Aus der Abteilung Anästhesie, Intensivmedizin, Notfallmedizin und Rettungsdienst1 (Leitender Arzt: Flottenarzt M. Benker) und der Abteilung Unfallchirurgie/Orthopädie2 (Leitender Arzt: Oberstarzt Prof. Dr. C. Willy) des Bundeswehrkrankenhauses Berlin (Chefarzt: Flottenarzt Dr. K. Reuter)
Stefan Markoff1, Clemens Richter1, Juliane Ruft2
Zusammenfassung
Hintergrund: Die infektiöse Spondylitis ist eine unbehandelt lebensbedrohliche Infektionskrankheit, die häufig ihren Ausgangspunkt in einer Pyodermie hat. Insbesondere in tropischen Gebieten erworbene Pyodermien weisen nicht selten komplizierte Krankheitsverläufe auf, die durch Infektionen mit Staphylococcus aureus mit und ohne Methicillinresistenz, aber auch mit besonderen Pathogenitätsfaktoren bedingt sind. Soldaten sind in tropischen Einsatzgebieten einer erhöhten Infektionsgefahr mit solchen Erregern ausgesetzt.
Schlüsselwörter: Spondylitis/Spondylodiszitis, Pyodermie, PVL-Staphylococcus aureus, Antibiose, Hygienemaßnahmen, bakteriologische Diagnostik
Falldarstellung: Wir stellen den Fall eines 37-jährigen Soldaten vor, der im Einsatz im Gefolge eines Bagatelltraumas des rechten Knies und daraus entstandener Pyodermie eine infektiöse Spondylitis des 11. Brustwirbels entwickelte und nach Repatriierung im Bundeswehrkrankenhaus Berlin intensivmedizinisch und konservativ unfallchirurgisch/orthopädisch behandelt werden musste.
Diskussion: Der Fall zeigt, dass isolierte Rückenschmerzen ohne neurologisches Defizit, verbunden mit massiv erhöhten Entzündungswerten, auf eine Spondylitis/Spondylodiszitis hinweisen können und einer sofortigen weiteren diagnostischen Abklärung und antibiotischen Therapie bedürfen. Bei Personen, die im zeitlichen Zusammenhang mit einem Aufenthalt in tropischen Gebieten an einer Pyodermie erkranken, muss mit dem Auftreten von Panton-Valentine-Leukozidin (PVL)-bildenden Staphylokokken gerechnet werden. Deren Ausbreitung wird durch die Unterbringung in Gemeinschaftsunterkünften, wie sie für militärische Einsätze üblich ist, begünstigt. Einem geeigneten Hygieneregime sowohl im Vorfeld im Sinne der Prävention, als auch – im Falle einer Erkrankung – bei der Behandlung kommt eine erhebliche Bedeutung zu.
Schlussfolgerungen: Soldaten sind bei Einsätzen in tropischen Regionen einem erhöhten Risiko ausgesetzt, an einer Pyodermie durch Infektion mit PVL-bildenden Staphylokokken zu erkranken. Damit erhöht sich auch die Gefahr, in deren Gefolge eine infektiöse Spondylitis zu entwickeln. Bei isolierten Rückenschmerzen ohne neurologische Symptome sind ohne Zeitverzug bildgebende und auch umfangreiche mikrobiologische Diagnostik zu initiieren. Bereits bei entsprechender Verdachts- bzw. bestätigter Diagnose einer infektiösen Spondylitis ist initial eine kalkulierte, im Verlauf dann resistenzgerechte antibiotische Behandlung die tragende Therapiesäule. Bei der Behandlung von Pyodermien in tropischen Gebieten ist neben der lokalen auch eine antibiotische Behandlung in Erwägung zu ziehen. Eine bakteriologische Diagnostik ist auch bei Bagatellbefunden anzustreben.
Summary
Introduction/background: Without treatment infectious spondylitis is a life threatening disease, often originating from pyodermia. Pyodermia, aquired in tropical regions, not rarely induce complications resulting from infections with staphylococcus aureus which have unusual patterns of antibiotic resistance. In tropical regions deployed soldiers are exposed to those types of germs.
Case description: We present a case of a 37 years old soldier who suffered from a trivial trauma of his right knee leading to a pyodermia and consecutively to a infectious spondylitis of his 11. thoracic spine. After repatriation to the Bundeswehr military hospital in Berlin intensive care including ventilation and conservativ ortopedic therapy had to be applied.
Discussion: This case shows that isolated local back pain without neurological symptoms, combinded with elvated markers of inflammation, can point out to a spondylitis/spondylodiszitis which immediately needs further diagnostics and antibiotic therapy. In patients suffering from pyodermial – time related to a stay in tropical areas – an infection with panton-velentine-leukzidin (PVL) producing staphylococci has to be taken into account. Staying in communal accodomation – as usual for military missions – facilitates spreading of those bacteria. An appropriate hygiene regimen for the purpose of prevention and during treatment of patients is of high importance.
Conclusions: Soldiers deployed to tropical regions are at risk to aquire a pyodermia induced by PVL-building -staphylococci. This increases the risk to develop infectious spondylitis. Isolated back pain without neurological symptoms must alert the treating physician to perform necessary diagnostical and therapeutical procedures including x-ray examination and profound microbiological lab tests. If a spondylitis is suspected initially a calculated and later resistance adapted antibiotic therapy is the pillar of each treatment. An antibiotic therapy of pyodermia acquired in tropical regions should be discussed. In case of a pyodermia a microbiological examination has to be targeted.
Keywords: spondylitis/spondylodiscitis, pyodermia, PVL-Sta-phylo-coccus aureus, antibiotics
Einleitung
Das Symptom „Rückenschmerz“ gehört in der täglichen Praxis – auch in den regionalen Sanitätseinrichtungen der Bundeswehr – mit zu den häufigsten Gründen für einen Arztbesuch. Eine Vielzahl von Diagnosen geht mit dieser Symptomatik einher, von denen akute Traumata, degenerative Erkrankungen, Bandscheibenvorfälle und Überlastung bei ungewohnten Tätigkeiten nur einige Beispiele sind.
Ein besonders zu beachtendes Krankheitsbild stellt die infektiöse Spondylitis dar – eine Erkrankung, die häufig erst nach längerer Krankheitsdauer diagnostiziert wird und deren erfolgreiche Behandlung ein komplexes Vorgehen erfordert. Die wesentliche Rolle von Pyodermien bei der Genese der infektiösen Spondylitis zeigt die wehrmedizinische Bedeutung dieses Krankheitsbildes, insbesondere vor dem Hintergrund des erweiterten Aufgabenspektrums und der aktuellen und zukünftigen Einsatzgebiete der Bundeswehr, da man Pyodermien häufig bei Tropenrückkehrern findet.
Fallbeschreibung
Ein 37-jähriger Patient wurde aus dem EUTM[1]-Einsatz in Mali repatriiert. Seine Aufnahme auf die Interdisziplinäre Intensivstation des Bundeswehrkrankenhauses (BwKrhs) Berlin erfolgte nach STRATAIRMEDEVAC[2].
Anamnese
Der Patient war im Einsatz mit progredienten Rückenschmerzen nach sportlicher Aktivität aufgefallen. Initial war eine Blockierung der Brustwirbelsäule und eine Bandscheibenproblematik vermutet worden. Bei febrilen Temperaturen und stärksten Rückenschmerzen war jedoch der Verdacht auf eine Meningitis geäußert und eine antibiotische Therapie mit Ampicillin/Sulbactam und Ceftriaxon sowie antiviral mit Aciclovir begonnen worden. Bei weiter steigenden Entzündungswerten und einer Linksverschiebung im Differentialblutbild wurde eine Therapie mit Aciclovir ab- und mit Ciprofloxacin angesetzt sowie die Repatriierung des Soldaten nach Berlin über das PECC[3] in Koblenz initiiert.
Den Rückenschmerzen vorausgegangen war ein Sturz auf das rechte Knie mit einer Schürfwunde, der initial wenig Beachtung geschenkt wurde. Drei Wochen nach diesem „Bagatelltrauma“ war die Vorstellung beim Truppenarzt erfolgt. Aus der Kniewunde hatte sich Pus entleert; es war eine Spülung mit antiseptischer Lösung erfolgt. Kurz darauf hatte sich ein etwa 2 x 2 cm großer Abszess am rechten Oberschenkel entwickelt, welcher in Lokalanästhesie gepalten und ebenfalls gespült wurde (Abbildung 1). Eine Abstrichentnahme erfolgte zum damaligen Zeitpunkt nicht.
Klinischer Befund
Bei Aufnahme im BwKrhs Berlin zeigten sich im thorakolumbalen Übergang Klopf- und Rüttelschmerzen. Die Kraft war mit einem Kraftgrad nach Janda 5/5 seitengleich. Es bestanden ebenso seitengleiche mittellebhafte Reflexe. Neurologische Defizite bestanden nicht, das Lasègue-Zeichen war beidseits negativ; es lag kein Meningismus vor. Die Atmung war tachypnoisch mit Einsatz der Atemhilfsmuskulatur. Das Atemgeräusch war beidseits verschärft; zur Sicherung einer suffizienten Oxygenierung erfolgte eine kontinuierliche Sauerstoffinsufflation von 8 l/min. Der Patient zeigte einen Sklerenikterus.
Diagnostik
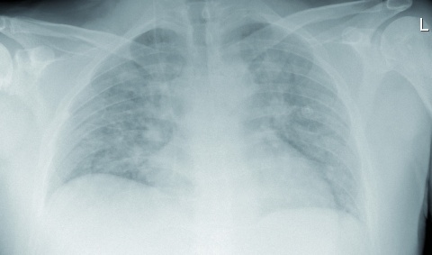
Die Röntgenaufnahme des Thorax zeigte pneumonische Infiltrate beidseits ohne Nachweis von Kavernen (Abbildung 2). CT[4] Thorax und Abdomen mit Kontrastmittel erbrachten den Nachweis fein- und grobfleckiger pneumonischer Infiltrate und Pleuraergüsse beidseits sowie eine Hepatosplenomegalie. Im MRT[5] BWS/LWS (nativ und mit Kontrastmittel) stellte sich das Bild einer isolierten Spondylitis des BWK 11 mit zirkulärer paravertebraler Entzündungsreaktion ohne spinale und Diskusbeteiligung dar (Abbildung 3). Der Ausschluss von Herzklappenvegetationen erfolgte durch eine transösophageale Echokardiographie. Bronchoskopisch wurde zäh-putrides Sekret für die mikrobielle Untersuchung gewonnen; infektiologisch konnten Malaria, Tuberkulose, Brucellose, Leptospirose, Hepatitis, eine HIV- und Legionelleninfektion ausgeschlossen werden. Die Sonographie des Abdomens war bis auf eine Hepatosplenomegalie unauffällig. Laborchemisch fielen bei Aufnahme erhöhte Entzündungswerte, eine Linksverschiebung im Differential-blutbild sowie
eine Cholestase auf. In den Blutkulturen konnte Staphylococcus aureus mit Panton-Valentine-Leukozidin (PVL) nachgewiesen werden. Ein Erregernachweis aus den bronchoskopisch gewonnenen Materialien gelang nicht, jedoch ist auch hier eine hämatogene Streuung und daraus folgende Pneumonie nicht unwahrscheinlich.
Therapie und Verlauf
Initial war der Patient beatmungspflichtig. Die Beatmungsbehandlung erfolgte nicht-invasiv (Abbildung 4).
Die antibiotische Therapie wurde kalkuliert gemäß den Emp-feh-lungen von -ABELE-HORN et al. auf Clindamycin, Flucloxacillin, Ceftriaxon [1] und – bei initial nicht auszuschließender gramnegativer Infektion des Respirationstraktes – zusätzlich auch auf Ciprofloxacin umgestellt. Auch die Arbeitsgruppe FLEEGE et al. empfiehlt die Kombination eines Drittgenera-tionscephalosporins (Cefotaxim) mit Flucloxacillin für die kalkulierte Initialtherapie [8]. Nach endgültiger mikrobieller -Diagnostik erfolgte die gezielte Anpassung der Antibiose mit Umstellung auf Flucloxacillin und Fosfomycin. Die Behandlung mit Clindamycin wurde bei nachgewiesener Resistenz beendet. Die intravenöse Therapie erfolgte insgesamt 14 Tage lang und anschließend über weitere vier Wochen mit Rifampicin und Levofloxacin per os.
Die antibiotische Behandlung wurde im Rahmen des im -BwKrhs Berlin etablierten Antibiotic Stewardship interdisziplinär unter Einbeziehung der Laborabteilung I (Mikrobiologie) des Zentralen Instituts des Sanitätsdienstes der Bundeswehr Kiel, Außenstelle Berlin, abgestimmt.
Unter der Behandlung waren die Entzündungswerte komplett regredient (siehe Tabelle 1), der Gasaustausch normalisierte sich. Aufgrund des Nachweises von Staphylococcus aureus mit PVL erfolgte in Absprache mit der Abteilung für Krankenhaushygiene die Isolierung des Patienten. Nach acht Tagen auf der Intensiv- und Intermediate-Care (IMC)-Station konnte er auf die Normalstation verlegt werden. Bereits auf der Intensivstation wurde er mit einem 3-Punkt-Korsett versorgt und konnte somit durch achsgerechte Drehung in Stand und Gang mobilisiert werden (Abbildung 5). Auf der Normalstation konnte die achsgerechte Mobilisation schmerzadaptiert und unter radiologischen Kontrollen ausgedehnt werden. Der Patient war mit dem Korsett in der Lage, länger zu stehen und immer weitere Strecken zu laufen.
Zur Objektivierung der klinischen Befundbesserung wurden im Verlauf erneute Bildgebungen (Computer- und Magnetresonanztomographie) durchgeführt. Diese erbrachten korrespondierend zum klinischen Befund eine Rückbildung der Veränderungen im 11. Brustwirbel. Nach vierwöchigem stationären Aufenthalt konnte der Patient in die ambulante Weiterbehandlung entlassen werden. Der initial beobachtete Sklerenikterus und die Cholestase, deren Genese nicht abschließend geklärt wurde, waren bei Entlassung nicht mehr klinisch präsent.
Diskussion
Allgemeines zur Erkrankung
Das Krankheitsbild der infektiösen Spondylitis kannte man zwar bereits in der Antike [9], jedoch wurde die Erkrankung erstmals 1879 durch LANNELONGUE beschrieben. Im Jahre 1936 veröffentlichte KOLOWSKI eine ausführliche Dokumentation der Spondylitis. Er vermutete schon damals als Ursache eine hämatogene Streuung von Bakterien [14].
Die Begriffe Spondylitis und Spondylodiszitis werden in den meisten Fällen gemeinsam verwendet. Die Spondylitis ist die sogenannte „Osteomyelitis der
Wirbelsäule“, wobei eine Infektion der Wirbelkörper besteht, welche sekundär auf die Bandscheiben übertritt. Von einer Spondylodiszitis spricht man, wenn die Infektion primär die Bandscheibe befällt und sich die Infektion sekundär auf die Wirbelkörper ausbreitet [4, 6, 7, 9, 15].
Beide Entitäten sind aufgrund der Vielzahl von möglichen Erregern, den geringen Inzidenzen und den sehr heterogenen klinischen Verläufen extrem komplex und werden oft sehr spät erkannt [10]. Bedingt durch einen meist langen Zeitraum zwischen Symptombeginn und definitiver Diagnose ist die Unterscheidung beider Krankheitsbilder schwierig. In beiden Fällen handelt es sich überwiegend um eine bakterielle Monoinfektion, deren wichtigste Therapie die zielgerichtete Antibiose ist [12].
Inzidenz/Ätiologie
Die Angaben zur Inzidenz schwanken je nach Literatur zwischen 1:100 000 und 1:250 000 [5, 14]. Männer sind deutlich häufiger betroffen. Zu den Risikofaktoren zählen Diabetes mellitus, Mangelernährung, Tumorleiden, HIV-Infektionen, die Einnahme von Steroiden sowie rheumatische Erkrankungen.
Die Mortalitätsrate lag in der ersten Hälfte des 20. Jahrhunderts noch bei 40 – 90 % und konnte aufgrund besser werdender Diagnostik, umfangreicherem Wissen und breiterer antibiotischer Therapiemöglichkeiten auf heute etwa 5 % gesenkt werden [14]. Allerdings ist aufgrund der zunehmenden Anwendung immunmodulierender Substanzen und immunsuppressiver Therapien sowie infolge der wieder zunehmenden Inzidenz der Tuberkulose auch in Deutschland [17] mit einer Zunahme von infektiösen Spondylitiden zu rechnen [12].
Mikrobiologie
Grundsätzlich können eine Vielzahl von Bakterien, Pilze und Parasiten eine solche Infektion verursachen. Mit 39 % sind Staphylokokken die häufigsten Erreger der unspezifischen Spondylitis, wobei Staphylococcus aureus mit 36 % an der Spitze steht. Die zweit- und dritthäufigsten Erreger sind gramnegative Bakterien und Streptokokken [18].
In den letzten Jahren wird von einer Änderung des Erregerspektrums berichtet. Ursächlich ist hierfür die nach jahrelangen Rückgang wieder zu beobachtende Zunahme der Tuberkulose [17] und die Häufung gramnegativer Bakterien bei Drogenabhängigen [14]. Bei Tuberkulosepatienten, die nicht von HIV betroffen sind, befällt die Tuberkulose in bis zu 5 % der Fälle das Skelett, bei HIV-positiven in bis zu 60 %. 50 % aller Knochentuberkulosen manifestieren sich an der Wirbelsäule [18].
Der Infektionsverlauf wird maßgeblich durch die erregerspe-zifische Ausstattung mit Virulenzfaktoren beeinflusst. Ein wichtiger Faktor ist das PVL, das sowohl von „community -associated“ Methicillin-resistenten Staphylococcus aureus (CA-MRSA) als auch von Methicillin-sensiblen Staphylococcus aureus (MSSA) gebildet werden kann [3]. Leukozidine führen zu einer Lyse von Leukozyten und zu einer Gewebenekrose. Insbesondere die nekrotisierende Pneumonie ist eine gefürchtete Komplikation einer Infektion mit PVL-bildenden Staphylokokken [13].
Infektionswege
Bei der Spondylitis wird der endogene vom exogenen Infektionsweg unterschieden. Der endogene Weg ist charakterisiert durch eine wirbelkörperferne Infektion und anschließende hämatogene Streuung von Erregern [18]. Die Infektionsquelle kann dabei an den unterschiedlichsten Orten lokalisiert sein. Mögliche Infektionsquellen sind Haut, Weichteile, Atem- oder Harnwege. In den meisten Fällen ist die Ursprungsquelle nicht mehr nachweisbar [2, 16, 20]. Der exogene Weg ist der deutlich seltenere. Ursachen sind hierbei in aller Regel operative Eingriffe oder Injektionen nahe der Wirbelsäule [18].
Risikofaktoren
Staphylococcus aureus mit veränderten Virulenzcharakteristika sind in den Tropen häufig. An Pyodermie erkrankte Reisende weisen nicht selten komplizierte Krankheitsverläufe auf und tragen nach ihrer Heimkehr zu einer Verbreitung virulenter Staphylokokken in gemäßigten Klimazonen bei. Bei der Behandlung von an Pyodermie erkrankten Tropenrückkehrern muss mit besonders virulenten und multiresistenten Erregern gerechnet werden [23].
Weitere Risikofaktoren für die Übertragung der Erreger ist die Unterbringung in Gemeinschaftsunterkünften; aber auch unter Sportlern kann man bei gemeinsamer Nutzung von Geräten oder bei Kontaktsportarten eine gehäufte Übertragung beobachten. Der Keim kann aber auch über Vektoren, wie z. B. Handtücher und andere persönliche Gegenstände, übertragen werden.
Klinische Präsentation
Patienten mit einer infektiösen Spondylitis bieten ein breites und vor allem nicht spezifisches Beschwerdebild. Führendes Symptom ist der lokalisierbare Rückenschmerz. Dieser tritt in 85 % der Fälle auf. Etwa die Hälfte der Patienten hat Fieber, ein Drittel leidet an neurologischen Beschwerden. Insgesamt bleibt festzuhalten, dass die Diagnose häufig verzögert gestellt wird, da der Rückenschmerz eine breite Differenzialdiagnostik bietet [11].
Diagnostik
Bei Verdacht auf das Vorliegen einer Spondylitis ist die Kombination aus Bildgebung (vorzugsweise Magnetresonanztomographie), Laborbefunden (vor allem Entzündungsparameter) und mikrobiologischer Diagnostik zum Erregernachweis zielführend. Für die mikrobiologische Diagnostik sind Blutkulturen richtungsweisend. Die Abnahme von Blutkulturen sind die einfachste, kostengünstigste und effektivste Methode des Erregernachweises [12]. Diese (mindestens drei Paare) sollten in jedem Fall vor Beginn der antibiotischen Therapie entnommen werden, um die Wahrscheinlichkeit für eine erfolgreiche Erregeridentifikation zu erhöhen. Auch können CT-gestützte Biopsien für die Gewinnung von Untersuchungsmaterial durchgeführt werden [10]. Die Erregeridentifikation als Voraussetzung für eine gezielte antibiotische Behandlung gelingt jedoch nur in 35 – 83 % der Infektionen [12].
Therapie
Die Therapie der infektiösen Spondylitis sollte von einem interdisziplinären Team, mindestens bestehend aus Mikrobiologen, Internisten, Wirbelsäulenchirurgen und – im Falle schwerer Komplikationen – Intensivmedizinern geplant werden. Grundsätzlich gilt es, zwei mögliche Therapieoptionen abzuwägen: zum einen die konservative Therapie mit konsequenter Ruhigstellung und zum anderen die operative Therapie. Die operative Behandlungsoption sollte bei schweren septischen Verläufen sowie fortgeschrittenen knöchernen Destruktionen in Erwägung gezogen werden.
Bei beiden Therapieformen bildet die antibiotische Behandlung die Hauptsäule. Diese muss bei klinischem Verdacht umgehend kalkuliert eingeleitet werden. Diese kalkulierte Behandlung bei (noch) unbekanntem Erreger umfasst eine Kombinationstherapie z. B. aus Flucloxacillin, Ceftriaxon und Clindamycin [1]. Hierbei nutzt man die Wirksamkeit des Isoxazolylpenicillins auf Staphylococcus aureus als besonders häufigem Spondylitis-Erreger. Isoxazolylpenicilline sind jedoch nur unzuverlässig wirksam bei Streptokokken und nicht wirksam gegen gramnegative Erreger. Dies wird durch die Kombination mit dem Cephalosporin der Gruppe 3 ausgeglichen. Clindamycin inhibiert die bakterielle Proteinsynthese und damit auch die Bildung von Toxinen der Gruppe-A-Streptokokken und möglicherweise auch von Staphylococcus aureus. Damit ist es ein wichtiger Kombinationspartner für Infektionen, bei denen die Toxinwirkung im Vordergrund steht. Die Wirkung ist konzentrations- und erregerabhängig bakteriostatisch bis bakterizid [19], wobei sich Clindamycin des Weiteren durch eine exzellente Knochengängigkeit auszeichnet [8]. Allerdings sind – wie in unserem Fall – Clindamycinresistenzen nicht selten.
Die antibiotische Therapie sollte mindestens sechs Wochen lang bei unkomplizierten und über bis zu drei Monate bei komplizierten Verläufen durchgeführt werden [10].
Schlussfolgerungen und wehrmedizinische Aspekte
Im beschriebenen Fall ist eine Genese der Spondylitis auf endogenem Infektionsweg wahrscheinlich, der seinen Ausgang von einer Bagatellverletzung des Knies oder einem Oberschenkelabszess nahm, zwischen denen eventuell auch ein Zusammenhang bestand. Da jeweils kein bakteriologischer Befund erhoben wurde, ist der letztendliche Nachweis nicht zu führen. Eine exogene Infektion ist auf Grund der Anamnese (keine Injektionen oder Eingriffe an der Wirbelsäule) unwahrscheinlich.
Antibiose bei Pyodermie?
Von wehrmedizinischer Bedeutung ist dabei die Frage, ob bei der Therapie von Hautabszessen, speziell in tropischen Einsatzgebieten, neben einer lokalen auch eine (perioperative) antibiotische Prophylaxe bzw. eine antibiotische Behandlung erfolgen sollte, um mögliche weitere Komplikationen, wie die infektiöse Spondylitis, zu vermeiden.
Aktuell liegen keine Empfehlungen speziell für diese Patientengruppen vor [21]. Damit kann auf Grundlage der vorliegenden Daten keine generelle Empfehlung zu einer antibiotischen Prophylaxe im Rahmen von einmaligen Abszessspaltungen gegeben werden. Spätestens bei rekurrenten Hautinfekten von Soldaten in Einsatzgebieten wie im Übrigen auch bei vergleichbarer Symptomatik im Heimatland kann jedoch eine systemische antibiotische Therapie erforderlich werden [23].
Bei jeglichem Abszess ist unbedingt die Abstrichentnahme zur weiteren mikrobiologischen Diagnostik vor Beginn der antibiotischen Therapie indiziert. Bei der sanitätsdienstlichen Planung von Einsätzen sind hier entsprechende Verfahrensanweisungen für den Versand, die Bearbeitung mikrobiologischer Untersuchungsmaterialien und das zeitnahe Übermitteln von Befunden zu etablieren. Es könnten hierbei auch die Entwicklung von Untersuchungsmethoden, die kein vollständiges bakteriologisches Labor erfordern, und der Ausbau der Telemikrobiologie in Erwägung gezogen werden.
Ebenso sollte bei Patienten, die sich nach Rückkehr aus tropischen Ländern mit einer Pyodermie in der truppenärztlichen Sprechstunde vorstellen, auf jeden Fall eine bakteriologische Untersuchung (Abstrich) erfolgen.
Sofortiges Handeln erforderlich!
Isolierte Rückenschmerzen ohne neurologisches Defizit, verbunden mit massiv erhöhten Entzündungswerten, können auf eine Spondylitis/Spondylodiszitis hinweisen und bedürfen einer sofortigen diagnostischen Abklärung und antibiotischen Therapie. Für die initiale kalkulierte antibiotische Therapie wird derzeit bei dieser Erkrankung die Kombinationstherapie mit Clindamycin, Flucloxacillin und Ceftriaxon empfohlen [1].
Prävention
Über das erhöhte Risiko einer Übertragung virulenter Keime in Gemeinschaftsunterkünften und beim „Sharing“ von Gebrauchsgegenständen sollte im Rahmen des „In-Processing“ in den Einsatzgebieten durch die Truppenärzte und/oder Gesundheitsaufseher der Einsatzverbände belehrt werden. Da die Übertragung durch unmittelbaren Haut-/Händekontakt mit betroffenen Patienten sowie direkten Kontakt mit von diesen kontaminierten Gegenständen oder deren getragener Kleidung (ohne dass diese gereinigt wurde) erfolgt, gibt es keinen absolut wirksamen Schutz gegen eine Ansteckung mit PVL-bildenden Staphylokokken. Man kann das Risiko einer Ansteckung durch häufiges Händewaschen bzw. Händedesinfektion vermindern; Wunden und Kratzer sollten mit Pflaster abgedeckt werden, eine gemeinsame Verwendung von Handtüchern oder anderen persönlichen Gegenständen muss vermieden werden.
Hygienemaßnahmen
Werden Soldaten auf Grund des Verdachtes oder bei bestätigten systemischen Komplikationen dieser Erkrankungen repatriiert, so ist sowohl beim Transport als auch in den aufnehmenden Krankenhäusern bereits prophylaktisch ein entsprechendes Hygieneregime zu beachten.
Im Umgang mit den Betroffenen und deren Pflege ist das Tragen von Mundschutz, Einmalkitteln sowie Handschuhen und eine gründliche Händedesinfektion vor Betreten des Patientenzimmers und nach dem Ausziehen der Handschuhe obligat. Werden bei einem Patienten oder den Angehörigen/Kontaktpersonen PVL-Staphylokokken nachgewiesen, wird die Durchführung einer sogenannten „Dekolonisierungsbehandlung“ mit Nasensalbe und antiseptischen Waschungen und Mundspülungen empfohlen [22].
Fazit
Die infektiöse Spondylitis ist eine einsatzrelevante Erkrankung. Kenntnisse zu Krankheitsbild, Diagnostik und Therapie sowie Präventions- und Hygienemaßnahmen sollten dem Truppenarzt im Einsatz vertraut sein.
Kernaussagen
• Isolierte Rückenschmerzen mit hohen Entzündungsparametern können auf eine Spondylitis hinweisen.
• Die Diagnostik beinhaltet neben einer gründlichen klinischen Untersuchung eine aussagekräftige Bildgebung und mikrobiologische Untersuchungen.
• Die antibiotische Therapie stellt den Schwerpunkt der Behandlung einer infektiösen Spondylitis dar.
• Pyodermien in tropischen Einsatzgebieten bilden einen wesentlichen endogenen Infektionsweg, wobei mit besonders virulenten und multiresistenten Erregern zu rechnen ist.
• Auch bei der Behandlung von infizierten Bagatellwunden und/oder der Spaltung von Hautabszessen sollte immer eine mikrobiologische Untersuchung erfolgen.
Literatur
1. Abele-Horn M, Heinz W: Antimikrobielle Therapie. Entscheidungshilfen zur Behandlung und Prophylaxe von Infektionskrankheiten, 3. Auflage. Marburg: Wiehl 2010.
2. Akbar M, Lehner B, Doustdar S, et al.: Pyogene Spondylodiszitis der Brust- und Lendenwirbelsäule. Eine neue Klassifikation zur Entscheidungsfindung bei der Wahl der operativen Therapie. Orthopäde 2011; 40(7): 614-623.
3. Becker K, Kriegeskorte A, Sunderkötter C, Löffler B, von Eiff C: Chronisch rezidivierende Infektionen der Haut und Weichgewebe durch Staphylococcus aureus. Klinische Bedeutung des Small-colony-variant (SCV)-Phänotyps und von Panton-Valentine-Leukozidin (PVL)-positiven S.-aureus-Isolaten. Hautarzt 2014; 65(1): 15-25.
4. Klöckner C, Valencia R, Weber U: Die Einstellung des sagittalen Profils nach operativer Therapie der unspezifischen destruierenden Spondylodiszitis: ventrales oder ventrodorsales Vorgehen -ein Ergebnisvergleich. Orthopäde 2001; 30: 965-967.
5. Chelsom J, Solberg CO: Vertebral osteomyelitis at a Norwegian university hospital 1987-97: clinical features, laboratory findings and outcome. Scand J Infect Dis 1998; 30(2): 147-151.
6. Cramer J, Haase N, Behre I, Ostermann PAW: Spondylitis und Spondylodiszitis. Trauma und Berufskrankheit 2003; 5(3): 336-341.
7. Eysel P, Hopf C, Meurer A (1994) Korrektur und Stabilisierung der infektbedingten Wirbelsäulendeformität. Orthopädische Praxis 1994;(11): 696-703.
8. Fleege C, Wichelhaus TA, Rauschmann M: Systemische und lokale Antibiotikatherapie bei konservativ und operativ behandelten Spondylodiszitiden. Orthopäde 41(9): 727-735.
9. Frangen TM, Kälicke T, Gottwald M, Andereya S, et al.: Die operative Therapie der Spondylodiszitis. Eine Analyse von 78 Patienten. Unfallchirurg 2006; 109(9): 743-753.
10. Huttner B, Opravil M: Die infektiöse Spondylitis. Z Rheumatol 2006; 65(1): 7-11.
11. Jung N, Seifert H, Siewe J, Fätkenheuer G: Spondylodiszitis. Internist (Berl) 2013; 54(8): 945-953.
12. Lehner B, Akbar M, Rehnitz C, et al.: (2012) Standards der mikrobiologische Diagnostik der Spondylodiszitis. Orthopäde 2012; 41(9): 702-710.
13. Lina G, Piémont Y, Godail-Gamot F, Bes M, et al.: Involvement of Panton-Valentine leukocidin-producing Staphylococcus aureus in primary skin infections and pneumonia. Clin Infect Dis 1999; 29(5): 1128-1132.
14. Mickley T, Kirschner M, Hierholzer C, Hofmann GO: Spondylitis-Spondylodiszitis. Trauma und Berufskrankheit 2003; 5(0): 296-304.
15. Peters KM, Klosterhalfen B, Eysel P: Bakterielle Infektionen der Knochen und Gelenke. Bücherei des Orthopäden, Bd 69. Stuttgart: Enke 1997.
16. Renker EK, Möhring K, Abel R, et al.: Urogene Spondylodiszitis. Orthopäde 2009; 38(4): 355-364.
17. Robert Koch-Institut: Tuberkulose in Deutschland: Ende des rückläufigen Trends? RKI-Bib1. Berlin: Robert-Koch-Institut 2015.
18. Sobottke R, Seifert H, Fätkenheuer G, Schmidt M, Goßmann A, Eysel P: Aktuelle Diagnostik und Therapie der Spondylodlszitis. Dtsch Ärztebl 2008; 105(10): 181 -187.
19. Sunderkötter C, Becker K: Systemtherapie mit Antiinfektiva. Hautarzt 2014; 65(2): 113-124.
20. Vos FJ, Kullberg BJ, Sturm PD, Krabbe PFM, et al.: Metastatic infectious disease and clinical outcome in Staphylococcus aureus and Streptococcus species bacteremia. Medicine (Baltimore) 2012; 91(2): 86-94.
21. Wacha et al.: Perioperative Antibiotikaprophylaxe. Empfehlungen einer Expertenkommission der Paul-Ehrlich-Gesellschaft für Chemotherapie e.V. Chemother J 2010; 19(3): 70-84.
22. Witte W, Wiese-Posselt M, Jappe U: Community MRSA. Hautarzt 2005; 56(8): 731-738.
23. Zanger P: Staphylogene Pyodermie bei Tropenrückkehrern-Reisende importieren virulente und resistente Stämme. Flug u Reisemed 2013; 19(06): 272-275.
Bildquelle:
Alle Abbildungen Bundeswehrkrankenhaus Berlin; Einverständnis des Patienten zur Veröffentlichung wurde erteilt.
Interessenkonflikt:
Die Autoren, die zu gleichen Teilen an dieser Arbeit mitgewirkt haben, erklären, dass keine Interessenkonflikte bestehen.
Manuskriptdaten:
Eingereicht: 18.12.2015
Revidierte Fassung angenommen: 08.04.2016
Zitierweise:
Deutsch:
Markoff S, Richter C, Ruft J: Die infektiöse Spondylitis – eine einsatzrelevante Erkrankung? Wehrmedizinische Monatsschrift 2016; 60(45): 136-141.
Englisch:
Markoff S, Richter C, Ruft J: Infectious spondylitis – a military operations related disease? Wehrmedizinische Monatsschrift 2016; 60(5): 136-141.
Für die Verfasser:
Oberfeldarzt Dr. Stefan Markoff
Bundeswehrkrankenhaus Berlin
Abteilung X Anästhesie, Intensivmedizin, Notfallmedizin
und Rettungsdienst
Scharnhorststr. 13, 10115 Berlin
E-Mail: [email protected]
Eine englische Version dieses Artikels finden Sie hier.
An english version of this article you will find here.
[1] European Training Mission.
[2] Strategischer Verwundetenlufttransport.
[3] Patient Evacuation Coordination Centre.
[4] Computertomographie.
[5] Magnetresonanztomographie.
Datum: 14.07.2016
Quelle: Wehrmedizinische Monatsschrift 2016/5






