Conn Rother¹, Birgit Richter¹, David Keilholz¹, Judith Bauer¹, Vincent G. Umathum²,Carsten Hackenbroch³, Stephan Opderbeck¹, Michael Burbach¹, Daniel Gagiannis¹, Konrad Steinestel², Hanno M. Witte¹,²
¹ Bundeswehrkrankenhaus Ulm, Klinik für Innere Medizin
² Bundeswehrkrankenhaus Ulm, Institut für Pathologie und Molekularpathologie – Studienzentrum des Deutschen Obduktionsregisters COVID-19 (DeRegCOVID)
³ Bundeswehrkrankenhaus Ulm, Abteilung für Radiologie
Zusammenfassung
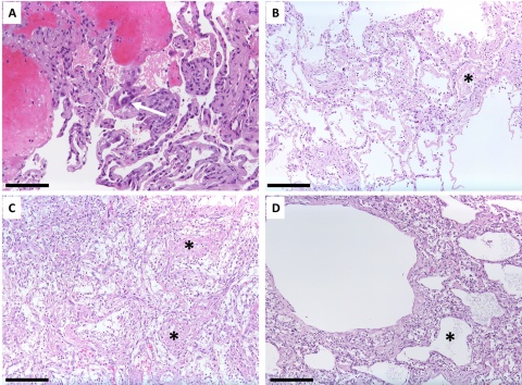
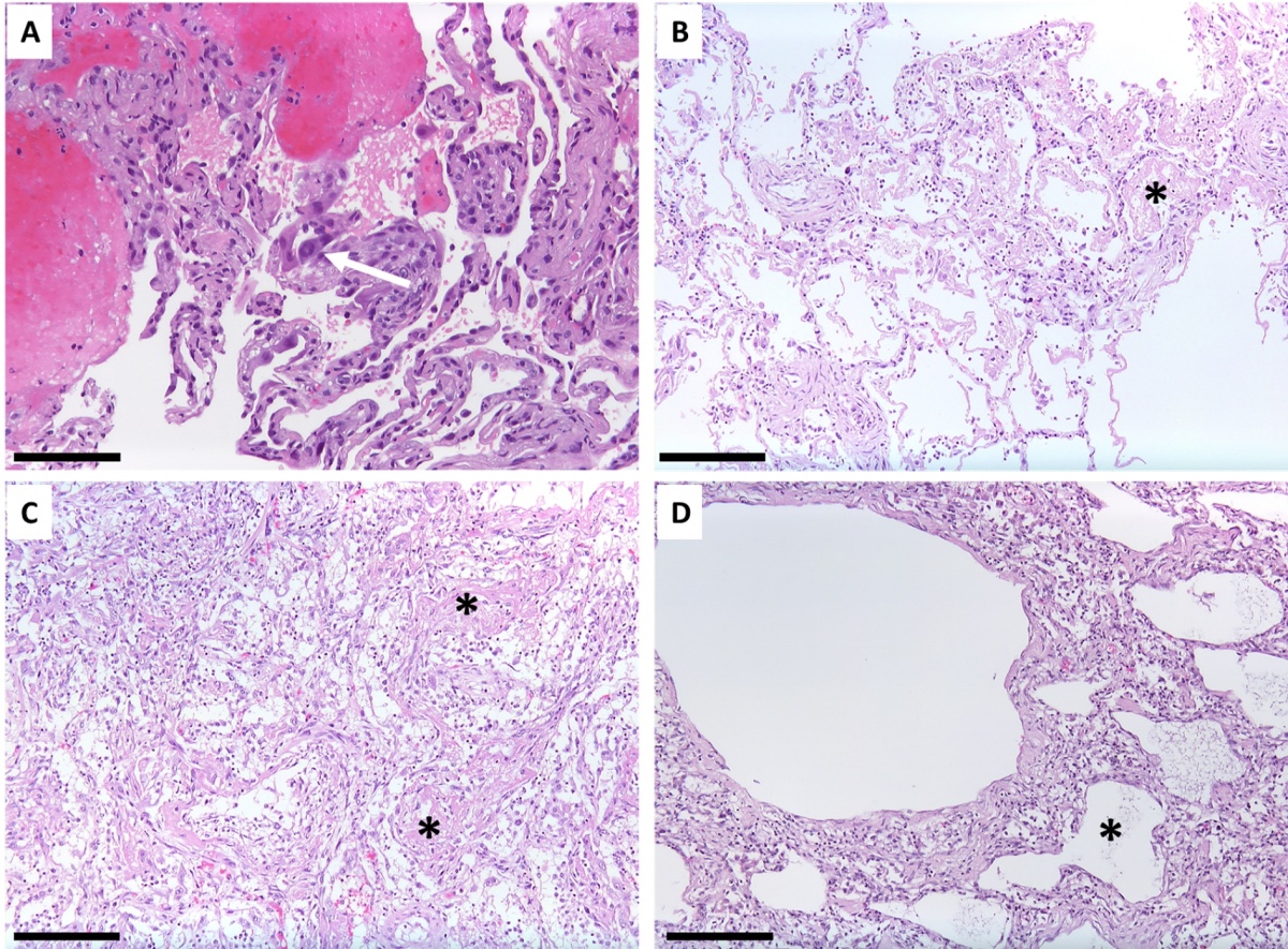
Die respiratorische Insuffizienz und das akute Atemnotsyndrom (acute respiratory distress syndrome, ARDS) im Rahmen der neuartigen Coronavirus-Erkrankung (COVID-19) sind durch eine langwierige Beatmungstherapie gekennzeichnet. Die direkte virale Schädigung insbesondere der Lunge sowie das Auftreten eines Hyperinflammationssyndroms sind sowohl mit einer multiplen Organbeteiligung als auch mit einer prokoagulatorischen Komponente verbunden, was zu einem komplexen systemischen Krankheitsgeschehen führt.
Wir präsentieren anhand einer prospektiv erhobenen Kohorte von 22 Fällen mit nachgewiesener SARS-CoV-2 (severe acute respiratory syndrome coronavirus 2) Infektion, darunter 11 intensivmedizinisch behandelte Patienten, typische klinisch-pathologische und laboranalytische Parameter sowie Komplikationen und Schwierigkeiten der intensivmedizinischen Therapie.
Den ausführlichen Artikel finden Sie hier.
Datum: 09.09.2020




