleiter sowie im Nierenbecken und ggf. aus der oberen Kelchgruppe geborgen werden können. Das URS-Gerät wird mit einer Kamera, einer Lichteinheit sowie einer Spül- und Absaugmöglichkeit verbunden. Hierdurch wird eine gute Sicht auf einer externen Bildeinheit gewährleistet. Zur Steinextraktion stehen verschiedene Hilfsmittel wie Fangkörbchen (Abbildung 6) und Fasszangen zur Verfügung. Ist der Harnstein für eine direkte Bergung zu groß, kann eine Lithotripsie mittels Holmium-Laser, Ultraschall oder Lithoklast (elektromechanische Energieübertragung) durchgeführt werden. Hierbei ist die Methode der Wahl der Holmium-Laser [16].
Flexible URS
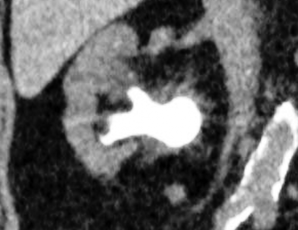
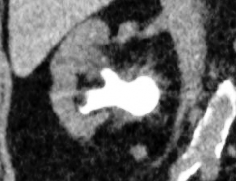
Kelchsystem; links Steinbeladung mit multiplen kleinen Konkrementen;
rechts Steinbeladung mit einem großen Konkrement
Es handelt sich hierbei um ein flexibles Endoskop (Abbildung 4), mit dem Harnsteine im gesamten Nierenbeckenkelchsystem geborgen werden können (Abbildung 5). Auch hier wird das Bild mittels integrierter Kamera auf eine Videoeinheit übertragen. Um den intrarenalen Druck und die Gefahr der Harnleiterverletzung während der Operation möglichst gering zu halten, empfiehlt es sich, Harnleiterschleusen zu benutzen. Hierdurch wird die Sicht verbessert und der Zugang zum Stein erleichtert [16, 11]. Auch hier stehen
Instrumentengang eines flexiblen Ureterorenoskops eingeführt wird;
rechts in situ
Hilfsmittel wie Körbchen aus Nitinol[2] (Abbildung 6) und der Holmium-Laser zur Steinextraktion bzw. Steinzertrümmerung zur Verfügung.
Extrakorporale Stoßwellenlithotripsie (ESWL)
Bei der ESWL handelt es sich um ein nichtinvasives Verfahren zur Behandlung von Harnsteinen, bei dem eine Zertrümmerung von Steinen mittels gebündelter Stoßwellen, die außerhalb des Körpers erzeugt werden, erfolgt (Abbildung 7). Hierbei werden die Stoßwellen gerichtet und über einen auf die Haut aufgesetzten Sender ins Körperinnere übertragen, in deren Focus sich der Harnstein befindet. Die Ortung des Harnsteines erfolgt über integrierte Ultraschall- oder Röntgenmodule (Abbildung 7). Eine Narkose ist nicht notwendig, jedoch sollte eine ausreichende Analgesie gewährleistet sein, um gute Therapieergebnisse zu erzielen [17].
ESWLGerät; rechts unten ist das vergrößerte Ultraschallbild der
Steinlokalisierung eingeblendet.
Prinzipiell können mit dieser Therapieform alle Harnsteine im oberen Harntrakt behandelt werden [16], die sonographisch und/oder radiologisch geortet werden können. Ein gutes Ergebnis erzielt diese Methode vor allem bei Nierensteinen und proximalen Harnsteinen, da diese gut einstellbar sind. Bei distalen Steinen ist die Erfolgsrate geringer [16]. Zudem ist der Erfolg abhängig von der Größe des Steins, dem Körperbau des Patienten (Stein-Haut-Abstand) und der Zusammensetzung des Steines [16]. Je größer der zu behandelnde Harnstein ist, desto höher ist die Wahrscheinlichkeit, dass mehrere Sitzungen bis zur Steinfreiheit nötig sind [8]. Die desintegrierten Steine müssen nach der Lithotripsie auf natürlichem Wege abgehen. Daher ist eine Beurteilung der Steinfreiheitsrate erst nach sechs bis zwölf Wochen möglich [16] (Tabelle 4 und 5).
Die Komplikationsraten der nichtinvasiven ESWL sind im Vergleich zur URS und PCNL geringer [16].
Wichtigste Kontraindikationen sind Koagulopathien, Schwangerschaft, unbehandelte Harnwegsinfektionen, therapieresistenter Hypertonus und Aneurysmen von Aorta oder Nierenarterie [16].
Tab. 4: Steinfreiheitsraten nach EWSL bei Nierensteinen [16, 12, 18, 19]
|
Lokalisation |
Steingröße |
Steinfreiheitsrate (bis zu) |
|
Nierenbecken/obere-/ mittlere Kelchgruppe |
4 – 9 mm |
90 % |
|
10 – 19 mm |
85 % |
|
|
untere Kelchgruppe |
4 – 9 mm |
60 % |
|
10 – 19 mm |
50 % |
Tab. 5: Steinfreiheitsraten nach EWSL bei Harnleitersteinen [16, 13]
|
Lokalisation im Harnleiter |
Steingröße |
Steinfreiheitsrate (durchschnittlich) |
|
proximal |
4 – 9 mm |
89 % |
|
10 – 19 mm |
70 % |
|
|
medial |
4 – 9 mm |
84 % |
|
10 – 19 mm |
76 % |
|
|
distal |
4 – 9 mm |
86 % |
|
10 – 19 mm |
75 % |
Perkutane Nephrolithotomie (PCNL)
bei der Durchführung einer PCNL.
Bei der PCNL handelt es sich um ein endoskopisches Verfahren, wobei der Zugang durch eine direkte Punktion der Niere durch die Haut erfolgt. Die Punktion wird durch Ultraschall und Röntgen gesteuert (Abbildung 8). Die Wahl der Punktionsstelle erfolgt nach dem Prinzip der besten Erreichbarkeit [16]. Im Allgemeinen wird hierbei die untere Kelchgruppe punktiert, da dort das Risiko einer Verletzung benachbarter Organe sowie auch der Stein-Haut-Abstand gering ist [6]. Durch ein Endoskop kann nach erfolgreicher Punktion die sofortige Bergung bzw. die Desintegration des Harnsteins erfolgen. Die Fragmente werden je nach Technik ausgespült (z. B. Mini-PCNL mit offenem Spülsystem), mit Körbchen geborgen oder gehen auf natürlichem Weg ab. In den meisten Fällen wird intraoperativ eine perkutane Nephrostomie oder ein DJ eingelegt, um den Harnabfluss zu gewährleisten [16, 6].
Diese Methode kommt vor allem bei großer Steinbeladung der Niere sowie Anomalien der ableitenden Harnwege zum Einsatz [16, 8]. Bei Harnsteinen >20 mm stellt sie die Methode der Wahl dar [16] (Abbildung 9).
Man unterscheidet je nach Durchmesser des verwendeten Endoskops die konventionelle PCNL (24 – 32 Ch.), die Mini-PCNL (14 – 22 Ch), die Ultra-Mini-PCNL (11 – 13 Ch.) und die -Mikro-PCNL(4,8 – 11 Ch.) [8, 21]. Abbildung 10 zeigt ein Nephroskop mit zugehörigem Schaft und Dilatator.
Durch die Miniaturisierung der Geräte konnte das Operationstrauma dieser Methode auf ein geringeres Maß gesenkt werden und die Indikation zur PCNL auf kleinere Steine (> 10 mm), vor allem im Bereich der unteren Kelchgruppe, ausgeweitet werden [16, 21].
Die PCNL kann zudem bei komplexen Steinbeladungen in Kombination mit einer flexiblen URS oder einer vorrangegangenen ESWL mit guten Steinfreiheitsraten durchgeführt werden [6]. Hierbei geht der Trend eher zur Kombination mit einer flexiblen URS [16, 12].
Wichtigste Kontraindikationen sind unbehandelte Harnwegsinfektionen, Schwangerschaft sowie eine untypische Koloninterposition [16].
Operative Steinbergung
Sowohl offene als auch laparoskopische bzw. roboterassistierte Steinbergungen sind heutzutage nur noch ausgewählten Indikationen vorbehalten. Hierzu zählen der frustrane Therapieversuch mit minimalinvasiven Methoden, die gleichzeitige Behandlung von anatomischen Abflussbehinderungen, Nierendystopien, gleichzeitig geplante andere offene Operationen sowie sehr große Nierensteine [16, 6]. Es handelt sich hierbei aber um Einzelfälle [16].
Steintherapie im Einsatz
Auch im Einsatz stellen Harnsteine und damit verbunden Nierenkoliken ein häufiges Krankheitsbild da und sind somit ein relevantes Thema für den Sanitätsdienst der Bundeswehr. Die Möglichkeiten der modernen urologischen Steintherapie im Einsatz wurden 2014 von REITZEL umfassend diskutiert [14]. Hier liegt die höchste Priorität auf einer schnellen Wiederherstellung der Einsatzfähigkeit. Eine Computertomographie zur Diagnosesicherung ist in der Regel auch im Einsatz verfügbar. Das Spektrum der Therapieoptionen im Einsatz hält eine ausreichende medikamentöse Analgesie, die Möglichkeit zur DJ-Einlage und die Möglichkeit zur semi-rigiden URS als endgültige Therapie bereit. Hiermit kann, sofern ein Urologe im Einsatz vorhanden ist, ein Großteil der Soldaten mit Harnsteinen noch im Einsatz behandelt werden und ihren Einsatz fortsetzen.
Eine Repatriierung – nach einer symptomorientierten Therapie – zur endgültigen Behandlung in einem Bundeswehrkrankenhaus ist erforderlich, wenn
- die Steinbeladung (z. B. sehr große oder sehr viele Harnsteine) die Behandlungsmöglichkeiten im Einsatz überfordert oder
- keine urologische Betreuung vor Ort gegeben ist.
Kernaussagen/Schlussfolgerungen
- Harnsteine gehören zu den häufigsten urologischen Krankheitsbildern; ihre Therapie setzt zur sinnvollen Nutzung der vorhandenen Ressourcen ein strukturiertes Therapiekonzept und eine sorgfältige Diagnostik voraus. Die CT verfügt hierbei bei geringer Strahlenbelastung aufgrund von Niedrigdosis-Protokollen über einen großen diagnostischen Aussagewert [16]. In der Akutsituation ist immer noch die kostengünstige und einfach anzuwendende Sonographie Mittel der Wahl zur schnellen Diagnosefindung.
- Nach der Akuttherapie (Analgesie und Sicherstellen der Harnableitung) steht die Planung der Steinentfernung im Vordergrund. Hierzu bieten sowohl die S2k-Leitlinie als auch die Leitlinie der European Association of Urology (EAU) einen Empfehlungsleitfaden für die unterschiedlichen Steinlokalisationen und -größen [16, 12].
- Bei Steinen bis zu 5 mm kann ein konservativer Therapieversuch angestrebt werden. In neueren Studien zeigte sich kein Mehrwert für eine medikamentöse expulsive Therapie [7]. Bei Steinen größer als 5 mm sollten minimal-invasive Verfahren gewählt werden, die bei richtiger Auswahl mit guten Steinfreiheitsraten aufwarten.
- Aufgrund des technischen Fortschritts geht der Trend zu immer kleiner dimensionierten Instrumenten. Dadurch haben die PCNL und die URS zunehmend an Bedeutung gewonnen.
- Im Einsatz steht als minimal-invasives, komplikationsarmes Verfahren die semi-rigide URS zur Wiederherstellung der Einsatzfähigkeit zur Verfügung [14].
- Die ESWL wurde seit den 1990er Jahren als (damals neue) Methode der Wahl angesehen. Mittlerweile zeigt sich aktuell jedoch weltweit ein Rückgang der Anwendung dieses Verfahrens [9].
- Offene und laparoskopische Verfahren rücken immer weiter in den Hintergrund und werden nur noch für spezielle Fragestellungen in Betracht gezogen.
- Letztendlich muss die Therapieentscheidung immer in Zusammenschau des Steinbildes, der Konstitution des Patienten und der lokalen Gegebenheiten erfolgen [16].
Literatur
Bichler K et al.: Epidemiologie. In: Bichler K(eds.): Das Harnsteinleiden. GEK-Edition. Lehmanns Media –LOB.de 2007; 52: 31 – 44.
Christe A et al.: Urolithiasis-Computertomographie zum Nachweis von Nierensteinen- Ersatz intravenösen Urographie. Schweizer Med Forum 2008; 8(32):574 – 5.
De la Rosette J et al.: The Clinical Research Office of the Endourological Society Percutaneus Nephrolithotomie Global Study: indications, complications, and outcomes in 5803 patients. J Endourol 2011; 25(1): 11 – 7.
Grasso M. et al., Retrograde ureteropyeloscopy for lower pole caliceal calculi. J Urol 1999; 162(6): 1904.
Hesse A. et al.: Study on the prevalence and incidence of urolithiasis in Germany comparing in the years 1979 vs. 2000. Eur Urol 2003; 44: 709 – 13.
Horstmann M: Operative Steinbehandlung: endoskopisch, robotisch oder offen? J Urol Urogynäkol 2012; 14(1): 31 – 4.
Jeremy FS et al.: Distal Ureteric Stones and Tamsulosin: A Double-Blind, Placebo-Controlled, Randomized, Multicenter Trial. AnnEmergMed 2015; 67(1): 86 – 95.e2.
Knoll T: Aktuelle Aspekte der Steintherapie. Aktuel Urol 2005, 36: 47 – 54.
Knoll T: Zukunft der Steintherapie- Was wird sich ändern? Universimed Medizin im Focus. 2016. Available at: http://ch.universimed.com/fachthemen/7657 (Accessed: 02.2017).
Netsch C et al.: Impact of preoperative ureteral stenting on stone-free-rates of urteroscopy for nephroureterolthiasis: a matched-paired analysis of 286 patients. Urology 2012; 80: 1214 – 1220.
Ng Y.H., et al., Irrigant Flow and Intrarenal Pressure During Flexible Ureteroscopy: The Effekt of Different Access Sheaths, Working Channel Instruments, and Hydrostatic Pressure. J Endourol 2010, 24: A4 – A5.
Pearle MS et al.: Prospective, randomized trial comparing shock wave lithotripsy and ureteroscopy for lower pole caliceal calculi 1cm or less. J Urol 2005; 173(6): 2005 – 2009.
Preminger GM et al.: 2007 Guideline for the management of ureteral calculi. Eur Urol 2007; 52 (6): 1610 – 1631.
Reitzel D.: Moderne urologische Steintherapie im Einsatz. Wehrmedizinische Monatszeitschrift 2014; 58: 86 – 90.
Rubenstein RA et al.: Prestenting improves ureteroscopic stone-free rates. J Endourol 2007; 21(11): 1277 – 1280.
S2k-Leitlinie zur Diagnostik, Therapie und Metaphylaxe der Urolithiasis DGU 2015; Available at: http://www.awmf.org/uploads/tx_szleitlinie/043 – 025 l_S2k_ Urolithiasis_Diagnostik_Therapie_Metaphylaxe_2015 – 03.pdf (Accessed 02.2017).
Sorensen C et al.: Comparison of intravenous sedation versus general anesthesia on the efficacy of the Doli 50 lithotriptor. J Urol 2002; 168 (1): 35 – 37.
Tiselius HG: How efficient is extracorporeal shockwave lithotripsy with modern lithotripters for removal of ureteral stones? J Endourol 2008; 22(2): 249 – 255.
Tiselius HG: Prospective, randomized trial comparing shock wave lithotripsy and ureteroscopy for lower pole caliceal calculi 1cm or smaller. European Urology 2006: 49(3): 586 – 587.
Türk C et al.: EAU guidelines on urolithiasis 2014. Available at: www.uroweb.org (Accessed 02.2017).
Wilhelm, K., Perkutane Steintherapie heute: Standard-, Mini-, Micro-; Ultramini-PCNL. Akt Urol 2015; 46: 297 – 302.
Bildquellen:
Röntgen- und CT-Bilder: BwKrhs Hamburg
Fotos: A. Schumacher, Hamburg
Für die Verfasser:
Stabsarzt Dr. Anna Katharina Schumacher
Bundeswehrkrankenhaus Hamburg
Abteilung Urologie
Lesserstr. 180; 22049 Hamburg
E-Mail: [email protected]
Hounsfield-Einheiten (HE)sind ein Maß für die Strahlenabsorption von Gewebe. Die Dichtebestimmung von Nierensteinen lässt in gewissem Rahmen Rückschlüsse auf deren Zusammensetzung zu.
Nitinol ist ein hochelastischer Werkstoff, der sich ohne zu knicken verbiegen lässt und wieder in seine ursprüngliche Form zurückkehrt.
Datum: 01.09.2017
Quelle: Wehrmedizinische Monatsschrift 2017/8



