Aus der Abteilung für Neurochirurgie1 (Abteilungsleiter: Oberstarzt Dr. G. Anzinger) und der Abteilung für Orthopädie und Unfallchirurgie2 (Abteilungsleiter: Oberstarzt A. Gutcke) des Bundeswehrkrankenhauses Westerstede (Chefärztin: Oberstarzt Dr. N. Schilling) und der Universitätsklinik für Hals-Nasen-Ohren-Heilkunde der Carl von Ossietzky Universität Oldenburg3 (Chefarzt: Priv.-Doz. Dr. A. Radeloff)
Zusammenfassung
Einleitung: Das orbitale Kompartmentsyndrom mit traumatischer Visusminderung stellt eine schwerwiegende Komplikation bei Patienten mit Mittelgesichtsverletzungen dar. Aufgrund eines raumfordernden intraorbitalen Hämatoms kommt es dabei zu einem Anstieg des intraorbitalen Drucks mit nachfolgender Beeinträchtigung der Perfusion der Retina und des Nervus opticus. Eine Amaurose des betroffenen Auges ist meist die Folge, wenn der intraorbitale Druck nicht umgehend gesenkt wird.
Fallvorstellung: Wir präsentieren den Fall einer 61-jährigen Frau, die sich im Rahmen eines Sturzes unter Alkoholeinfluss ein schweres Mittelgesichtstrauma zugezogen hatte. Infolge eines intraorbitalen Hämatoms entlang des Orbita-dachs links entwickelte sich ein orbitales Kompartmentsyndrom mit Amaurose des linken Auges. Vor der Verlegung zur definitiven Dekompression der Orbita wurde eine laterale Kanthotomie und inferiore Kantholyse zur umgehenden Senkung des intraorbitalen Drucks durchgeführt.
Diskussion: Verletzungen des Neuro- und Viscerokraniums stellen das zweithäufigste Verletzungsmuster von Verwundeten im Auslandseinsatz dar. Mittelgesichtsverletzungen sind häufig mit ophthalmologischen Begleitverletzungen vergesellschaftet. Im Falle einer posttraumatischen Visusminderung durch ein orbitales Kompartmentsyndrom sollte eine frühzeitige laterale Kanthotomie und inferiore Kantholyse erfolgen, um den intraorbitalen Druck zu senken.
Schlussfolgerung: Die laterale Kanthotomie mit inferiorer Kantholyse ist eine sichere und effektive Therapiemaßnahme zur Senkung des intraorbitalen Drucks bei Patienten mit orbitalem Kompartmentsyndrom. Da Rettungsmediziner und insbesondere auch Einsatzchirurgen im Auslandseinsatz auf Patienten mit diesem Krankheitsbild treffen können und eine definitive chirurgische Versorgung oftmals erst in einer übergeordneten Versorgungseinrichtung möglich ist, sollte diese Maßnahme zu den erweiterten Kernkompetenzen dieser Ärzte gehören.
Schlüsselwörter: laterale Kanthotomie, inferiore Kantholyse, Orbitahämatom, Kompartmentsyndrom der Orbita, Ex-ophthalmus
Summary
Introduction: Orbital compartment syndrome with traumatic loss of vision is a rare but severe complication of facial trauma. Perfusion of the optic nerve and retina is impaired due to an increase of the intraorbital pressure caused by a space-occupying hematoma. Permanent visual loss often follows if immediate decompression of the orbita is not obtained.
Case report: We present a case of a 61-year-old female patient who suffered from blunt facial trauma. She developed an orbital compartment syndrome with loss of vision as a consequence of an intraorbital subperiostal hematoma. Lateral canthotomy and inferior cantholysis was performed prior to multilateral decompression of the orbita.
Discussion: Trauma to the head, face and neck region is the second most common injury in patients injured on missions. Trauma to the midface is often associated with ophthalmic injury. In case of an orbital compartment syndrome, early lateral canthotomy and inferior cantholysis should be performed.
Conclusion: Lateral canthotomy and inferior cantholysis is a safe and effective procedure for the initial decompression of the orbita in patients with orbital compartment syndrome. As facial trauma is a common casualty during deployment and military surgeons and emergency physicians are likely to be confronted with this syndrome, the technique of lateral canthotomy and inferior cantholysis should be part of their core competence.
Keywords: lateral canthotomy, inferior cantholysis, orbital compartment syndrome, orbital hematoma, exophthalmos
Einleitung
Das orbitale Kompartmentsyndrom stellt eine schwerwiegende Komplikation bei Patienten mit Mittelgesichtstrauma dar. Ursächlich ist meist eine intraorbitale Blutung aus der A. ethmoidalis anterior oder posterior, der A. supra- oder infraorbitalis oder der A. ophthalmica im Rahmen einer Fraktur mit Beteiligung der Orbita [5]. Auch ein posttraumatisches Emphysem der Orbita ist als Ursache des orbitalen Kompartmentsyndroms beschrieben [1]. Aufgrund der knöchernen Begrenzung der Orbita kann der Bulbus der intraorbitalen Raumforderung nur durch eine Protrusio bulbi ausweichen, die nach ventral durch das Septum orbitale begrenzt wird [12]. Infolge des progredienten intraorbitalen Druckanstiegs kommt es zu einer Beeinträchtigung der venösen Drainage und arteriellen Durchblutung von Retina und Sehnerv mit konsekutiver Ischämie und Visusminderung [9]. Unbehandelt kann eine vollständige Amaurose des betroffenen Auges die Folge sein [10]. Anhand dieser Kasuistik wird die Akutbehandlung des Kompartmentsyndroms der Orbita durch laterale Kanthotomie und inferiore Kantholyse erläutert.
Fallvorstellung
Anamnese
Eine 61-jährige Patientin wurde nach einem Bagatelltrauma durch den Rettungsdienst in der Notaufnahme des Bundeswehrkrankenhauses (BwKrhs) Westerstede vorgestellt. Beim Übergabegespräch war zu erfahren, dass sie beim Aussteigen aus einem Taxi unglücklich gestürzt und frontal auf das Gesicht gefallen sei. Der GCS sei zu jeder Zeit 14 gewesen und die Patientin habe das Bewusstsein nicht verloren. Zum Sturzereignis selber könne sie keine Angaben machen. Die Kreislaufparameter waren stabil.
Aufnahmeuntersuchung
Die alkoholisierte Patientin war nur zur Person orientiert und zeigte sich unkooperativ. Der GCS betrug unverändert 14. Links fronto-temporal bestand eine kleine Riss-Quetsch-Wunde mit einer nicht unerheblichen venösen Sickerblutung aus dem Skalp. Darüberhinaus imponierten ausgeprägte periorbitale Hauteinblutungen links. Weitere äußere Verletzungszeichen an Neuro- und Viscerokranium ließen sich nicht nachweisen. Die Pupillen waren isokor und eng sowie direkt und konsensuell lichtreagibel. Die Okulomotorik war regelrecht. Eine Fazialisparese bestand nicht, ebenfalls ergab sich kein Anhalt für eine Hemiparese oder -hypästhesie. Der übrige Body-Check durch die diensthabende Ärztin der Unfallchirurgie war unauffällig.
Röntgen- und Labordiagnostik
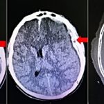
Neuro- und Viscerokraniums sind im Weichteil- (a) und Knochenfenster
(b) abgebildet. In Abb. 1a ist das Ausmaß des intraorbitalen
Hämatoms (rote Markierung) nachvollziehbar. Der maximale
koronare Durchmesser des Hämatoms lag bei 8 mm. Abb. 1b zeigt die
Frakturen von Orbitadach und -boden sowie Seitenwand des Sinus
maxillaris links (rote Kreise). Darüberhinaus erkennt man den
Hämatosinus maxillaris links. (Bild: BwKrhs Westerstede, FU-Stelle
8 – Radiologie)
In der CT-Untersuchung des Neuro- und Viscerocraniums sowie der Halswirbelsäule konnte eine gering dislozierte Mittelgesichtsfraktur mit Beteiligung der lateralen Wand des Sinus maxillaris links, des Orbitadachs und Orbitabodens links nachgewiesen werden (Abbildung 1b). Es imponierte darüberhinaus ein intraorbitales, raumforderndes, vermutlich subperiostales Hämatom entlang des Orbitadachs links mit einer maximalen Ausdehnung bis auf 8 mm und konsekutivem Exophthalmus (Abbildung 1a). Ferner konnte ein begleitender Hämatosinus maxillaris links nachgewiesen werden. Darüberhinaus zeigte sich eine Fraktur des Proc. frontalis des Os zygomaticum sowie eine Fraktur des Arcus zygomaticus. Intrakraniell konnten eine kleine Kontusionsblutung und ein Suduralhämatom links temporopolar ohne relevante Raumforderung diagnostiziert werden.
Laborchemisch konnte ein Blutalkoholgehalt von 3,7 ‰ nachgewiesen werden. Die Gerinnungsparameter (Quick/Interna-tional Normalized Ratio (INR), Partielle Thromboplastinzeit (PTT) und Thrombozytenzahl) waren normwertig.
Reevaluation
Im Rahmen der klinischen Verlaufsbeurteilung nach Abschluss der bildgebenden Diagnostik und einem Zeitintervall von etwa 20 min imponierte nun eine Anisokorie links > rechts sowie eine Protrusio bulbi links. Es bestand eine afferente Störung der Pupillomotorik links mit erhaltener konsensueller Lichtreak-tion. Darüberhinaus zeigte sich bei der Prüfung der Okulomotorik eine linksseitige Adduktionsschwäche. Der Bulbus war im Seitenvergleich prall tastbar. Es bestand eine Amaurose des linken Auges. Die Diagnose eines orbitalen Kompartmentsyndroms und Indikation zur lateralen Kanthotomie wurden gemeinsam mit den ärztlichen Kollegen der später weiterbehandelnden Universitätsklinik für Hals-Nasen-Ohren-Heilkunde der Carl von Ossietzky Universität Oldenburg gestellt.
Therapie und weiterer Verlauf
Die laterale Kanthotomie erfolgte im Schockraum des BwKrhs Westerstede. Unmittelbar im Anschluss wurde die Patientin in Begleitung der bereitstehenden Notärztin zur definitiven Dekompression der Orbita in die Universitätsklinik für Hals-Nasen–Ohren-Heilkunde der Carl von Ossietzky Universität Oldenburg verlegt. Hier war sie zunehmend ansprechbar und kooperativ. Das linke Auge war ödematös zugeschwollen, es bestand ein deutliches Monokelhämatom. Bei Zustand nach lateraler Kanthotomie zeigte sich prolabiertes Orbitafett im lateralen Lidwinkel. Es bestand jedoch weiterhin eine leichte Protrusio bulbi mit einem im Seitenvergleich prall tastbaren linken Bulbus. Ein Anhalt für eine perforierende Bulbusverletzung bestand nicht.
Die grobe Visusüberprüfung ergab weiterhin „nulla lux“ auf dem linken Auge. Eine klinische Überprüfung der Bulbusmotilität zeigte leichte Einschränkungen beim Aufwärtsblick. Bei der Beurteilung des N. opticus im CT ergaben sich weder Anhalte für Kontinuitätsunterbrechungen des Nerven noch auf dislozierte Knochenfragmente im Optikuskanal oder Kaliberunterschiede des Nerven im Seitenvergleich als indirektes Zeichen für ein mögliches Optikusscheidenhämatom. Es wurde die Indikation zur mikroskopisch/endoskopischen, endonasalen Dekompression der Orbita gestellt. Dies erfolgte durch Abtragung der Lamina orbitalis des Os ethmoidale und des medialen Anteils des frakturierten Orbitabodens („2-Wand-Dekompres-sion“) mit anschließender Schlitzung der Periorbita. Das intraorbitale Hämatom lag subperiostal und wurde zusätzlich über einen medialen Orbitarandschnitt entlastet. Postoperativ erfolgte tägliche Nasenpflege sowie die weitere Gabe von Prednisolon i. v. in täglich absteigender Dosierung.
Bei der augenärztlichen Kontrolluntersuchung am Entlasstag 5 Tage postoperativ bestand weiterhin eine Amaurose des linken Auges. Im Rahmen einer weiteren ophthalmologischen Kontrolluntersuchung 5 Monate nach dem Sturzereignis wurden eine posttraumatische Optikusatrophie mit Zentralskotom und ein Visus von 1/50 diagnostiziert. Die afferente Störung der Pupillomotorik war weiterhin nachweisbar.
Diskussion
Prävalenz des orbitalen Kompartmentsyndroms im Einsatz
Mittelgesichtsverletzungen sind in bis zu 91 % der Fälle mit ophthalmologischen Begleitverletzungen assoziiert von denen rund 13 % schwerwiegend sind [4]. Das orbitale Kompartmentsyndrom zählt zu diesen schwerwiegenden Komplikationen des Mittelgesichtstraumas. Verletzungen des Neuro- und Viscerokraniums sowie der Halsregion sind nach den Extremitätenverletzungen die zweitgrößte Gruppe von Verletzungen, mit denen Militärärzte im Auslandseinsatz konfrontiert werden. In einem systematischen Review von TONG et al. wird dies zum Einen auf den zunehmenden Schutz von Thorax und Abdomen vor penetrierenden, nicht mit dem Leben zu vereinbarenden Verletzungen, und zum Anderen auf den zunehmenden Einsatz von IEDs (improvised explosive devices) mit Verletzungen durch Fragmente der Sprengsätze zurückgeführt [16].
Da bei bis zu 25 % aller Einsatzverletzungen begleitende Augenverletzungen vorliegen, hatten GÜMBEL et al. im Jahr 2014 auf die Bedeutung der Ophthalmochirurgie für die Bundeswehr hingewiesen [6]. Eine Auswertung des Joint Theater Trauma Registry (JTTR) über den Zeitraum 2001 – 2011 zeigte, dass es dabei im 5 % aller Einsatzverletzungen mit Augenbeteiligung zur Ausbildung eines orbitalen Kompartmentsyndroms kommt. BURNS und DELELLIS fanden zwischen 2003 und 2008 im JTTR 146 Fälle. Dieses war Anlass, die Ausbildung der Special Operations Combat Medics (SOCM) in der Notfallbehandlung von Augenverletzungen einschließlich der Durchführung der lateralen Kanthotomie zu empfehlen [3]. Angaben zur Prävalenz des orbitalen Kompartmentsyndroms bei Einsatzverletzten der Bundeswehr sind bisher nicht systematisch in einer Trauma Registry zusammengetragen worden.
Diagnostik und Therapie des orbitalen Kompartment-syndroms im Einsatz
Die Diagnose des orbitalen Kompartmentsyndroms kann und muss im militärischen Einsatzgebiet klinisch gestellt werden, da bildgebende Verfahren in der Regel nicht zeitgerecht flächen-deckend zur Verfügung stehen. Die Anamnese eines Mittelgesichtstraumas zusammen mit periorbitalen Hauteinblutungen, einer Protrusio bulbi mit palpabler Verhärtung des Bulbus sowie eine gestörte Pupillo- und Okulomotorik mit Visusminderung reichen aus, um die Diagnose eines orbitalen Kompartmentsyndroms zu vermuten [2]. In diesem Fall sollte eine umgehende Dekompression der Orbita erfolgen [14]. Im Falle einer offensichtlichen Bulbusperforation sollte jedoch jede Manipulation an Ober- und Unterlid sowie am Bulbus oculi unterbleiben, um ein Austreten von Bulbusinhalt zu vermeiden. In diesem Fall ist ein steriler Augenverband anzulegen. Auf die laterale Kanthotomie ist unter diesen Umständen zu verzichten [2].
Laterale Kanthotomie und inferiore Kantholyse
Zur Drainage und Druckentlastung des Retrobulbärraums sind die laterale Kanthotomie und inferiore Kantholyse als Notfallmaßnahmen Mittel der Wahl.
Kantholyse: Zunächst wird eine Lokalanästhesie des lateralen
Lidwinkels durchgeführt (a). Nach Retraktion von Ober- und Unterlid
durch zwei stumpfe Haken erfolgt die Inzision des lateralen Lidwinkels
bis an den lateralen Orbitapfeiler (b). Das darunter liegende Lig.
palpebrale laterale kommt zur Darstellung und wird senkrecht zum
Verlauf der Fasern des Crus inferior des Lig. palpebrale laterale
inzidiert (c). Periorbitales Fett prolabiert durch das Septum orbitale in den Situs (d).
Hierzu erfolgt zunächst die Desinfektion der Regio orbitalis mit einem Schleimhaut-Antiseptikum. Anschließend wird das betroffene Auge mit einem Lochtuch abgedeckt und kräftig mit 0,9 % NaCl-Lösung gespült. Es erfolgt eine Lokalanästhesie mit 0,5 % Bupivacain und 0,0005 % Epinephrin. Dazu wird eine Nadel von medial in den lateralen Kanthus eingebracht (Abbildung 2a). Darüberhinaus ist beschrieben, den lateralen Kanthus für 60 sec zwischen die Branchen einer Gefäßklemme zu klemmen, um die Hämostase zu fördern [2]. Ober- und Unterlid werden dann durch zwei stumpfe Haken leicht eleviert und retrahiert. Im Anschluss erfolgt die laterale Kanthotomie durch Einschneiden des lateralen Augenwinkels bis an den lateralen Orbitapfeiler (Abbildung 2b). Dazu sollte eine abgerundete Präparierschere verwendet werden, um die Integrität des Bulbus nicht zu gefährden. Durch Aufspannen des Zugangs und Retraktion des Unterlids nach unten wird das darunter liegende Lig. palpebrale laterale als Verdickung des Septum orbitale sichtbar. Es erfolgt nun die inferiore Kantholyse durch Inzision des Crus inferior des Lig. palpebrale laterale (Abbildung 2c). Das Unterlid ist nun von seiner Aufhängung am lateralen Orbitapfeiler getrennt und periorbitales Fett prolabiert in den Zugang (Abbildung 2d). Ein steriler Augenverband wird angelegt.
Die laterale Kanthotomie mit inferiorer Kantholyse ist eine sichere und effektive Maßnahme zur notfallmäßigen Dekompression der Orbita beim orbitalen Kompartmentsyndrom und sollte innerhalb der ersten 120 min nach Auftreten einer Visusminderung erfolgen, um einen bleibenden Sehverlust zu vermeiden [2, 14].
Komplikationen des Eingriffs sind selten, da die Glandula und Arteria lacrimalis sowie die Aponeurose des M. levator palpebrae oberhalb des Operationszugangs liegen [2]. Eine intravenöse Therapie mit Prednisolon 500 mg, Mannitol 1 g / kg KG und Acetazolamid 500 mg sollte bereits präoperativ initiiert werden [13]. Sowohl Mannitol als auch Acetazolamid senken den Augeninnendruck und ermöglichen infolgedessen eine Verbesserung der Perfusion des Auges.
Bei den US-Streitkräften haben die Erkenntnisse zur Häufigkeit von begleitenden Augenverletzungen zur Entwicklung eines Behandlungsleitfadens für fachfremde Ärzte geführt [8]. Aus dem Sanitätsdienst der Bundeswehr hat GÜMBEL einen Handlungsleitfaden zur Diagnostik und Erstversorgung von Augennotfällen inklusive des Retrobulbärhämatoms verfasst [7].
Bewertung des vorgestellten Falls
Im vorliegenden Fall kam es infolge eines Bagatelltraumas zu einer Mittelgesichtsverletzung mit Beteiligung des nasomaxillären und zygomaticoorbitalen Komplexes sowie der Frontobasis. Auf dem Boden der Orbitadachfraktur kam es dann mutmaßlich zu einer Blutung aus der A. supraorbitalis. Durch die progrediente Raumforderung des Hämatoms entwickelte sich ein orbitales Kompartmentsyndrom. Vor der Verlegung zur definitiven Versorgung in eine Klinik für Hals-Nasen-Ohren-Heilkunde war eine umgehende Dekompression der Orbita durch eine Kanthotomie erforderlich. Trotz Einleitung der geeigneten Behandlungsmaßnahmen kam es infolge einer multifaktoriell bedingten, verzögerten Diagnosestellung (Alkoholintoxikation und unzureichende Kooperation der Patientin, fehlende ophthal-mologische Kompetenz im Schockraum) nur zu einem unbefriedigenden Ergebnis mit nahezu vollständigem Visusverlust.
Die Lokalisation des Hämatoms innerhalb der Orbita sollte das weitere chirurgische Vorgehen bestimmen. Eine Entlastung des subperiostalen Hämatoms unterhalb des Orbitadachs über eine anteriore Orbitotomie hätte in diesem Fall möglicherweise zielführender sein können [11].
Fazit für den Sanitätsdienst
Diese vorgestellte Kasuistik zeigt beispielhaft, dass man als Arzt in der Notfallaufnahme mit dem klinischen Bild eines orbitalen Kompartmentsyndroms konfrontiert werden kann. Auch in Deutschland ist es dabei innerhalb der Maximalzeit von 120 min bis zur Entlastung des Retrobulbärraums nicht immer möglich, eine fachärztliche Behandlung sicherzustellen. Ärzte mit Erfahrung auf dem Gebiet der Orbitachirurgie sind im Auslandseinsatz in der Regel in einer übergeordneten Versorgungseinrichtung (Role 3) eingesetzt. Selbst eine luftgebundene Verlegung des Patienten in eine Role 3-Versorgungseinrichtung ist oftmals nicht innerhalb von 120 min möglich. Deshalb muss die laterale Kanthotomie und inferiore Kantholyse zur notfallmäßigen Dekompression der Orbita im Einsatzgebiet durch den Rettungsmediziner oder Einsatzchirurgen eines Forward Surgical Teams erfolgen. Das Training dieser im Notfall durchzuführenden Dekompression der Orbita sollte Einzug in die Kurse zur Vorbereitung unserer Ärzte für den Auslandseinsatz finden. In jedem Fall sollten Rettungsmediziner und Einsatzchirurgen auf die Möglichkeit ophthalmologischer Begleitverletzungen im Rahmen von Mittelgesichtstraumata aufmerksam gemacht werden.
Kernaussagen
- Das orbitale Kompartmentsyndrom ist eine Komplikation des Mittelgesichtstraumas und kann zu einer Ischämie des N. opticus und der Retina führen. Klinische Zeichen sind hierbei ein starker Visusverlust, das Fehlen oder die deut-liche Verlangsamung der direkten Lichtreaktion der Pupille und der steinharte Bulbus oculi.
- Die frühzeitige, innerhalb von 120 Minuten durchgeführte, laterale Kanthotomie mit inferiorer Kantholyse ist die Therapie der Wahl zur notfallmäßigen Dekompression der -Orbita; eine unterstütztende Therapie mit Acetazolamid, Mannitol und Prednisolon sollte bereits präoperativ initiiert werden.
- Zur definitiven Therapie ist eine weitere Dekompression der Orbita, z. B. durch endonasale 2-Wand-Dekompression mit anschließender Schlitzung der Periorbita erforderlich; subperiostal gelegene Hämatome können über eine Orbitotomie von außen entlastet werden.
- Insbesondere bei bewusstlosen Patienten mit Verletzungszeichen im Bereich des Gesichtsschädels ist auf die Symptome eines orbitalen Kompartmentsyndroms zu achten.
- Einsatzchirurgen und Rettungsmediziner sollten in der Lage sein, eine laterale Kanthotomie und inferiore Kantholyse durchzuführen.
Literatur
- Ahnood D, Toft PB: Recurrent orbital compartment syndrome caused by a blow-out fracture and accumulation of air; management by orbital punctures. Acta Ophthalmol. 2012; 90: 199 – 200.
- Ballard SR, Enzenauer RW, O’Donnell T, Fleming JC, Risk G, Waite AN: Emergency lateral canthotomy and cantholysis: a simple procedure to preserve vision from sight threatening orbital hemorrhage. J. Spec. Oper. Med. 2009; 9: 26 – 32.
- Burns G, DeLellis S: Lateral Canthotomy in Orbital Compartment Syndrome: Special Operations Medics Can Save the Eye. J. Spec. Oper. Med. 2008; 8: 54 – 57.
- Dutton GN, al-Qurainy I, Stassen LF, Titterington DM, Moos KF, el-Attar A: Ophthalmic consequences of mid-facial trauma. Eye 1992; 6: 86 – 89.
- Graß S: Intraorbitale Blutungen, in: Welkoborsky HJ, Wiechens B, Hinni ML (Eds.), Orbita, 1. Auflage, Georg Thieme Verlag 2015. https://eref.thieme.de/referenz-webapp/ebooks/1303157#/ebook_1303157_SL55704156 (accessed October 25, 2016).
- Gümbel H, Weinand F, Lipke K: Wieviel Augenheilkunde braucht die Bundeswehr? Wehrmedizinische Monatsschrift 2015; 4: 106 – 109.
- Gümbel H: Augennotfälle, in: Neitzel C, Ladehof K (Eds.): Taktische Medizin, 1. Auflage, Springer-Verlag 2015; 295 – 300.
- Joint Theater Trauma System Clinical Practice Guideline: Initial Care of Ocular and Adnexal Injuries by Non Ophthalmologists, (n.d.). https://www.east.org/content/documents/MilitaryResources/a/Initial_Care_of_Ocular_and_Adnexal_Injuries_7_Mar_12.pdf (accessed March 19, 2017).
- Kraft T: Intraorbitale Druckerhöhungen, in: Welkoborsky HJ, -Wiechens B, Hinni ML (Eds.): Orbita, 1. Auflage, Georg Thieme Verlag 2015. https://eref.thieme.de/referenz-webapp/ebooks/-1303157-#/–ebook_1303157_SL55701187 (accessed October 25, 2016).
- Medina FM, Pierre Filho Pde T, Freitas HB, Rodrigues FK, Caldato R: Blindness after cosmetic blepharoplasty: case report. Arq. Bras. Oftalmol. 2005; 68: 697 – 699.
- Nerad JA: Techniques in Ophthalmic Plastic Surgery: A Personal Tutorial, 1st ed. Saunders 2010; 231.
- Otto AJ, Koornneef L, Mourits MP, Deen-van Leeuwen L: Retrobulbar pressures measured during surgical decompression of the orbit. Br. J. Ophthalmol. 1996; 80: 1042 – 1045.
- Perry M, Dancey A, Mireskandari K, Oakley P, Davies S, Cameron M: Emergency care in facial trauma—a maxillofacial and ophthalmic perspective. Injury 2005; 36: 875 – 896.
- Sun MT, Chan WO, Selva D: Traumatic orbital compartment syndrome: importance of the lateral canthomy and cantholysis. Emerg. Med. Australas. 2014; 26: 274 – 278.
- Teasdale G, Jennett B: Assessment of coma and impaired consciousness. A practical scale. Lancet 1974; 2: 81 – 84.
- Tong D, Beirne R: Combat body armor and injuries to the head, face, and neck region: a systematic review. Mil. Med. 2013; 178: 421 – 426.
Danksagung: Wir bedanken uns bei Frau Malin Johanna Lammers für die Anfertigung der Zeichnungen und bei Colonel Jeffery M. Cleland, US Army Medical Command – Institute of Surgical Research, San Antonio, Texas –, für die Übermittlung der Daten aus dem Joint Theater Trauma Registry.
Zitierweise:
Duda S, Klein M, Zabel M, Stumper J: Laterale Kanthotomie und inferiore Kantholyse zur Behandlung des orbitalen Kompartmentsyndroms – Fallbericht und Bewertung der wehrmedizinischen Relevanz. Wehrmedizinische Monatsschrift 2017; 61(6): 173 – 177.
Citation:
Duda S, Klein M, Zabel M, Stumper J: Lateral canthotomy and inferior cantholysis for treatment of orbital compartment syndrome – case report and evaluation of relevance for military medicine. Wehrmedizinische Monatsschrift 2017; 61(6): 173 – 177.
Für die Verfasser:
Stabsarzt Dr. Sven Duda
Abteilung für Neurochirurgie
Bundeswehrkrankenhaus Westerstede
Lange Straße 38, 26655 Westerstede
E-Mail: [email protected]
Datum: 06.08.2017
Quelle: Wehrmedizinische Monatsschrift 2017/7





