Eine mögliche Vorgehensweise anhand einer Falldarstellung mit Recall über 14 Jahre
M. C. Eliades
Aufgrund der anatomischen Verhältnisse stellt eine Insertion von dentalen Implantaten im Oberkieferseitenzahnbereich oft eine besondere Herausforderung dar. Im Oberkiefer ist die Mißerfolgsrate höher und durch die mögliche zunehmende Ausdehnung der Kieferhöhle im Zuge der Ausheilung nach Zahnverlust kann es zu einer weiteren Verringerung des Knochenangebotes im Oberkieferseitenzahnbereich kommen. Verfahren zum Knochenaufbau im Bereich der Kieferhöhle über eine laterale Fensterung sind seit Mitte der 1980er Jahre beschrieben, geringer invasive Verfahren bei einem höheren Restknochenangebot über einen crestalen Zugang oder den Implantatbohrschacht mit Osteotomen seit Mitte der 1990er Jahre. Vorteilhaft ist dafür natürlich der Erhalt von so viel Restknochen und befestigter Gingiva wie möglich, wofür bewährte Verfahren zum Strukturerhalt bzw. zur Strukturverbesserung der Hart- und Weichgewebe zur Verfügung stehen. Parodontitispatienten haben möglicherweise schlechtere Langzeitimplantaterfolgsraten, was sich vor allem nach Zeiträumen über acht Jahre zu zeigen scheint.
Kasuistik
Ein damals 29-jähriger gesunder Patient (Nichtraucher, kein Bruxismus) stellte sich im Dezember 2005 über seinen Truppenzahnarzt mit dem Wunsch nach Weiterbehandlung in unserer Implantatsprechstunde vor. Vorausgegangen war eine erfolgreiche Parodontitistherapie in der Fachabteilung eines anderen Bundeswehrkrankenhauses. Der dortige Fachzahnarzt für Parodontologie hielt allerdings die Zähne 14 und 15 langfristig für nicht erhaltungswürdig. Sie wiesen ein massives Knochendefizit mit Lockerung auf, so dass sich der Patient auch beim Kauen eingeschränkt fühlte.
Die Planung sah daher eine Zahnentfernung mit Einbringen von bovinem Knochenmaterial in porciner Matrix (BioOss Collagen, Firma Geistlich Biomaterials) und in der Folge eine Vestibulumplastik mit Einbringen eines Freien Schleimhauttransplantates vom Gaumen zur Verbesserung der Weichgewebssituation (Ausschaltung Zug des Wangenbändchens und Schaffung befestigter Gingiva) vor. Für den weiteren Verlauf wurde dem Patienten aufgrund des erheblichen Knochendefektes eine möglicherweise notwendige Augmentation regio 14/15 mit Knochentransplantat und Anheben des Kieferhöhlenbodens über ein laterales Fenster im Sinne eines externen Sinusliftes in Aussicht gestellt.
Im April 2006 erfolgte die Extraktion der Zähne 14 und 15 mit Einbringen des Knochenmaterials und gleichzeitiger plastischer Deckung, wobei es jedoch nicht zur Eröffnung der Kieferhöhle kam.
Im Juni 2006 wurde die Vestibulumplastik mit Schleimhauttransplantation von Regio 16/15 gaumenwärts nach Regio 15/14 wangenwärts vorgenommen, damit die mukogingivale Grenze nach cranio-bukkal verlagert und der Anteil keratinisierten Gewebes verbreitert. Im weiteren Verlauf erfolgte die unterstützende Parodontitisnachsorgetherapie mit professioneller Zahnreinigung und Mundhygieneremotivation im August und Dezember 2006.
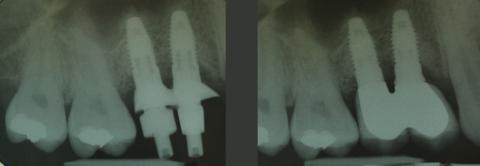
Aufgrund lehrgangsbedingter Abwesenheit des Patienten konnte erst im März 2007 die Implantation Regio 14 und 15 geplant werden. Aufgrund der präoperativen Diagnostik mit Panoramaschichtaufnahme war bei einer Restknochenhöhe über der Kieferhöhle von jeweils ca. 5 mm eine Augmentation im Sinne eines Sinusliftes zu erwarten. Der Patient wurde darüber aufgeklärt, dass dies möglicherweise nicht mittels eines geringen invasiven Vorgehens über den Bohrschacht (interner Sinuslift) realisierbar wäre, sondern bedingt durch die grenzwertige Restknochenhöhe und -breite eine laterale Fensterung der Kieferhöhle (externer Sinuslift) möglicherweise nötig wäre. Die Insertion von zwei Nobel Replace Select Tapered Implantaten 4,3 x 10 mit 35 Ncm gelang Ende März 2007 doch mit Anheben des Kieferhöhlenbodens über den Bohrstollen in Osteotomtechnik nach Summers (interner Sinuslift) und Einbringen von bovinem Knochenmaterial in porciner Matrix (BioOss Collagen, Firma Geistlich Biomaterials). Ein crestobukkaler Defekt, der sich innerhalb der Kontur des Alveolarfortsatzes befand, konnte mit Knochenspänen aus dem Bereich der crista zygomaticoalveolaris aufgefüllt und so insgesamt auf die erwartete komplexere Augmentation verzichtet werden. Das Augmentat wurde mit einer resorbierbaren porcinen Kollagenmembran (BioGide, Firma Geistlich Biomaterials) abgedeckt. Nach einer Woche wurden die Nähte entfernt, der Bereich verblieb ohne provisorische Versorgung.
Im Juni 2007 erfolgte die Freilegung der Implantate mit Abformung und Anfertigung eines verschraubten Provisoriums (verblockte Kunststoffkronen) im Eigenlabor. Die provisorischen Kronen werden zumeist für mindestens drei Monate belassen und es sind in der Regel keine weiteren Korrekturen erforderlich.
Im vorliegenden Fall wurden die verblockten definitiven Kronen aus verblendetem Zirkondioxyd erst im April 2008 angefertigt und eingegliedert, da der Patient an Lehrgängen teilnehmen musste. Die Abformpfosten wurden dabei individualisiert, um das mit dem Provisorium ausgeformte Emergenzprofil in die Abformung zu übertragen. Die Zementierung der Kronen auf den Titanaufbauten erfolgte mittels Glasionomerzement.
Im ersten Jahr erfolgte ein Recall drei, sechs und zwölf Monate nach Eingliederung des definitiven Zahnersatzes.
Die Versorgung ist mittlerweile über 14 Jahre bei stabilen Verhältnissen in situ. 2020 wurde sie einmal andernorts rezementiert. Der Patient befindet sich weiter im halbjährlichen Recall.
Diskussion
Der Patient im gezeigten Fall ist Nichtraucher. Damit entfällt ein wichtiger Risikofaktor für einen Implantatmisserfolg. Eine Implantatversorgung bei Parodontitispatienten ist durchaus kontrovers zu diskutieren. Es gibt Hinweise, dass Implantatmisserfolgsraten auf lange Sicht erhöht sein können, bei Einhaltung eines Recalls aber vergleichbare Erfolgsraten wie bei Patienten ohne parodontale Vorgeschichten zu erzielen sind. Zusätzlich gibt es Konzepte, die mit maximalen Erhaltungstherapien auch hoffnungsloser Zähne langjährig erfolgreich in Funktion halten und damit auch aus wirtschaftlicher Sicht Vorteile in Form geringerer Kosten gegenüber Implantation und Augmentation zeigen.
Im vorliegenden Fall hat allerdings selbst der vorbehandelnde langjährig erfahrene Fachzahnarzt für Parodontologie die Prognose der Zähne als ungünstig bewertet, so dass die Entscheidung für den verfolgten Therapieansatz erleichtert wurde. Durch bewährte Maßnahmen des Strukturerhaltes konnte ein weniger invasiver Weg beschritten werden. Das verwendete bovines Knochenmaterial in porciner Matrix ist einfach anzuwenden und erreicht im Regelfalle den gewünschten Effekt. Entzündungsgewebe muss dabei gründlich entfernt werden. Das Vorgehen kann insbesondere bei Ersatz parodontal geschädigter Zähne vorteilhaft und hilfreich sein, um die Notwendigkeit invasiverer Maßnahmen zu reduzieren.
Das Verfahren des Sinuslifts über den Bohrschacht ist etabliert. Mittlerweile verwendet der Autor nur noch unmittelbar bei Implantatbettaufbereitung gewonnenen Eigenknochen oder überhaupt kein Augmentationsmaterial in der Vertikalen. In der Weiterentwicklung des Verfahrens wird dies von mehreren Autoren beschrieben. Auch findet eine Grenzverschiebung zu geringeren Restknochenhöhen bis 2 mm statt, die der Autor allerdings nicht vornimmt.
Eine Weichgewebsaugmentation im Sinne des Schaffens oder Vermehrens von keratinisierten Gewebes und eine Gewebsverdickung scheint die periimplantären Verhältnisse zu verbessern und kann ein besseres und stabileres Knochenniveau zur Folge zu haben. Simultane laterale Augmentation beeinträchtigt nicht die Langzeitprognose von Implantaten. Soweit es möglich ist, bevorzugt der Autor mittlerweile ein Verschrauben der Implantatkronen, da dadurch das Risiko des Verbleibens von Zementresten entfällt.
Eine Vermeidung invasiverer Eingriffe und eine Schaffung stabiler Verhältnisse hat kürzere Ausfallzeiten und geringere Einschränkungen der Verwendungsfähigkeit für die betroffenen Soldaten zur Folge.
Fazit
Im vorgestellten Fall konnte durch Maßnahmen zum Strukturerhalt und Verbesserung der Weichgewebssituation ein langzeitstabiler Ersatz der parodontal geschädigten insuffizienten Zähne erreicht werden. Aufgrund der gewählten Behandlungsschritte war dies mit weniger invasiven Aufbaumaßnahmen möglich, als zu Behandlungsbeginn vermutet. Das stabile Langzeitergebnis ist im vorliegenden Falle auch einem sehr motivierten Patienten und dem unermüdlichen Wirken unserer hervorragenden Prophylaxeassistentinnen zu verdanken. Ohne eine entsprechende langjährige Nachsorge sind derartige Ergebnisse nicht zu erzielen. Dies sollte bei der Entscheidung für eine Therapie berücksichtigt, mit dem Patienten kommuniziert und in der Behandlungsdokumentation hinterlegt werden.
Wehrmedizin und Wehrpharmazie 4/22
Oberfeldarzt Dr. M. C. Eliades
Bundeswehrkrankenhaus Berlin
Scharnhorststr. 13
10115 Berlin
E-Mail: [email protected]






