ZAHNÄRZTLICHES RÖNTGEN IM „SPANNUNGSFELD“ ZWISCHEN NUTZEN, RISIKO UND UNTERLASSENER DIAGNOSTIK
Die Röntgenuntersuchung stellt im zahnärztlichen Alltag eine der wichtigsten Maßnahmen zur Diagnostik dar.
Zahnärztliches Röntgen macht in Deutschland mit ca. 37% den größten Teil aller medizinischen Röntgenaufnahmen aus. Die zahnmedizinische Röntgendiagnostik belief sich in den Jahren 1996 bis 2010 nahezu konstant auf etwa 0,6 Röntgenuntersuchungen pro Einwohner und Jahr. Durch die Aufnahmetechniken und den technischen Fortschritt sind sie dabei jedoch nur für etwa 0,3% der medizinisch-radiologisch bedingten jährlichen kollektiven effektiven Dosis verantwortlich (1).
Grundlage für die Anwendung von Röntgendiagnostik in der zahnärztlichen Versorgung sind die Röntgenverordnung (2) und die Behandlungsrichtlinien des Bundesausschusses der Zahnärzte und Krankenkassen (3). Darüber hinaus gibt es derzeit keine Leitlinie, welche die Indikation, Art der Aufnahme oder Häufigkeit der Anwendung näher beschreibt.
Im klinischen Alltag kommt es immer wieder vor, dass auch sehr ausgedehnte odontogene Raumforderungen trotz regelmäßiger (truppen-)zahnärztlicher Untersuchungen sehr spät diagnostiziert werden und somit, insbesondere bei odontogenen Tumoren, einer aufwendigen und für den Patienten sehr belastenden chirurgischen Therapie bedürfen.
Zwei exemplarische Fälle aus der Abteilung für Mund-, Kiefer- und Gesichtschirurgie des Bundeswehrkrankenhauses Hamburg sollen dies verdeutlichen.
Kasuistik 1
Im Jahr 2006 stellte sich ein 24jähriger Soldat in der fachärztlichen Untersuchungsstelle der Sektion für MKG-Chirurgie des Bundeswehrkrankenhauses Hamburg mit einer unklaren Schwellung im Bereich der rechten Unterkieferhälfte vor. Er berichtete, er habe seit einigen Wochen eine langsam wachsende Vorwölbung im Bereich des rechten Kieferwinkels bemerkt. Der Patient war kurz zuvor von einer Auslandsverwendung nach Deutschland zurückgekehrt und befand sich in regelmäßiger truppenzahnärztlicher Kontrolle.
Wir sahen extraoral eine palpatorisch harte, nicht druckdolente oder verschiebliche Schwellung über dem rechten Corpus mandibulae bis zum aufsteigenden Unterkieferast rechts. Sensibilität und Motorik waren seitengleich intakt. Intraoral sahen wir ein karies- und füllungsfreies Gebiss ohne Weisheitszähne. In der ansonsten geschlossenen Zahnreihe fehlte der Zahn 45. Auch intraoral bestand eine Auftreibung des Unterkiefers, vestibulär ab regio 46 bis in den aufsteigenden Unterkieferast ausgedehnt und die Okklusionsebene erreichend. Die Zähne 46 und 47 waren in der Vitalitätsprobe negativ.
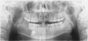
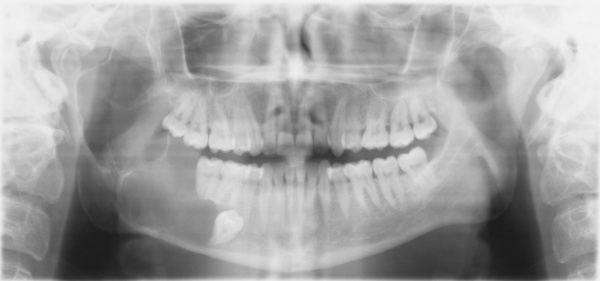
In einer extern angefertigten Panoramaschichtaufnahme bestand eine im Bereich apikal der Zähne 44-47 liegende und bis unterhalb des Processus condylaris reichende, ausgedehnte, mehrkammerige, scharf begrenzte Aufhellung. In direkter Lagebeziehung mit dem zystischen Prozess stellte sich apikal des Zahnes 46 der retinierte und verlagerte Zahn 45 dar.
Anamnestisch handelte es sich bei dieser Röntgenaufnahme um die erste Panoramaschichtaufnahme, die jemals bei dem Patienten angefertigt wurde (Abbildung 1).
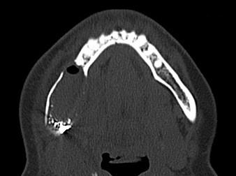
Ein ergänzend durchgeführtes Denta-CT des Unterkiefers (Abbildungen 2 und 3) zeigte eine zystische Raumforderung im Bereich der rechten Unterkieferhälfte, welche bis weit in den aufsteigenden rechten Unterkieferast reichte. Der Nervkanal des rechten N. mandibularis verlief durch die Raumforderung und ließ sich nicht sicher abgrenzen.
Wir führten zunächst eine Zystektomie in Intubationsnarkose unter Erhalt des N. alveolaris inferior durch. Die histologische Untersuchung ergab ein Ameloblastom. Daraufhin erfolgte eine Hemimandibulektomie rechts von extraoral mit Erhalt des rechten Unterkieferköpfchens und Überbrückung des Defektes mit einer Rekonstruktionsplatte. (Abbildung 4). Histologisch fanden sich intraossär und in der anteilig resezierten Mundschleimhaut weitere Ausläufer des Tumors. Die Resektionsränder waren tumorfrei.
Drei Monate Später wurde die rechte Unterkieferhälfte mit einem freien Rippen- und Beckenkammtransplantat rekonstruiert.
Kasuistik 2
Im Jahr 2013 stellte sich nach Zuweisung durch einen niedergelassenen MKG-Chirurgen eine 44jährige Patientin in der Ambulanz für MKG-Chirurgie des Bundeswehrkrankenhauses Hamburg vor. Anamnestisch bestand seit etwa drei Jahren ein Druck- und Schmerzempfinden im Bereich des rechten Kieferwinkels sowie der rechten Unterkieferseitenzähne. Daraufhin wiederholt durch den Hauszahnarzt angefertigte Bissflügel- und Einzelzahnaufnahmen hatten keinen pathologischen Befund erbracht. Erst als die Patientin auf Grund der persistierenden Beschwerden zu einem MKG-Chirurgen überwiesen worden war, wurde in einer Panoramaschichtaufnahme eine großvolumige Zyste im Bereich des rechten Unterkieferwinkels entdeckt (Abbildung 5).
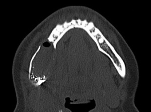
Die durch den zuweisenden Kollegen entnommene Probe erbrachte die Diagnose eines keratozystischen odontogenen Tumors. Die extraorale Untersuchung bei der stationären Aufnahme war unauffällig, der intraorale Befund ergab ein karies- und füllungsfreies Gebiss. Die ergänzend angefertigte Computertomographie des Unterkiefers zeigte eine von der Basis des Unterkiefercollums bis distal des Zahnes 44 reichende Zyste (Abbildungen 6 und 7).
Da der die Zyste begrenzende Knochen teils extrem ausgedünnt war, erfolgten eine Unterkieferteilresektion und im gleichen Eingriff die Rekonstruktion mit einem mikrochirurgisch reanastomosierten Beckenkammtransplantat (Abbildung 8).
Diskussion
Dem Zahnarzt obliegt bei jedem Patienten die Aufgabe, abzuwägen, ob der gesundheitliche Nutzen das Strahlenrisiko überwiegt und welche radiologische Aufnahmetechnik die meisten Informationen liefert. Neben den allgemein anerkannten Indikationen zur Anfertigung einer Panoramaschichtaufnahme, wie der kieferorthopädischen, chirurgischen oder prothetischen Planung, der Lagebestimmung bei intraoral bestehendem Verdacht auf Nichtanlage oder Retention, der PA-Diagnostik, der unvollständigen Darstellung von pathogenen Prozessen in Einzelzahnaufnahmen oder einer ärztlichen Fokussuche, kann die Entscheidung im Einzelfall insbesondere dann schwierig sein, wenn es um die Krankheitsfrüherkennung geht.
Bedingt durch die diagnostischen Möglichkeiten wird in kaum einer medizinischen Disziplin eine radiologische Untersuchung so regelhaft im Rahmen von Vorsorgeuntersuchungen eingesetzt wie in der Zahnmedizin – und in kaum einem Fach ist somit bedingt die Gefahr des „Röntgens aus Neugier“ größer. Noch komplexer wird die Situation, wenn Patienten den Behandler wechseln und unter Umständen keine hinreichenden Angaben machen können, ob, wann und welche Röntgenaufnahmen in der letzten Zeit gemacht worden sind.
Während dentale und parodontale Problematiken meist auch durch eine umfassende und sorgfältige intraorale Untersuchung erkannt werden können und dann durch Röntgendiagnostik zu verifizieren sind, stellen pathologische Veränderungen im Bereich des Kieferknochens oftmals radiologische Zufallsbefunde dar.
In der Literatur finden sich dabei wenige valide Angaben zur Inzidenz und Prävalenz von odontogenen Zysten und Tumoren. Eine der wenigen prospektiven epidemiologischen Studien dazu aus Queensland, Australien, zeigte eine Inzidenz von 118 odontogenen Zysten, 20 odontogenen Tumoren und 39 nicht odontogenen pathogenen Veränderungen bezogen auf 1 Millionen Einwohner und einen Untersuchungszeitraum von einem Jahr (4). Zu deren Prävalenz finden sich in unterschiedlichen Studien Angaben von 3,45-33,8% (5-9).
Methodenbedingt gibt es deutlich mehr Angaben zur Häufigkeit von Zystenarten und Tumoren. Dabei sind die häufigsten odontogenen Zysten radikulär (54,6%) und follikulär (20,6%) und die häufigsten odontogenen Tumoren Ameloblastome (36,9%) und Keratozystische Tumoren (14,3%) (10).
In der internationalen Literatur gibt es bisher keine Rechtfertigung für eine routinemäßige Anfertigung von Panoramaschichtaufnahmen (11, 12, 13). Allerdings ist die Anzahl der dahingehenden Veröffentlichungen gering und diese beziehen sich jeweils auf eher kleine Fallzahlen. Möglicherweise ergibt sich aus der Verbesserung der Röntgentechnologie und der damit einhergehenden Verbesserung der Bildqualität und der Verminderung der Strahlendosis ein Anlass zur Reevaluation.
Die gesamte natürliche Strahlenbelastung (die sogenannte effektive Dosis) in Deutschland beträgt durchschnittlich 2,1 mSv im Jahr. Die zusätzliche Strahlenbelastung aus künstlichen Quellen in Deutschland beträgt durchschnittlich zirka 2,0 mSv pro Jahr. Dieser Wert resultiert zum überwiegenden Teil aus Strahlenanwendungen in der Medizin (Röntgendiagnostik, nuklearmedizinische Diagnostik sowie Strahlen- und Nuklearmedizinische Therapie) (14). In Relation dazu führt ein Flug von Frankfurt nach New York und zurück zu einer durchschnittlichen effektiven Dosis von circa 100 µSv (15). Die effektive Dosis eines vollständigen PA-Status mit F-Speed Film und runder Blende beträgt etwa 170,7 µSv, mit einer eckigen Blende und F-Speed Filmen etwa 34,9 µSv. Die Dosis von 4 Bissflügelaufnahmen mit F-speed Filmen und rechteckiger Blende beträgt etwa 5,0 µSv, die Dosis einer digitalen PSA zwischen 14,2-24,3 µSv. Somit kann die Durchführung einer digitalen PSA für den Patienten eine niedrigere Dosis als die Durchführung mehrerer Einzelaufnahmen bedeuten (16).
In den vorgestellten Fällen hätten die Pathologien mit frühzeitiger angefertigten Übersichtsaufnahmen bzw. der Erweiterung der Diagnostik bei unauffälligen Einzelzahnaufnahmen in einem früheren Stadium diagnostiziert werden können. In beiden Fällen hätte retrospektiv durchaus eine Indikation bestanden (intraoral fehlender Zahn 45, vitalitätsnegative Zähne 46 und 47, persistierende Beschwerden ohne morphologisches Korrelat in den Einzelzahnaufnahmen).
Es bleibt festzustellen, dass dem zahnärztlichen und speziell truppenzahnärztlichen Behandler diesbezüglich eine große Verantwortung obliegt. Er sollte einen angemessenen radiologischen Recall sicherstellen und möglicherweise auch die Patienten einbeziehen, die asymptomatisch und in der klinischen routinemäßigen dentalen Untersuchung unauffällig scheinen. Die Erstellung einer evidenzbasierten Leitlinie zur zahnärztlichen Röntgendiagnostik ist zu fordern.
Literatur bei den Verfassern.
Datum: 15.07.2014
Wehrmedizin und Wehrpharmazie 2014/2

















