07.10.2020 •
Perimyokarditis oder asymptomatische Myokardischämie?
M. Fischer¹, R. Ritzel², H. Alexy¹, Chr. Busch¹, Chr. Kamenik¹
¹ Bundeswehrkrankenhaus Hamburg, Klinik I – Innere Medizin
² Bundeswehrkrankenhaus Hamburg, Abteilung VIII – Radiologie
Einleitung

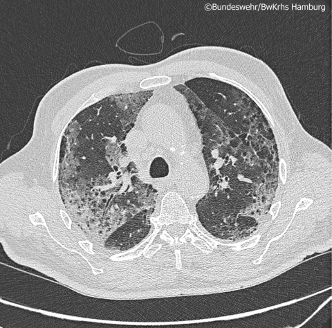
Im Rahmen der SARS-CoV-2 Pandemie wurden im Bundeswehrkrankenhaus (BwKrhs) Hamburg zahlreiche Patienten mit diesem neuartigen Krankheitsbild behandelt. Es bot sich ein sehr heterogenes Patientenkollektiv mit verschiedensten klinischen Verläufen, teilweise schweren Komplikationen und einigen Todesfällen. In einem stetigen Lernprozess wurden hausinterne fachübergreifende Therapie- und Überwachungsstandards erarbeitet. Unter anderem wurde auf der Basis von internationalen Publikationen sowie eigener Erfahrungen eine laborchemische Verlaufsroutine etabliert, um frühzeitig die häufigsten Komplikationen erkennen und behandeln zu können. Hierzu zählen vorrangig bakterielle Superinfektionen, thromboembolische Ereignisse und kardiale Komplikationen. Die folgende Kasuistik soll exemplarisch einen schweren Verlauf von COVID-19 mit kardialen Komplikationen beleuchten.
Hier lesen Sie den ausführlichen Artikel.
Datum: 07.10.2020
Wehrmedizinische Monatsschrift 9/2020






