Erneut wurde im BundeswehrZentralkrankenhaus (BwZKrhs) Koblenz eine abgetrennte Hand erfolgreich replantiert. Dies war die zweite erfolgreiche Makroreplantation innerhalb von zwei Jahren. Für das Ärzteteam und das Assistenzpersonal sind solche Operationen und deren Nachbehandlung stets eine Herausforderung. Viele Voraussetzungen müssen erfüllt sein, damit eine Replantation erfolgreich verläuft.
Bereits zum zweiten Mal ist es einem Operationsteam der Klinik für Orthopädie und Unfallchirurgie, Hand- und Wiederherstellungschirurgie im BwZKrhs Koblenz gelungen, eine seltene chirurgische Herausforderung zu meistern. Weil die abgetrennte Hand eines Waldarbeiters keine schweren Quetschverletzungen aufwies und sofort nach der Amputation mit dem Patienten in die Notaufnahme gebracht wurde, war die aufwändige Operation möglich. Im aktuellen Fall wurde die Hand bei einem Arbeitsunfall durch einen hydraulischen Holzspalter abgetrennt. Bei dieser Maschine wird ein Metallkeil mit großer Kraft bewegt, um Baumstämme zu zerkleinern. Durch ein Versehen geriet die Mittelhand des Waldarbeiters in den Holzspalter. Dabei durchtrennte dieser die gesamte Hand. Ein Rettungshubschrauber flog den Patienten und das korrekt verwahrte Amputat anschließend in das BwZKrhs nach Koblenz.
Die Operation
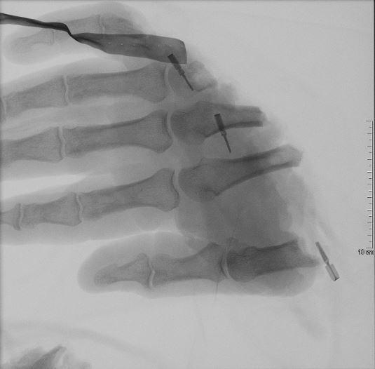
Nach der Aufnahme des Verletzten über den Schockraum mit einer ersten Sichtung der abgetrennten Hand, schloss sich umgehend die operative Versorgung an: Durch eine neunstündige Notfalloperation konnte die Hand erfolgreich wieder angesetzt werden. Hierzu sind spezielle Voraussetzungen erforderlich. Neben dem Vorhandensein eines Operationsmikroskops, welches das OP-Gebiet um ein Vielfaches vergrößern kann, sind mikrochirurgische Erfahrungen des Operateurs wesentlich. Zunächst wird die abgetrennte Gliedmaße im Bereich der Knochen mit einfachen, schnellen Methoden während der „Damage Control Surgery“ mit dem Körper verbunden. Dann schließen sich längere Zeiträume unter dem Operationsmikroskop an, um schnellstmöglich zuerst die durchtrennten Arterien wieder zu vereinigen, damit die Durchblutung der abgetrennten Gliedmaße wiederhergestellt ist. Der Zeitraum zwischen Unfall bis zur Wiederherstellung der Durchblutung sollte sechs Stunden nicht überschreiten. Anschließend werden die Sehnen und Nerven sowie abschließend die Venen genäht. Dieser letzte Operationsschritt mit Naht der Venen ist mit einer der wichtigsten Schritte der gesamten Operation. Neben einem Bluteinstrom muss auch immer der Blutausstrom gewährleistet sein, da es ansonsten trotz perfekten Anschlusses zu einem Absterben des Replantates kommen kann. An eine erfolgreiche Replantation schließt sich dann eine aufwändige Überwachungsphase von etwa einer Woche mit anfänglich stündlichen Kontrollen der abgetrennten Gliedmaße an, um zeitnah bei etwaigen Problemen reagieren zu können. Zusammenfassend lässt sich sagen, dass je stumpfer oder gequetschter die Amputationsstellen sind, sich die Erfolgsaussichten dieser Operation umso schwieriger oder unmöglich gestalten. Im aktuellen Fall lagen günstige Voraussetzungen für eine erfolgreiche Replantation vor, so dass davon auszugehen ist, dass die Hand nach einiger Zeit zumindest wieder eingeschränkt einsetzbar ist.
Die Nachbehandlungsphase
Der hier behandelte Arbeitsunfall wird im sogenannten berufsgenossenschaftlichen Heilverfahren geführt. Das BwZKrhs ist darin für die höchste Behandlungsstufe, das Schwerstverletztenverfahren der Deutschen Gesetzlichen Unfallversicherung zugelassen, so dass solche Verletzungen mit der Erfordernis komplexer Therapiemöglichkeiten wie im vorliegenden Fall, fachlich uneingeschränkt versorgt werden können. An eine erfolgreiche Replantation schließt sich eine mehrere Monate andauernde Nachbehandlungsphase an. Es ist eine intensive ergo- und krankengymnastische Übungsbehandlung mit speziellen Bewegungsschienen erforderlich, um eine adäquate Fingerbeweglichkeit zu ermöglichen. Am längsten dauert die Regeneration der durchtrennten Nerven. Hier ist erst nach Monaten zu erkennen, ob eine ausreichende Schutzsensibilität in die abgetrennte Gliedmaße zurückkehrt. Im Optimalfall lässt ein frühes „Kribbeln“ in der Hand darauf schließen, dass sich die Nerven erholen. Dies war hier erfreulicherweise der Fall. Der Patient ist zwischenzeitlich entlassen und befindet sich in der Phase der intensiven ergotherapeutischen Nachbehandlung. Er wird regelmäßig im BwZKrhs gesehen und der regelrechte Verlauf überwacht. In welchem Umfang Tastsinn, Schmerz-, Kälte- oder Wärmeempfinden und Bewegungen wiederhergestellt werden können, kann zum jetzigen Zeitpunkt nicht sicher vorausgesagt werden. Die Ärztinnen und Ärzte sind jedoch in Bezug auf eine weitgehende Genesung sehr zuversichtlich. Das Wiedererlangen der vollen, uneingeschränkten Funktionsfähigkeit nach diesen sogenannten „Makroreplantationen“ ist eher die Ausnahme, liegt aber auch im Bereich des Möglichen.
Information
Nach einer Amputation sollten die abgetrennten Körperteile möglichst in ein sauberes Tuch gewickelt werden. Anschließend wird das Amputat in einer wasserdichten Tüte verwahrt. Diese Tüte wird dann in eine weitere Tüte mit kaltem Wasser gelegt (gegebenenfalls Eiswasser). Das Amputat darf auf keinen Fall direkt mit Eis in Berührung kommen, da in diesem Fall Erfrierungen eintreten, die die Erfolgsaussichten der Replantation stark mindern. Ebenso wenig darf das Amputat direkt in Flüssigkeiten eingelegt werden.
kontakt:
Presse- und Informationszentrum des Sanitätsdienstes der Bundeswehr
Telefon: 0261 896 13103
[email protected]








