A quite extraordinary cause of penetrating thorax trauma:
High pressure injection injury of the left upper lobe with hydraulic fluid
Aus der Klinik für Allgemein-/Viszeral- und Thoraxchirurgie (Direktor: Prof. Dr. med. R. Schwab) des Bundeswehrzentralkrankenhauses Koblenz (Generalarzt Dr. med. M. Zallet)
Christof Schreyer, Arnulf Willms, Sebastian Schaaf, Robert Schwab
WMM, 59. Jahrgang (Ausgabe 8/2015; S. 244-248)
Originalarbeit
Zusammenfassung: Dieser Fallbericht beschreibt erstmals eine thorakale Penetrationsverletzung durch einen Hydraulikölstrahl. Dank unmittelbarer minimalinvasiver operativer Versorgung unter Verzicht auf Resektion von Lungengewebe konnte ein unkomplizierter Heilungsverlauf ohne funktionelles Defizit erreicht werden.
Zusammenfassung
Dieser Fallbericht beschreibt erstmals eine thorakale Penetrationsverletzung durch einen Hydraulikölstrahl. Dank unmittelbarer minimalinvasiver operativer Versorgung unter Verzicht auf Resektion von Lungengewebe konnte ein unkomplizierter Heilungsverlauf ohne funktionelles Defizit erreicht werden.
Hochdruckstrahlverletzungen betreffen häufig die Hände sowie Gesicht und Augen. Problematisch sind zum einen akute mechanische, toxische und thermische Gewebeschäden und zum anderen spätere Komplikationen durch Infektion, Vernarbung und Fremdkörperreaktionen. Aufgrund der oftmals unscheinbaren Eintrittswunden, die die darunter liegende Gewebeschädigung maskieren können, sind die umgehende operative Exploration, ein gründliches Wunddébridement sowie Drainageeinlage oder offene Wundbehandlung prognosebestimmend.
Schlüsselworte: Penetrierendes Thoraxtrauma, Hydrauliköl, Schussverletzung, VATS, minimalinvasive Chirurgie, Berufsunfall
Summary
For the first time we report a case of a thoracic high-pressure injection injury caused by hydraulic fluid. Due to immediate surgical intervention without resection of lung tissue the postoperative course was uneventful and no functional impairment persisted. Mostly, high-pressure injection injuries affect the hands and the oculofascial region. Acute tissue damage occurs due to the mechanical, toxic and thermal effects of the injected material and late complications are caused by infection, scarring/fibrosis and foreign body reaction. The entry wound is usually unimpressive and leads to underestimation of the actual tissue damage underneath. Hence, immediate surgical inspection, debridement and drainage or open wound therapy is mandatory to improve the prognosis.
Keywords: Penetrating thorax trauma, hydraulic fluid, bullet wound, VATS, minimally invasive surgery, industrial injury
Einleitung
Im Zuge der Industrialisierung begann 1795 mit dem von Joseph Bramah entwickelten hydromechanischen Antrieb der Einsatz hydraulischer Systeme im Maschinenbau. Auf Grund der damit möglichen Vervielfachung der Antriebskräfte ergab sich eine ungeahnte Effektivitätssteigerung im Arbeits- und Produktionsprozess, so dass die Hydrauliktechnik heute breite Anwendung bei allen Arten von Arbeitsmaschinen und Fahrzeugen findet.[1]
Soldaten der Bundeswehr sind tagtäglich bei Einsatz, Übung und Instandhaltung mit Hydrauliktechnik aller Art und den resultierenden Gefahren konfrontiert. Daher ist die Kenntnis von Verletzungsmechanismen, Pathophysiologie, möglicher Schädigungsmuster und Therapieprinzipien die Grundlage einer effektiven Behandlung und damit Voraussetzung für eine komplikationslose Rekonvaleszenz ohne Funktionsdefizit unter Erhaltung von Lebensqualität und Dienstfähigkeit des Soldaten / der Soldatin.
Das Statistische Bundesamt verzeichnete im Jahre 2013 1 307 Todesfälle durch Thoraxverletzungen (ICD S20-29), was einem Anteil von 0,5 % entspricht [2]. Mehrheitlich kommen stumpfe Thoraxtraumata vor. Lediglich 5 – 15 % entfallen auf penetrierende Thoraxtraumata [3]. Hochdruckstrahlverletzungen durch Flüssigkeiten und Gase sind generell selten und betreffen meist die obere Extremität. So kommt in etwa eine Hochdruckverletzung auf 600 Handverletzungen [4]. Meist sind Männer mit einem Durchschnittsalter von 35 Jahren betroffen [5]. In Deutschland ist das penetrierende Thoraxtrauma per se selten und insbesondere Hochdruckstrahlverletzungen des Brustkorbs bilden eine Rarität. Der vorliegende Fall beschreibt erstmals ein penetrierendes Thoraxtrauma durch einen Hydraulikölstrahl.
Fallbericht
Anamnese
Ein 17-jähriger Patient wurde intubiert, beatmet und kreislaufstabil durch den Rettungsdienst in den Schockraum eingeliefert. Zuvor kam es im Rahmen der Demontage der unter hohem Druck stehenden Hydraulikleitung eines Baggers durch den Verunfallten zu einem penetrierenden Thoraxtrauma nach Absprengung eines Ventilstücks.
Klinik
In der klinischen Untersuchung zeigte sich inspektorisch eine 4 x 3 cm große penetrierende Thoraxverletzung mit Verbrennungen II. Grades links parasternal (Abbildung 1) ohne feststellbare Austrittssverletzung am Rücken. Linksapikal war das Atemgeräusch vermindert, die Herztöne waren rein, rhythmisch und ohne pathologische Geräusche. Noch am Unfallort wurde eine Thoraxdrainage gelegt, die bis zur Aufnahme nur wenig venöses Blut gefördert hatte. Die Notfallsonographie (FAST[1]) und der Bodycheck im Rahmen des Primary Survey (ATLS®[2]) waren ansonsten unauffällig. Labordiagnostisch zeigten sich keine Auffälligkeiten, insbesondere kein Hb-Verlust und eine normwertige Gerinnung. Sämtliche Einzelteile des Ventils konnten am Unfallort asserviert werden, so dass die Verletzung allein durch das unter hohem Druck stehende Hydrauliköl verursacht worden war.
CT-Thorax
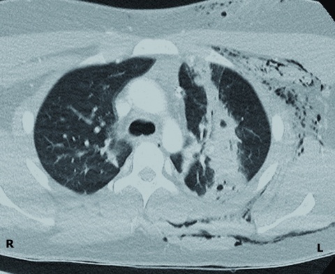
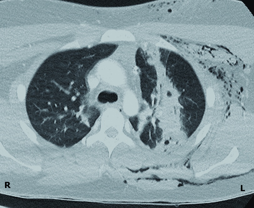
Die CT-Diagnostik zeigte eine sagittal verlaufende perforierende Verletzung des Lungenoberlappens links mit einer tiefreichenden Weichteilverletzung der ventralen Thoraxwand (Abbildung 2). Das Herz und die großen mediastinalen Gefäße waren unbeeinträchtigt. Ein Fremdkörper konnte auch CT-morphologisch ausgeschlossen werden.
Operative Therapie
Es wurde die Indikation zur notfallmäßigen Thorakoskopie (Video-Assisted Thoracic Surgery = VATS) links und zum Débridement im Bereich der Thoraxwand gestellt. Intrathorakal zeigten sich ein trübes, teils koaguliertes Gemisch aus Blut und Hydrauliköl sowie relevante Schmutzeinsprengungen mit Weichteilläsionen im Bereich der ventralen Eintrittswunde (Abbildung 3). Die dorsale Thoraxwand wies lediglich eine pleurale Läsion auf. Im linken Lungenoberlappen bestätigte sich die ventrodorsale Perforationsverletzung mit begleitender relevanter Einblutung, jedoch ohne Anhalt für eine aktive Blutung oder eine Fistelung (Abbildung 4).
In der Annahme, dass sich der Lungenoberlappen im Verlauf erholen würde und da das endgültige Ausmaß der Lappenschädigung durch das Hydrauliköl erst im Verlauf zu beurteilen war, wurden operativ primär ein ausgiebiges thorakoskopisches Débridement der Thoraxhöhle sowie ein Weichteildébridement durchgeführt. Nach einer ausgiebigen Lavage des Thorax wurde eine Thoraxdrainage (24 Charrier) neu angelegt und der Weichteildefekt unter Einlage einer Redon-Drainage schichtweise primär verschlossen.
In der Histologie wurden Anteile von Pleura parietalis, quergestreifter Muskulatur, Haut- und Unterhautgewebe mit jeweils frischen Nekrosen, florider Entzündungsreaktion sowie Einsprengungen faserigen schwärzlichen Fremdmaterials beschrieben.
Der postoperative Verlauf war unkompliziert, die Thoraxdrainage wurde am 8. postoperativen Tag entfernt; sie wurde in diesem Fall etwas länger als üblich belassen, um bei Zeichen einer infektiösen Komplikation schnellstmöglich mit einer Antibiose reagieren zu können. Der Patient konnte am 10. postoperativen Tag beschwerdefrei und mit gutem kosmetischem Ergebnis (Abbildung 5 und 6) entlassen werden. Eine Erwerbsminderung lag nach Abschluss der Rekonvaleszenz erfreulicherweise nicht vor.
Ergebnis der Literaturrecherche
Eine Medline gestützte Recherche mit Eingabe der Suchbegriffe „high-pressure injection injury“ erbrachte 369 Treffer. Die Mehrzahl publizierter Reviews und Case Reports behandelt Extremitätenverletzungen sowie vereinzelt okulofaziale Verletzungen. Es konnte kein Fallbericht einer thorakalen Penetra-tionsverletzung durch Hydrauliköl gefunden werden.
Diskussion
Dieser Fall beschreibt erstmals eine thorakale Penetrationsverletzung durch einen Hydraulikölstrahl. Im vorgestellten Fall zeigte sich neben der kutanen Verbrennung und der verschmutzten Eintrittswunde eine langstreckige Perforationsverletzung des linken Lungenoberlappens, ohne dass Fistelungen oder aktive Blutungen bestanden. Der restliche Oberlappen sowie der Unterlappen stellten sich als vollständig intakt dar. Es konnte auf ein resezierendes Verfahren verzichtet werden. Der Heilungsverlauf war unkompliziert, so dass keine funktionellen Einschränkungen und ein zufriedenstellendes kosmetisches Ergebnis resultierten.
Penetrierende Verletzungen durch unter Hochdruck stehende Flüssigkeiten oder Gase kommen, wie im vorliegenden Fall, als Arbeitsunfälle oder auch im Heimwerkerbereich vor [6]. Den Injektionsverletzungen gemein ist die oft kleine Eintrittswunde mit ausgedehnter darunter liegender Gewebeschädigung, die häufig zunächst unterschätzt wird, weshalb die Patienten nicht selten erst nach Tagen ärztlich vorstellig werden [6].
Aufgrund der zunächst okkulten Schäden und der späteren Komplikationen werden für Extremitätenverletzungen Amputationsraten von 15 – 40 % berichtet [5, 7]. Prognostisch relevant sind hierbei vor allem die Art des der injizierten Stoffes und die Dauer bis zum chirurgischen Débridement. Für Dieselkraftstoff und Lösungsmittel / Verdünner werden höhere Amputationsraten (55 – 70 %) als für Hydrauliköl (15 – 20 %) angegeben [5]. Hogan et al. wiesen in einer Metaanalyse nach, dass die Amputationsraten der Finger auf 58 % bzw. 88 % stiegen, wenn mehr als 6 h bis zur OP vergingen beziehungsweise gar nicht débridiert wurde [5]. Ein ähnlich linearer Zusammenhang wurde für das funktionelle Outcome und die Arbeitsfähigkeit beschrieben [6].
Hydraulikkreisläufe in Baumaschinen arbeiten mit Drücken zwischen 30 und 300 bar [8]. Der bei Unfällen resultierende Strahl ist also durchaus geeignet, gesunde Haut zu durchdringen. So berichten Hart et al., dass das Integument bereits ab einem Druck von 100 psi (etwa 7 bar) perforiert wird [9]. Wenn die Flüssigkeit die Cutis durchbrochen hat, breitet sie sich – dem Weg des geringsten Widerstands folgend – in der Subcutis, den Faszienlogen, der Skelettmuskulatur oder entlang von Sehnenscheiden in zentrifugaler Richtung aus [8, 10]. Zusätzlich erwärmt sich das Hydrauliköl im normalen Betrieb auf 60 – 80°C, wodurch Verbrennungen zusätzlich zur mechanischen Schädigung resultieren. Weiterhin muss grundsätzlich von einer bakteriellen Kontamination der Wunde ausgegangen werden. Daher sollte neben der aktiven bzw. passiven Tetanusimmunisierung eine Breitbandantibiose bedacht werden [6]. Hogan et al. wiesen in 41 % der Fälle eine bakterielle Kontamina-tion der Resektionspräparate und Wunden nach [5].
Die Gewebeschädigung verläuft typischerweise zweiphasig: Auf die akute Phase mit Nekrose und Infektion folgt eine chronische Phase mit Inflammation und Fremdkörperreaktion [11]. Die lokale Wirkung von Hydrauliköl und Schmierfetten ist überwiegend weniger toxisch als von Farben, Lösungsmitteln und Verdünner. Die initiale Nekrose ist weniger ausgeprägt und die chronische Phase zeigt überwiegend fibrosierende, granulomatöse Reaktionen und die Bildung abgegrenzter Ölzysten [4, 10].
Die einzige Therapie bei Injektion unphysiologischer Stoffe stellen das umgehende chirurgische Débridement, die ausgiebige Wundspülung mit isotonischer wässriger Lösung und die Einlage einer Wunddrainage dar [5, 6]. Das Resektionsausmaß hängt vom Befund, der Wundkonfiguration und dem injizierten Stoff ab. Bei unkomplizierten Stoffen wie Wasser (Hochdruckreiniger) und Luft (Kompressor) ohne Anhalt für eine relevante Kontamination kann auch eine primär konservative Therapie indiziert sein [12].
Von fetthaltigen bzw. öligen Agenzien geht im Rahmen der Hochdruckstrahlverletzung auch ein systemisches Risiko für eine Lipidpneumonie aus [13]. Harris et. al. berichten von einer inguinalen Verletzung durch eine Fettspritze, im Rahmen derer Schmierfett in die Leiste injiziert wurde und Anschluss an die V. femoralis fand. Einige Tage später wurde bei dem Patienten eine Lipidpneumonie mit respiratorischer Alteration diagnostiziert [13]. Dies unterstreicht die Gefahr, die äußerlich häufig recht unscheinbaren Verletzungen durch den Hochdruckstahl und den injizierten Stoff zu unterschätzen.
Literatur
- Backé W. Grundlagen der Ölhydraulik. Aachen: Institut für hydraulische und pneumatische Antriebe und Steuerungen der RWTH Aachen; 1974
- Statistisches Bundesamt . Todesursachenstatistik. https://www.gbe-bund.de/oowa921-install/servlet/oowa/aw92/WS0100/_XWD_PROC?_XWD_2/2/XWD_CUBE.DRILL/_XWD_30/D.946/25377; abgerufen am 22.04.2015. 2015
- Koizumi T, Imamura N, Aruga N, et al. Successful treatment of penetrating chest injury caused by a crossbow. Tokai J. Exp. Clin. Med. 2014;39(2):64-68.
- Kohli N. High-pressure injection injury in a furniture repairman–an outwardly minor injury with the potential for a devastating outcome. J. Occup. Environ. Med. 2009;51(9):1105-1107.
- Hogan CJ, Ruland RT. High-pressure injection injuries to the upper extremity: a review of the literature. J Orthop Trauma. 2006;20(7):503-511.
- Peters G, Learch T, White E, Forrester D. High-pressure paint gun injury: clinical presentation and imaging findings. Emerg Radiol. 2014.
- McCarthy J, Trigger C. High-pressure Injection Injury with Molten Aluminum. West J Emerg Med. 2014;15(2):120-121.
- Creaser D. High-pressure injection injuries. Occup Health (Lond). 1987;39(11):344-345.
- Hart RG, Smith GD, Haq A. Prevention of high-pressure injection injuries to the hand. Am J Emerg Med. 2006;24(1):73-76.
- Henrichs WD, Helwig EB. Grease gun granulomas. Mil Med. 1986;151(2):78-82.
- Smith TE, Canady JW, Jons CD. Cervicofacial high-pressure hydraulic injection injury. Report of a case. Arch Otolaryngol. 1982;108(7):452-453.
- Peters W. High-pressure injection injuries. Can J Surg. 1991;34(5):511-513.
- Harris AM, Orgee J, Holdsworth J, Hinson FL. Pneumonitis following grease gun injury. Injury. 2004;35(12):1303-1305.
Bildquelle: Bundeswehrzentralkrankenhaus Koblenz
Originalarbeit
Manuskriptdaten:
Eingereicht: 26.04.2015
Revidierte Fassung angenommen: 17.07.2015
Zitierweise:
Schreyer C, Willms A, Schaaf S, Schwab R: Eine außergewöhnliche Ursache des penetrierenden Thoraxtraumas: Hydrauliköldurchschuss des linken Lungenoberlappens. Wehrmedizinische Monatsschrift 2015; 8: 244-248.
Datum: 09.09.2015
Quelle: Wehrmedizinische Monatsschrift 2015/8







