Optimiertes Weichgewebemanagement – jetzt neu:
Formdefinierte PEEK Gingivaformer und Abformpfosten von DEDICAM®
MehrCamlog ergänzt Biomaterialportfolio um CeraOss® HYA – ein Kombi-Transplantat
Camlog führt CeraOss® HYA mit der innovativen Kombination aus bovinem Knochenersatzmaterial und Hyaluronsäure in den Markt ein.
MehrErfolgreiche Implantatversorgung trotz ungünstiger Umstände
Der vorliegende Artikel nimmt Bezug auf eine Fallbeschreibung über einen nicht ganz alltäglichen (Implantat-)Fall eines Reservisten, die 2020 in Wehrmedizin und Wehrpharmazie erschien (vergleiche Schiller/Neblung,…
MehrDas iSy® Implantat jetzt auch mit gestecktem Einbringpfosten
Camlog hat zum 1. Februar 2024 das bewährte iSy® Implan- tatsystem um eine zusätzliche Version erweitert.
MehrImplantologie- und Chirurgie-Motoren: So einfach wie nie
Die Implantologie ist eine anspruchsvolle Disziplin. Um Ihnen und Ihren Patienten höchsten Komfort zu bieten, entwickelt Bien-Air leistungsstarke Systeme, die nichts dem Zufall überlassen.
MehrStraumann feiert 70 Jahre Exzellenz und Innovation
Straumann, die führende Marke der Straumann Group – einer der größten Implantathersteller der Welt – ist stolz auf ihr 70-jähriges Bestehen.
Mehr25 Jahre Camlog – der Jubiläumskongress
Camlog feiert in diesem Jahr 25-jähriges Bestehen und veranstaltet am 13. und 14. September 2024 den Jubiläumskongress #25JahreCamlog im Motorworld Village Metzingen.
MehrAxiom X3® TL, die X3-Innovation in der Tissue Level-Version
Axiom X3® TL ist das neueste Implantat der Axiom®-Reihe von Anthogyr, einem französischen Unternehmen der Straumann Group.
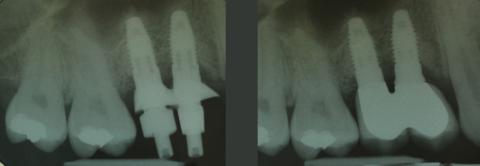
MehrDentale Implantate im Oberkieferseitenzahnbereich: Komplikationsmanagement bei der Sinusbodenelevation
Eine Therapieoption anhand einer Falldarstellung mit Recall über 12 Jahre
MehrBioHorizons Camlog präsentiert neue Perspektiven im gesteuerten Knochenaufbau auf dem diesjährigen EAO-Kongress in Berlin
Das Unternehmen präsentiert sein umfassendes Portfolio aus Biomaterialien und Implantatsystemen und bietet Workshops zu Knochenregeneration und zum Konzept der offenen Einheilung in der modernen Implantologie…
MehrMinerOss A® das allogene Knochenersatzmaterial von Camlog
Mit der Integration humaner Knochenersatzmaterialen in das bestehende Portfolio regenerativer Biomaterialen bietet Camlog eine umfassende Produktpalette für nahezu alle Anforderungen zur Regeneration von Hart- und…
MehrCamlog Implantatpreise bleiben eingefroren
Die Camlog Vertriebs GmbH verlängert die seit dem Jahr 2020 geltende Preisgarantie auf Implantate bis zum 30. April 2024. CAMLOG®, CONELOG® und iSy® Implantatpreise sind…
MehrDentale Implantate zum Ersatz parodontal geschädigter Zähne im Oberkieferseitenzahnbereich
Eine mögliche Vorgehensweise anhand einer Falldarstellung mit Recall über 14 Jahre
MehrDas innovative Zi Ceramic Implant System für Sofortversorgungen
Die Straumann Group führte im Herbst 2022 mit dem Zi Ceramic Implant System von Neodent® ein innovatives Keramikimplantat auf den deutschen Markt ein, welches den…
MehrMehr meistern mit Mentoring
Straumann Group startet mit „2grow“ neues Ausbildungsprogramm für Zahnärztinnen und Zahnärzte.
MehrFortbildungsprogramm 2023
Im CAMPUS Fortbildungsmagazin stellt die Straumann Group das Exzellenzprogramm „2grow“ vor. Es vereint Mentoring, Coaching, Supervision und Hospitation in sich.
MehrStraumann unterstützt BVZP als Industriepartner
Seit Oktober unterstützt Straumann den Bundesverband zahnärztlicher Fachkräfte in der Prävention, BVZP e.V., als Industriepartner.
MehrGuided surgery Lösung von Anthogyr
Das neue INTEGRAL Guided surgery Instrumentenset von Anthogyr, eine global agierende Marke der Straumann Group, ermöglicht vollständig geführte implantatchirurgische Verfahren.
MehrCamlog verlängert Preisgarantie auf Implantate
Camlog gibt bekannt, dass das Unternehmen garantiert, die Preise der CAMLOG®, CONELOG® und iSy® Implantate bis mindestens 30. September 2023 in Deutschland stabil zu halten…
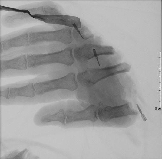
MehrReplantation – Abgetrennte Hand erfolgreich angenäht
Erneut wurde im BundeswehrZentralkrankenhaus (BwZKrhs) Koblenz eine abgetrennte Hand erfolgreich replantiert.
MehrTRÄUME UND REALITÄT – BEHANDLUNGSKONZEPTE UND TRENDS
INTERNATIONALES SYMPOSIUM 2022 | 13.–15. OKTOBER 2022 | MÜNCHEN, DEUTSCHLAND
MehrExklusive Website für Zahnmediziner in der Bundeswehr
Seit über 30 Jahren ist Straumann Partner der Bundeswehr. Partner zu sein bedeutet nicht nur hochqualitative, innovative und verlässliche Produkte global zur Verfügung zu stellen.
MehrEin Auftragsportal für alle Fälle: der DEDICAM® eService
Mit der Produktmarke DEDICAM bietet Camlog einen verlässlichen Servicepartner für digitale implantologische Versorgungskonzepte.
MehrAnatomisch ausgeformtes Weichgewebe mit individuellen PEEK Gingivaformern und Abformpfosten
Sowohl Behandler als auch Patienten haben hohe Anforderungen an die moderne Implantattherapie.
MehrCamlog erweitert Biomaterialien-Portfolio
Camlog erweitert sein Portfolio an regenerativen Produkten und bietet seit November 2021 vier weitere Biomaterialien an: SynMax®, PermaPro®, Argonaut® und CeraOss®.
MehrTissue Level Implantate – next level
Mit dem neu entwickelten Tissue-Level-Implantatsystem TLX von Straumann, das für eine hohe Primärstabilität konzipiert ist, lassen sich auch in anspruchsvollen Fällen moderne Sofortversorgungskonzepte im Seitenzahnbereich…
Mehr
































































































