Immer öfter wird über den Einsatz der Piezochirurgie in der dentoalveolären Chirurgie berichtet. Dabei erweitert sich das Einsatzspektrum der Piezochirurgie (Implantologie; PA-Chirurgie; Periostdissektion) kontinuierlich unter zeitgleicher Verbesserung der Handhabung und des Preises der Geräte.
Bisher wird, abhängig von der jeweiligen Indikation, der Knochen in der dentoalveolären Chirurgie auf unterschiedliche Art und Weise abgetragen. Bei der konventionellen Osteotomie bzw. Ostektomie werden rotierende Fräsen bevorzugt, wobei das Ausmaß des Knochenverlustes dabei von untergeordneter Bedeutung ist. Bei der Gewinnung von Osteoplastiken oder bei der so genannten Knochendeckelmethode als Zugang zu enossalen Befunden, wird dagegen eine Minimierung dieses Knochenverlustes angestrebt. Hierfür sind grazile Instrumente erwünscht, zu denen dimensionsreduzierte Fräsen und Sägen, z. B. oszillierende Sägen und Kreissägen, und auch die Arbeitsspitzen der Piezochirurgie zählen. Die Minimierung der Osteotomiespaltbreite geht bei konventionellen Sägen und Fräsen oft mit dem Nachteil einher, dass das Kühlmedium die tiefer gelegenen Areale der Osteotomie nicht erreicht.
Piezoelektrische Instrumente existieren seit 1988, wobei die erste Anwendung von Instrumenten auf der Basis des Piezoeffektes in der Medizin erst 1998 folgte. Ihr Einsatzgebiet umfasst dabei die Hartgewebschirurgie, die Parodontalchirurgie, die Entfernung von impaktierten Zähnen, die Anwendung in der apikalen Chirurgie [1, 2] sowie in der Knochenexpansion [3, 4] zur Osteotomie der Segmente.
Unter dem „Piezo-Effekt“ versteht man die physikalischen Wechselwirkungen in kristallinen Festkörpern. Er beschreibt die im Nanometerbereich liegende Deformation eines entsprechenden Kristalls beim Anlegen eines elektrischen Feldes. Dieser dynamische Effekt kann genutzt werden, um die longitudinale, beziehungsweise transversale Bewegung des Ferroelektrikums in eine chirurgische Schneideleistung zu transferieren. Verschiedene Frequenzeinstellungen der Piezoinstrumente erlauben ein variables Vorgehen, angepasst an unterschiedliche Knochenstärken.
Die Ultraschallvibration des Instrumentenansatzes lässt sich auf Mikrobewegungen mit Längen zwischen 20 und 200 µm einstellen mit einer modulierbaren funktionellen Arbeitsfrequenz von 24 bis 29,5 kHz. Dieser Frequenzbereich erlaubt eine gezielte selektive Hartgewebspräparation unter gleichzeitiger Schonung der zu schützenden Weichgewebe (so genannte „selective cut“), da für das Durchtrennen von Weichgewebe eine Frequenz von etwa 50 kHz erforderlich ist. Der Einsatz graziler Fräsen bzw. Sägen geht häufig mit dem Nachteil einher, dass das Kühlmedium die tiefer gelegenen Areale der Osteotomie nicht erreicht. Stehende Tropfen auf einem dünnen Osteotomieschnitt, die dies makroskopisch zeigen, entstehen einerseits wegen der Oberflächenspannung (Dipol-Eigenschaften des Wassers), andererseits wegen der Zentrifugalkräfte von Kreissägen. Die daraus resultierenden Hitzeschäden des Knochengewebes können auch histologisch gezeigt werden. Die Ultraschallfrequenz des Piezogerätes bewirkt einen laminaren Flüssigkeitsstrom, der das Kühlmedium selbst bei dicken Kortikalisschichten und tiefen Osteotomiespalten (z. B. Linea-obliqua-Span) bis zum Ort des Knochenabtrages transportiert und damit Hitzeschäden vermeidet. Makroskopisch erkennt man bei Unterbrechen des Schneidevorganges, dass sich stehende Tropfen bilden, die sich bei Wiederbetätigung des Fußanlassers sofort auflösen.
Piezoinstrumente werden unter ständiger Kühlung mit steriler physiologischer Kochsalzlösung eingesetzt, weshalb eine thermische Traumatisierung bei korrekter Handhabung ausgeschlossen werden kann und die mechanische Energie über eine suffiziente Hartgewebsdurchtrennung abgeleitet wird [5]. Dennoch darf der metallische Spitzenschaft nicht in Kontakt mit Weichgewebe (z. B. Lippen oder Wangenschleimhaut) kommen, da es sonst zu einer Schädigung des Weichgewebes kommen kann. Die Gefahr einer bakteriellen Kontamination wird wiederum durch den Effekt der Kavitation der Spülflüssigkeit minimiert. Auf die Kühlfunktion durch die Ultraschallfrequenz wurde oben schon hingewiesen. Durch das Zusammenspiel von Kühlmittelzuführung und den dreidimensionalen Ultraschallschwingungen wird das Blut stets von der Arbeitsspitze weggespült. Auf diese Weise wird intraoperativ eine nahezu blutfreie Sicht ermöglicht. Diese so genannte Kavitationswirkung der Ultraschallchirurgie ist ein Vorteil gegenüber oszillierenden Sägen, die den Blutfilm lediglich im Schnitt hin und her bewegen. Postoperativ ist die Gefahr einer Wundinfektion durch die herabgesetzte thermische Beeinträchtigung und durch die veränderte Wirkung der Spülflüssigkeit im Rahmen der piezogesteuerten Präparation vermindert [5].
Indikationenspektrum der Piezochirurgie in der dentoalveolären Chirurgie:
- Osteotomie und Osteoplastik,
- Gewinnung von autologem Knochen (Linea obliqua, Kinn, Chips),
- Segmentosteotomie,
- Kieferkammspaltung (Bonesplitting),
- Sinusliftpräparation,
- Präparation von Knochenfenstern,
- Ablösen der Schneider’schen Membran,
- Nerv Freilegung, Nerv Lateralisation,
- Implantatbettaufbereitung,
- Zahnentfernung unter Erhalt der Alveolenwand.
Ein wesentlicher Vorteil ist, dass durch die Verwendung von abgewinkelten Schneidwerkzeugen, auch an der Unterkieferbasis gearbeitet werden kann und das Achsengerecht zur Kauebene, ohne die Mundwinkel des Patienten zu sehr zu spannen (Abb. 1, 2, 3 & 4).
Folgendes Beispiel verdeutlicht die Anwendung der Piezochirurgie.
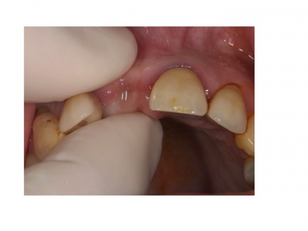
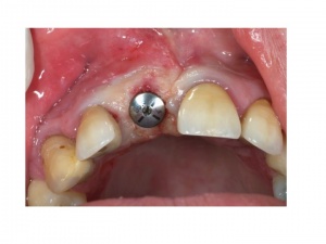
Bei dem Patienten ging der Zahn 11 nach frustraner endodontischen Behandlung verloren. Der Wunsch des Patienten bestand in einer implantologischen Versorgung, so dass nach einer Heilphase post extraktionem von drei Monaten die implantologische Versorgung geplant wurde. Im ersten Schritt stand die Wiederherstellung der äußeren Kontur an, auch wenn der intraorale Eindruck dieses weniger vermuten lässt (Abb. 5). Dazu musste durch eine Augmentation der durch die apikale Osteolyse verlorengegangene Knochen wieder aufgebaut werden. Auf die Verwendung von Knochenersatzmaterialien wurde verzichtet, so dass die Augmentation mit partikulärem Knochen unter zu Hilfenahme eines Knochenstückes von der christa erfolgte. Nach Präparation eines Mukoperiostlappens erfolgte die Inspektion des Alveolarfortsatzes. Dabei zeigte sich, dass die bukkale Lamelle nicht intakt war und noch reichlich Granulationsgewebe vor Ort war (Abb. 6). Dieses musste ausführlich kürettiert werden, damit sich zwischen dem Augmentat nicht neues Granulationsgewebe bildet und die Osseointegration verhindert wird und damit das Ausmaß der Augmentation überblickt werden konnte (Abb. 7).
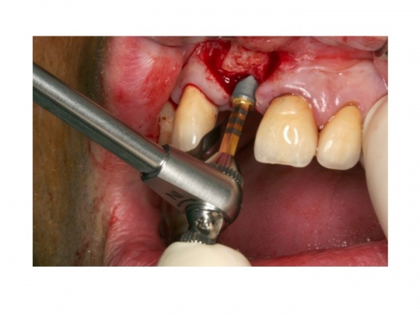
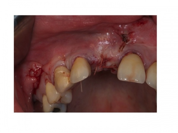
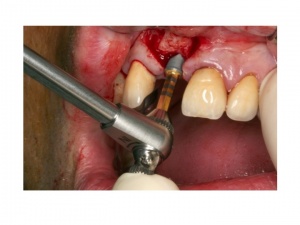
Die Entnahme erfolgte von der christa zygomaticoalveolaris rechts. Nach Darstellung der fazialen Kieferhöhlenwand wurde mittels Piezochirurgie schonend ein Knochenstück entnommen (Abb. 8), an die Position 11 gebracht (Abb. 9) und mit zwei Osteosyntheseschrauben fixiert. Der Zwischenraum wurde mit partikulärem Knochen, welcher mit dem Bonescraper (Abb. 10) gewonnen wurde, verfüllt (Abb. 11) und dann mit einer resorbierbaren Membran abgedeckt (Abb. 12). Im Anschluss erfolgte ein spannungsfreier Verschluss der Wunde (Abb. 13).
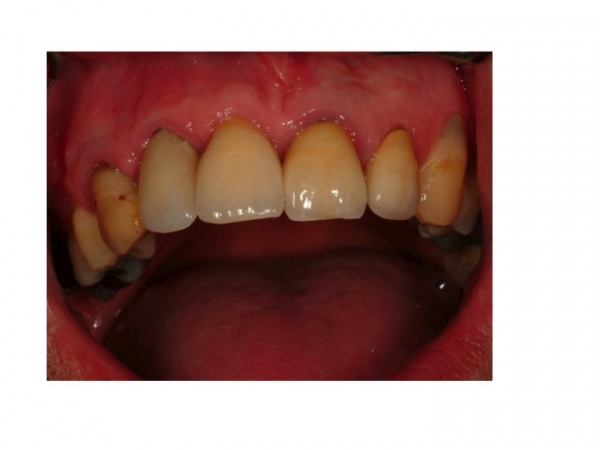
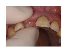
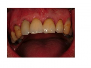
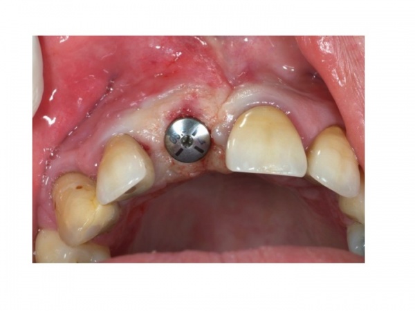
Nach einer Einheilzeit von drei Monaten konnte schließlich nach Entfernung der Osteosyntheseschrauben (Abb. 14) eine Osseointegration des Transplantates festgestellt und ein dentales Implantat inseriert werden (Abb. 15, 16 & 17). Nach weiteren drei Monaten erfolgte die Freilegung mit Ausformung der Gingiva (Abb. 18). Das endgültige prothetische Ergebnis zeigt sich dann nach Eingliederung der Krone (Abb. 19).
An diesem Beispiel wird deutlich, wo die Piezochirurgie eingesetzt werden kann. In diesem Fall konnte relativ einfach und sehr schonend das Knochenschild für die Augmentation entnommen werden, ohne Verletzung der Schneider´schen Membran und einer damit einhergehenden Eröffnung der Kieferhöhle. Aktuell hat sich das Einsatzgebiet der Piezochirurgie auf die Periostdissektion erweitert. Damit kann zur Zeit mit der Piezotechnologie die Knochenchirurgie, die Periostdissektion und die Parodontalchirurgie durchgeführt werden. Der oft erwähnte Nachteil, dass die OP- Zeit mit der Piezotechnologie deutlich länger ist, kann nicht bestätigt werden. Allerdings benötigt der Anwender eine profunde Einweisung in die Theorie und Praxis der Piezochirurgie und eine Umorientierungs- und Lernphase im Rahmen der ersten eigenverantwortlichen 20 Operationen, die Initial die OP-Zeiten verlängert. Dies trifft jedoch auf jegliche OP-Technik zu, die erstmalig erlernt und angewendet wird, allerdings in viel stärkerem Ausmaß bei der Piezochirurgie, da diese grundsätzlich andere OP-Planungen und Durchführungen verlangt, um das volle Potential an Atraumatizität, Weichgewebsschonung, Unversehrtheit biologischer Einheiten und Heilungsinduktion auszuschöpfen. Nach dieser initialen Lernphase können die OP-Zeiten mit Piezochirurgie im Vergleich zu rotierenden Instrumenten zwar nicht signifikant, aber doch merkbar verkürzt werden, was unter anderem daran liegt, dass infolge geringerer Blutungen im OP-Gebiet und der höchstmöglichen Operationspräzision zusätzliche Operationsschritte, wie die Präparation von reponierbaren Knochendeckeln, mehr als kompensiert werden.
Aus diesen genannten Gründen führt die Bundeswehr gerade die Piezochirurgiegeräte nach und nach für die Oralchirurgen und die Kieferchirurgen ein, womit diese Technik auch dem Soldaten zur Verfügung steht (Abb. 20).
Literatur beim Verfasser.
Datum: 01.03.2016
Quelle: Wehrmedizin und Wehrpharmazie 2015/4











