Primary epitheloid cell tumour (PEComa) of the lung – a rare case in thoracic surgery
Aus der Klinik für Allgemein-, Visceral- und Thoraxchirurgie (Leitender Arzt: Oberstarzt Prof. Dr. med. R. Schmidt) des Bundeswehrkrankenhauses Ulm (Chefarzt: Generalarzt Dr. med. A. Kalinowski)
Richard Grigori Karpa, Christian Beltzer, Christine Ute Schopf, Roland Schmidt, Christoph Zischek
WMM, 60. Jahrgang (Ausgabe 3-4/2016: S. 106-109)
Originalarbeit
Zusammenfassung
In der zentralen interdisziplinären Notaufnahme des Bundeswehrkrankenhauses Ulm stellte sich ein 25-jähriger Patient mit linksseitigen Thoraxschmerzen vor. Die Anamnese deutete zunächst auf einen Pneumothorax hin. Eine radiologische Abklärung (CT) erbrachte den Verdacht auf eine thorakale Raumforderung und einen Hämatothorax links. Der Patient entwickelte zwei Tage nach Aufnahme eine Schocksymp-tomatik.
Bei der daraufhin durchgeführten Thorakoskopie zeigten sich ein raumgreifender Tumor und ein Hämatothorax mit etwa 1,5 l Blut in der Brusthöhle bei persistierender Blutung, was eine Thorakotomie mit kompletter Entfernung des Tumors und Blutstillung erforderte. Die histologische Aufarbeitung erbrachte die Diagnose eines inflammatorischen myofibroblastischen Tumors.
Der Fallbericht beschreibt eine Seltenheit in der Thoraxchirurgie, welche als Differenzialdiagnose bei jungen Patienten bei nach körperlicher Belastung plötzlich auftretenden Thoraxschmerzen in Betracht kommt. Prävalenz sowie differenzialdiagnostische und therapeutische Aspekte perivaskulärer epitheloider Neoplasien der Lunge werden diskutiert.
Schlüsselwörter: Inflammatorischer myofibroblastischer Tumor, Thoraxschmerz, PECom, benigner Lungentumor, Hämatothorax, thoraxchirurgische Resektion
Summary
A 25 year old man introduced himself in our interdiscipli-nary emergency department showing thoracic pain after physical exercise. The first impression led to the diagnosis pneumothorax/tension pneumothorax. The result of radiological diagnostics (CT) was suspicious for a thoracic tumor and hematothorax.
Because of the development of hemodynamic shock symptoms after two days a thoracoscopic intervention was performed which showed an extended tumor and a hematothorax with approximately 1.5 l blood in the thoracic cavity, leading to an immediately conducted thoracotomy with a complete resection of the tumor and hemostatis. Microscopi-cal examination of the tumor resulted in the diagnosis: Inflammatory myofibroblastic tumour.
Our case demonstrates an atypical diagnosis for thoracic pain in young patients. Prevalence as well as differential diagnosis and therapeutical aspects of inflammatory myofibroblastic lung tumors are discussed.
Keywords: inflammatory myofibroblastic tumor, thoracic pain, PEComa, benign lung tumor, hematothorax, thoracotomy
Einleitung
Perivasculäre epitheloidzellige Tumore (PECom, engl. PECOMA) sind Neoplasien, die den Weichgewebstumoren zugeordnet sind [1, 2]. Diese werden in benigne, maligne und intermediäre Formen eingeteilt [1]. Der zu den PEComen zählende inflammatorische myofibroblastische Tumor zählt zu den intermediären Typen. Als solcher hat er sowohl benigne als auch maligne Eigenschaften. Zu den benignen gehört die Eigenschaft, selten zu metastasieren. Malignitätskriterien der PEComen sind lokal infiltratives / destruierendes Wachstum, Nekrosen, ein hoher Mitoseindex sowie Metastasierung [1, 2, 3].
PECome haben eine charakteristische perivaskuläre Lokalisa-tion. Diejenige Eigenschaft jedoch, welche sie klassifiziert, beruht auf der immunhistochemischen Anfärbbarkeit mit Antikörpern wie HMB-45, S 100 und weiteren glattmuskulären Markern [3, 4, 5]. Dieses wurde erstmals Anfang der 90er Jahre bei Angiomyolipomen beschrieben und lässt sich bei einer Vielzahl von Tumoren finden [1, 2, 4, 6].
PECome können an jeder Lokalisation entstehen [2]. Primäre Lungentumore jedoch sind selten und wenig beschrieben [1, 7, 8].
Fallbericht
Verlauf
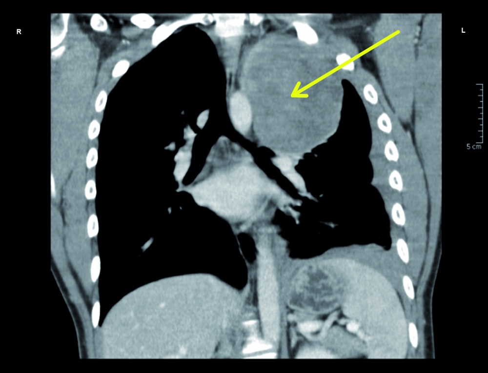
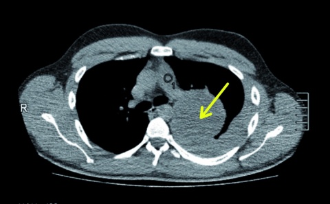
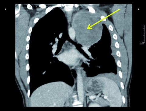
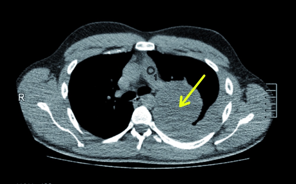
In der Nacht stellte sich ein 25-jähriger Mann in der zentralen interdisziplinären Notaufnahme des Bundeswehrkrankenhauses (BwKrhs) Ulm vor. Er war aus einer nahegelegenen Klinik aufgrund von atemabhängigen linkseitigen Thoraxschmerzen mit unklarem röntgenologischen Befund zugewiesen worden. Bei der Anamnese berichtete der Patient, dass er wenige Stunden vor der ersten Arztvorstellung beim Sport einen plötzlichen linksseitigen thorakalen Schmerz verspürt habe. Dieser sei persistent, atemabhängig und wurde von ihm mit einer Intensität von 8 (numerische visuelle Analogskala von 0 – 10) beschrieben. In einer Computertomographie des Thorax (diese wurde ohne Kontrastmittel als Trauma-CT durchgeführt, da zu diesem Zeitpunkt zunächst kein Verdacht auf das Vorliegen einer Tumorerkrankung bestand) war eine hypervaskularisierte Raumforderung von 9 x 9 x 11 cm im linken Oberlappen zu sehen. Ebenso wurde bei dieser Untersuchung der dringliche Verdacht auf einen Hämatothorax geäußert. Aufgrund einer möglicherweise erforderlichen thoraxchirurgischen Intervention mit gegebenenfalls notwendiger konsekutiver intensivmedizinischer Betreuung wurde der Patient zu uns verlegt.
Die stationäre Aufnahme erfolgte aufgrund der ausgeprägten Klinik und dem Verdacht auf das Vorliegen eines Hämatothorax. Hinzukam die thorakale Raumforderung mit unklarer Genese, deren Ätiologie abzuklären war. Zunächst ging man hierbei von einer eingebluteten Zyste aus; des Weiteren stand eine Neoplasie mit unklarer Differenzierung im Raum. Zur Histologiebestimmung wurden einige Methoden diskutiert, wobei sich eine Thorakoskopie als am besten geeignet ergab. Diese war im weiteren Verlauf geplant.
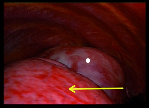
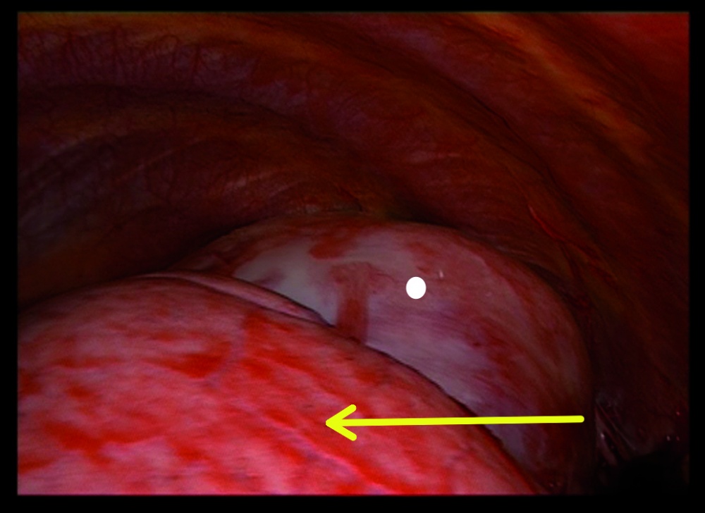
Zwei Tage nach Aufnahme zeigte der Patient einen starken Hämoglobinabfall von 12,4 g/dl auf 7,9 g/dl, so dass eine notfallmäßige Thorakoskopie zur Blutstillung und Histologiegewinnung durchgeführt werden musste. Auf eine erneute Bildgebung präoperativ wurde hierbei aufgrund eines symptomatischen Patienten mit Kurzatmigkeit und niedrigem Hämoglobinwert verzichtet. Bei dem Eingriff bestätigte sich der initiale Verdacht eines Hämatothorax. Es konnten 1,5 l teils frischen, teils mit Koageln durchsetzten Blutes abgesaugt werden. Es zeigte sich links apikal ein von der dorsalen Thoraxwand ausgehender und dort adhärenter Tumor mit erkennbarem Tumorstiel, von welchem die Blutung ausging. Aufgrund der thorakoskopisch schlechten Zugänglichkeit der Blutung und der Kontaktfläche zur Thoraxwand wurde eine Thorakotomie durchgeführt, die Blutung gestillt und der Tumor in toto entfernt.
Postoperativ hatte der Patient nach zweimaliger Transfusion von insgesamt zwei Erythrozytenkonzentraten eine rasche Rekon-valeszenz, die Hb-Werte blieben stabil. Die intraoperativ ein-gebrachten Thoraxdrainagen konnten am dritten und fünften postoperativen Tag ohne Restpneumothorax oder Anzeichen -einer Fistelung gezogen werden. Die letztmalige Röntgen-Kon-trolle des Thorax nach Zug der letzten Drainge zeigte regelrecht entfaltete Lungenanteile ohne Restpneumothorax. Des Weiteren zeigten sich hierbei links apikal einliegendes Clipmaterial, ansonsten altersentsprechend unauffällige Thoraxorganstrukturen.
13 Tage nach dem Eingriff entließen wir den Patienten ohne Krankheitsresiduen aus der stationären Behandlung. Die Dauer der stationären Behandlung war in einer prolongierten Schmerzsymptomatik und der psychischen Belastung des Patienten begründet, der in sehr jungem Lebensalter mit einer Tumor-Dia-gnose konfrontiert wurde. Deshalb wurde er bis zum Vorliegen des vollständigen Ergebnisses der histologischen Untersuchung und des Tumorboard-Protokolls stationär betreut.
Operative Therapie
Bei der Thorakoskopie zeigte sich die Lunge makroskopisch unauffällig und nur durch kleinere Adhäsionen im Bereich des Oberlappens mit dem Tumor verbunden. Der Tumor selbst war solide, von einer Kapsel umgeben, bindegewebig und apikal dorsal an der Thoraxwand adhärent. Hinter dem Tumor bestand weiterhin eine Blutung, die thorakoskopisch nicht erreicht werden konnte; daher erfolgte der Entschluss zur Thorakotomie. Ob er ursprünglich von der Lunge oder der Thoraxwand ausging, ließ sich intraoperativ nicht mit letzter Sicherheit klären.
Die apikale Incision wurde zur anterolateralen Thorakotomie verlängert und eine Ringfolie eingebracht, um das potenzielle -Risiko einer Tumorverschleppung zu minimieren. Wegen der lokalen Blutungsintensität und der nicht gegebenen Mobilisierbarkeit des Tumors sowie aufgrund von pleuralen Adhäsionen wurde die Indikation zur extrapleuralen Entfernung des Tumors gestellt. Hierzu erfolgte eine Incision der Pleura parietalis ungefähr 1 cm von der Anheftungsstelle des Tumors entfernt, gefolgt von einer atypischen Lungenresektion im Sinne einer Keilresektion der Segmente zwei und drei des linken Lungenoberlappens.
Pathologische Diagnostik
Makroskopisch zeigte sich ein gekapseltes, rundliches Exzisat von 10 x 9,5 x 7,5 cm von der Thoraxkuppe mit einseitig anhängendem Fettgewebe von bis zu 1,2 cm Dicke. Die Schnittflächen waren solide gelblich insgesamt induriert. Zentral sowie leicht lateral gelegen fanden sich zwei kräftige, gelbe, teils rötlich tingierte Herdbefunde von bis zu 1,7 cm im Durchmesser.
Bei der histologischen Untersuchung zeigte sich ein spindelzelliges, unscharf umschrieben wachsendes, lobuläres Tumorproliferat mit Einschluss zahlreicher, faszikelartig verlaufender Fibroblasten wie auch Fibrozyten. Das Stroma war hyalinisiert und von einem lockeren, mischzelligen Entzündungsinfiltrat mit sektorförmiger Aggregation von Lymphozyten, Histiozyten wie auch reichlich eosinophilen Granulozyten durchsetzt. Vereinzelt kamen Nekrosebezirke wie auch fibrosierte Septenbildungen zur Darstellung. Eine erhöhte Mitoseaktivität konnte nicht dargestellt werden.
Nach Durchführung einer ergänzenden, immunhistochemischen Färbetypisierung zeigte sich eine kräftige Anfärbbarkeit für die Proteine S-100 wie auch WT 1 (Wilms-Tumor-Protein). Eine abgeschwächte, aber dennoch spezifische Kennzeichnung erfolgte durch den Pan-Zytokeratin-Antikörper, den muskulären Marker Caldesmon und das Protein bcl-2.
Der nukleäre Proliferationsmarker Ki-67 kennzeichnete 4 – 8 % der Zellelemente, hiervon wurden mit Sicherheit auch einige inflammatorische Anteile miterfasst.
Diskussion
Perivaskuläre epitheloide Neoplasien der Lunge sind seltene Entitäten. Bis 2010 wurden weniger als 50 solcher Fälle in der Literatur beschrieben [7, 8]. Der hier vorliegende Fall hat insofern besonderen Charakter, als dass der Patient ein 25 Jahre alter Mann war. Diese Tumoren können zwar sowohl bei Männern als auch bei Frauen in jedem Alter auftreten, dennoch nennen Kasuistiken häufiger weibliche Patienten in einem Lebensalter zwischen 35 und 45 Jahren [8, 9, 10, 13].
Differentialdiagnostisch ist auch an einen inflammatorischen Pseudotumor zu denken. Dieser kann in ähnlicher Weise in Bezug auf Lage und makroskopisches Erscheinen imponieren. Beim inflammatorischen Pseudotumor handelt es sich jedoch um eine lokale Ansammlung von Zellen des Immunsystems aufgrund einer Autoimmunerkrankung oder einer begleitenden Infektion. Es können wie beim inflammatorischen myofibro-blastischen Tumor lokale Nekroseareale auftreten. Im Gegensatz zum inflammatorischen myofibroblastischen Tumor handelt es sich aber nicht um eine Neoplasie mit glattmuskulären Anteilen [14, 15].
Die Symptomatik war insofern besonders außergewöhnlich, als dass der Tumor in diesem Fall durch atemabhängige linksthorakale Schmerzen, die nach dem Sport auftraten, auffällig wurde. Ex post ist dies möglicherweise durch die brustwandständige Lokalisation erklärbar. Anamnese und körperliche Untersuchung wiesen anfangs auf einen Pneumothorax hin, was zur radiologischen Diagnostik (CT) führte. In anderen Falldarstellungen wird in der Regel von Hämoptysen, Fieber und Anämie als Erstsymptom berichtet [9, 11], oder der Tumor wurde bei bis dahin asymptomatischem Verlauf als Zufallsbefund bei anderweitig indizierten radiologischen Untersuchungen diagnostiziert [12]. Als Besonderheit imponierte in unserem Fall ein stark ausgeprägter Hämatothorax, der einen sofortigen Notfalleingriff erforderte. Diese Symptomatik wurde nach dem Ergebnis unserer Literaturrecherche als Komplikation eines primären PECom der Lunge bisher nicht beschrieben.
Bei der hier beschriebenen Entität handelte es sich um einen Tumor vom intermediären Typ [1, 4, 6, 8], bei dem Benignitäts- wie auch Malignitätskriterien erfüllt waren. Die Tumorgröße (größer als 5 cm) sowie teilweise nekrotische Anteile gehören zu den Malignitätskriterien. Der niedrige Mitoseindex ebenso wie das nicht infiltrative Wachstum zeigen hingegen benignen Charakter [1, 4, 6].
Obwohl aufgrund der Seltenheit eine Empfehlung zur Therapie dieser Tumore nicht eindeutig ausgesprochen werden kann und Nachbeobachtungen des Gesamtüberlebens, des krankheits-freien Überlebens und eine lokoregionäre Tumorkontrolle notwendig sind, gibt es deutliche Anhaltspunkte dafür, dass diese Tumoren primär operativ angegangen und hierbei als Ganzes entfernt werden sollen [7, 9, 11, 12, 13].
Kernaussagen/Fazit
- Perivaskuläre epitheloide Neoplasien (PECome) können prinzipiell jedes Alter betreffen und kommen bei beiden Geschlechtern vor. Jedoch finden sich bislang seltener Fallberichte von jungen männlichen Patienten.
- Als Komplikation kann eine hämodynamisch relevante Blutung auftreten.
- Der Thoraxschmerz als Leitsymptom für diese Tumorentität ist eine Seltenheit, welche in einem vergleichbaren Kontext noch nicht beschrieben wurde.
- Bei einem inflammatorischen myofibroblastischen Tumor handelt es sich um einen benignen, primär resezierbaren Lungentumor.
- Die thoraxchirurgische Resektion eines inflammatorischen myofibroblastischen Tumors der Lunge in sano ist in der Zusammenschau von vorliegenden Daten sowie nach dem Ergebnis unseres Falles Therapie der Wahl.
Literatur
- Peterson I: Die neue WHO Klassifikation und aktuelle Ergebnisse in der Weichteiltumorpathologie. Der Patholge 2013; 34: 436-448.
- Klöppel/Kreipe/Remmele:. Pathologie – Verdauungstrakt und Peritoneum. 3. Auflage 2013, Springer Verlag; 826-828.
- Gaffety MJ, Milles SE, Ritter JH.:. Clear cell tumors of the lower respiratory tract. Semin Diagn Pathol 1997; 14: 222-132.
- Martignoni G et al.: PEComas: the past, the present and the future. Virchows Arch 2008; 452:119-312.
- Sale GE, Kulander BG: ‘Benign‘ clear- cell tumor (sugar tumor) of the lung with hepatic metastases ten years after resection of pulmonary primary tumor. Arch Pathol Lab Med 1988; 112: 1177-1178.
- Folpe AL et al.: Perivascular epithelioid cell neoplasms of soft tissue and gynecologic origin: a clinicopathologic study of 26 cases and review of the literature. Am J Surg Pathol. 2005 Dec; 29(12):1558-1575.
- Vijayabhasker R et al.: PEComa of the lung, J Cancer Res Ther. 2010 Jan- Mar; 6(1): 109-111.
- Kosjerina Z et al.: Clear cell “sugar“ tumor of the lung – case report. Cent. Eur. J. Med. 2013; 8(1): 41-44.
- Santana AN et al.: A rare cause of hemoptysis: benign sugar (clear) cell tumor oft he lung. Eur J Cardiothorac Surg 2004; 25: 652-654.
- Liebow AA, Castleman B: Benign “clear cell tumors“ of the lung. Yale J Biol Med 1971; 43: 213-222.
- Gora-Gebka M et al.: The “sugar“ clear cell tumor of the lung- clinical presentation and diagnostic difficulties of an unusual lung tumor in youth. J Pediatr Surg 2006; 41(6): 27-29.
- Bagheri R et al.: Evaluation of the results of surgery treatment in patients with benign lung tumors. Lung India. 2015; 32(1): 29-33.
- Fackeldey V, Göller T, Becker HP, Masur y: Sugar tumor of the lung-case report and review of the literature. Chirurg 2003; 74(7): 683-686.
- Frey A et al.: Inflammatory pseudotumor of the lung in hilus lymph node histoplasmosis. Chirurg 1998;, 69(10):1001-1004.
- Uetsuji S et al.: Inflammatory pseudotumor of the liver: report of a case and review of the literature. Surg Today 1996; 26(7): 517-521.
Bildquelle: Bundeswehrkrankenhaus Ulm
Originalarbeit
Manuskriptdaten:
Eingereicht: 28.09.2015
Revidierte Fassung angenommen: 13.01.2016
Zitierweise:
Karpa RG, Beltzer C, Schopf CU, Schmidt R, Zischek C: Eine thoraxchirurgische Rarität am Bundeswehrkrankenhaus Ulm – das primäre PECom der Lunge. Wehrmedizinische Monatsschrift 2016; 60(2): 106-109
Eine Englische Version des Textes finden Sie hier.
An English version of this article you will find here.
Datum: 21.03.2016
Quelle: Wehrmedizinische Monatsschrift 2016/3-4








