Die intraorbitale Raumforderung – ein interdisziplinärer und neurochirurgischer Brennpunkt
Lennart Schmidta, Helena Schreiweisa, Gunnar Müllerb, Bernd-Günther Laskowskic, Sandra Schmidtd, Daniel Anton Veite, Frank Weinandf, Klaus Peter Kaiserg, Ramin Naraghia
a BundeswehrZentralkrankenhaus Koblenz, Klinik XII – Neurochirurgie
b BundeswehrZentralkrankenhaus Koblenz, Abteilung XIII – Pathologie
c BundeswehrZentralkrankenhaus Koblenz, Klinik VII – Mund-, Kiefer-, Gesichtschirurgie
d BundeswehrZentralkrankenhaus Koblenz, Klinik V – Hals-, Nasen-, Ohrenheilkunde,
e BundeswehrZentralkrankenhaus Koblenz, Klinik VIII – Radiologie und Neuroradiologie,
f BundeswehrZentralkrankenhaus Koblenz, Klinik IV – Augenheilkunde
g BundeswehrZentralkrankenhaus Koblenz, Abteilung XV – Nuklearmedizin
Zusammenfassung
Aufgrund der engen Lagebeziehung zu neurovaskulären Strukturen sind Raumforderungen der Augenhöhle oder im Bereich der orbitanahen Schädelbasis in Bezug auf Diagnostik und Therapie eine besondere Herausforderung. In Abhängigkeit von Entitäten und Lokalisation können verschiedene Behandlungsansätze, wie zum Beispiel eine Operation oder auch ein konservatives Vorgehen, in Frage kommen.
In diesem Beitrag werden anhand ausgesuchter Fallbeispiele die Besonderheiten verschiedener Neoplasien in dieser Region und die jeweils spezifische Therapie vorgestellt und diskutiert. Dies soll den interdisziplinären Ansatz am Kopfzentrum des BundeswehrZentralkrankenhauses Koblenz verdeutlichen, der für einen therapeutischen Erfolg von großer Bedeutung ist.
Schlüsselwörter: Orbita, intraorbitale Tumoren, operativer Orbitazugang, Augenheilkunde, Neurochirurgie
Einleitung
Die Orbita
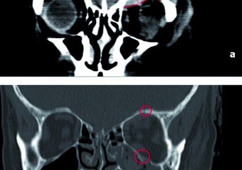
Die Orbita ist pyramidenförmig gebaut und durch verschiedene Strukturen begrenzt. So sind die Ossa frontale, temporale, zygomaticum, maxillare, ethmoidale, sphenoidale, palatinum und lacrimale an der knöchernen Begrenzung beteiligt. Die Augenhöhle hat außerdem multiple Durchtrittsstellen und beherbergt Faszien, die Augenmuskeln, den Bulbus, die Tränendrüsen, Gefäße und Nerven. Zum besseren Verständnis der Orbita muss diese in einen Extrakonalraum, Intrakonalraum, subperiostalen und den präseptalen Raum aufgeteilt werden, da die verschiedenen Entitäten typische Lokalisationen bieten. Dabei bezeichnet der Intrakonalraum den dorsal des Bulbus gelegenen, konisch zulaufenden Raum innerhalb der geraden Augenmuskeln; hier verlaufen der N. opticus, die A. ophtalmica sowie die Vv. ophtalmicae sup. et inf. sowie die Nn. ciliares breves.
Den ausführlichen Artikel lesen Sie hier.
Wehrmedizinische Monatsschrift 5/2021
Für die Verfasser
Stabsarzt Lennart Schmidt
BundeswehrZentralkrankenhaus Koblenz
Klinik XII – Neurochirurgie
Rübenacherstraße 170, 56072 Koblenz
E-Mail: [email protected]





