Jedem Truppenzahnarzt ist der Montagmorgen bekannt, an dem sich ein junger Soldat mit einer Frontzahnfraktur vorstellt. Im Auftakt wird aus Mangel an Zeit, Erfahrung und Fortbildung eine schnelle, mehr oder minder liebevolle Wurzelkanalbehandlung durchgeführt, die ihren Namen kaum verdient hat. Auf die gut gemeinte Tat folgt die Kronenversorgung, welche danach beim Oralchirurgen mit der Wurzelspitzenresektion garniert wird. Den letzten Akt läutet die anschließende Längsfraktur des Überbleibsels ein, die dann mit der Extraktion und anschließender Implantation veredelt wird. Zum bitteren Ende der Tragödie leuchtet das Sonnenlicht als Scheinwerfer auf eine anmutig titanblitzende Implantatschulter, die sich nun prominent in den Dreiklang der rot-weiß-silber Ästhetik einfügt.
Dieses humoristisch gezeichnete Bild ist natürlich der schlimmste mögliche Ausgang eines Frontzahntraumas, aber keines Wegs eine Fiktion.
Mir ist bewusst, dass schon die Bewältigung des klinischen Alltags eine Herausforderung darstellt. Der stetige Personalmangel und der enorme bürokratische Aufwand tragen ihr Übriges dazu bei. Dennoch sollten wir als Truppenzahnärzte absolut sattelfest in einer unserer wesentlichsten Aufgaben sein, der dentalen Traumatologie. Schließlich beeinflusst die Erstversorgung am Unfalltag maßgeblich die langfristige Prognose der Heilung. Zur Primärtherapie bei Zahnfrakturen und Dislokationen zählt die umfangreiche Befunderhebung, Diagnostik, Röntgen und Therapieplanung. Die Wege der Soldatinnen und Soldaten an ein Frontzahntrauma zu geraten sind mannigfaltig und doch ähneln sie sich zumeist. So auch in der folgenden Fallbeschreibung, die eine alternative Behandlungsmöglichkeit aufzeigen soll.
Im August 2022 stellte sich der 28-jährige Patient als akuter Schmerzpatient bei mir vor. Er hatte sich den Zahn 11 während einer Schiffsübung der Marine frakturiert, konnte aber innerhalb von weniger als zwei Tagen nach dem Unfall zu uns verlegen.
Die Diagnostik umfasste zunächst den klinischen Befund sowie ein Röntgenbild. Die Dokumentation wurde mittels Frontzahntraumabogen der Deutschen Gesellschaft für Zahn-, Mund und Kieferheilkunde e. V. (DGZMK) durchgeführt. Die Primärtherapie umfasste weiterführend die lokale Anästhesie sowie die Sicherstellung der absoluten Trockenlegung mittels Kofferdams.
Therapieziel war es, die exponierte Pulpa vital zu halten und diese hierfür partiell zu reduzieren um potenziell entzündete und irreversibel geschädigte Pulpaanteile zu entfernen. Im Anschluss galt es, sowohl die Wunde der Pulpa als auch die des Dentins und des Schmelzes zu decken. Nach erfolgreicher Trockenlegung habe ich die Fraktur mit physiologischer Kochsalzlösung gereinigt und die Pulpa mit einem hochrotierenden Diamanten um ca. 2 mm gekürzt.
Nach Spülung mit Natriumhypochlorid konnte die Blutstillung in unter zwei Minuten gewährleistet werden. Ich platzierte eine Schicht hydraulischen Kalziumsilikatzement (Mineral Trioxide Aggregate (MTA)) auf der Pulpa und deckte die Wunde mit Unterfüllung und einem Kompositaufbau ab.
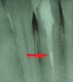
Dem Patienten wurden zunächst weiche Kost, eine Analgesie mittels Ibuprofen sowie eine Sportschutzschiene empfohlen. Die angesetzten Recall-Termine verliefen komplikationslos. Die letzte Kontrolle konnte fast drei Jahre später, am 07. März 2025, durchgeführt werden. Die Sensibilitätsprobe war positiv, der Perkussionstest unauffällig. Der Zahn war schmerz- und beschwerdefrei. Auch das angefertigte Röntgen in Form eines Zahnfilmes zeigt keine apikalen Aufhellungen, Resorptionen oder andere Auffälligkeiten.
Zusammenfassend kann die Therapie als Erfolg gewertet werden. Die Wurzelkanalbehandlung bei Frontzahntraumata wurde in der Zahnmedizin lange Zeit als das Standardverfahren angesehen, vor allem, um Zähne zu retten und Komplikationen wie Infektionen und Abszesse zu verhindern. So wurden in der Vergangenheit häufig Wurzelkanalbehandlungen als erste Behandlung ungeachtet des eigentlichen Befundes durchgeführt. Diese Lehrmeinung hat sich jedoch in den letzten Jahrzenten weiterentwickelt und grundlegend geändert. Das Vorgehen und der Umfang der Therapie wird nun anhand vieler unterschiedlicher Faktoren, wie die Art des Traumas, dem Zustand des Zahnes, der Zeit bis zur Primärtherapie und der Reaktion des Zahnes auf die Behandlung, entschieden. Die Wurzelkanalbehandlung stellt also nicht mehr das universelle Standardverfahren bei Frontzahntraumata dar. Vielmehr trifft der Behandler nun eine individuelle und situationsbedingte Therapieentscheidung.
Wehrmedizin und Wehrpharmazie 2 / 2025
Oberstabsarzt K. Maximilian Stolz
Sanitätsversorgungszentrum Seedorf
Zahnarztgruppe
Twistenberg 120
27404 Seedorf








