Lebensrettende und einsatzrelevante Höhlenkompetenz!
Aus der Abteilung für Allgemein-, Viszeral- und Thoraxchirurgie (Ltd. Arzt: Oberstarzt Prof. Dr. R. Schwab) am Bundeswehrzentralkrankenhaus Koblenz (Chefarzt: Generalarzt Dr. J. Brandenstein)
Thorakale Verletzungen sind für ca. 10 – 25 % der traumarelevanten Todesfälle verantwortlich und stellen die dritthäufigste Traumafolge bei schweren Verkehrsunfällen nach Schädel-Hirn- und Extremitätenverletzungen dar. In Deutschland überwiegt in 95 % das stumpfe Thoraxtrauma. Wenn auch in der Inzidenz ansteigend, sind hierzulande penetrierende Thoraxverletzungen eher eine Seltenheit. Von diesen 5 % handelt es sich in knapp 2 % um Stichverletzungen, in 0,6 % Schussverletzungen und in 2,6 % um andere Entitäten.
Ursache von thorakalen Stichverletzungen sind in ca. 70 % Gewaltverbrechen, die restlichen 30 % beruhen zu etwa gleichen Anteilen auf Unfällen und Suizidversuchen. In Kriegsgebieten erhöht sich die Prävalenz des penetrierenden Thoraxtraumas relevant. So zeigen aktuelle US-amerikanische Auswertungen aus dem Afghanistankonflikt, dass die Thoraxtraumarate der US-Soldaten bei über 10 % lag. Im Gegensatz zum westlichen Europa lag der Anteil des penetrierenden Traumas bei über 60 %. Wiederum über 60 % dieser Verwundeten wurden Opfer von „Blast-Injuries“. Der Mechanismus des Explosionstraumas führt zur Kombinationsverletzung aus stumpfem, penetrierendem, Inhalations- und Verbrennungstrauma und stellt eine große Herausforderung für das gesamte behandelnde Team dar. Die Inzidenz penetrierender thorakaler Verletzungen erhöht sich in Kriegs- und Einsatzgebieten sowie nach Terror-Anschlag-Traumen um ein Mehrfaches. Nicht zuletzt die Anschläge von London, Paris und Brüssel haben auf alarmierende Weise gezeigt, dass Kenntnisse der notfallchirurgischen Maßnahmen beim penetrierenden Thoraxtrauma unverzichtbar sind. Die Inzidenz der penetrierenden Verletzungen der Terror-Opfer vom November 2015 in Paris lag bei 16 %.
Historie
Die ersten in Ägypten dokumentierten Thoraxverletzungen datieren bereits aus dem 16. Jahrhundert vor Christus. Auf Papyrusrollen gemalt galten sie damals als nicht mit dem Leben vereinbare Verletzungen. Kriegerische Auseinandersetzungen waren, wie in anderen chirurgischen Bereichen auch, Nährboden für die stetige Weiterentwicklung der thoraxchirurgischen Behandlungsformen. Bereits im 17. Jahrhundert. bedurfte es daher sieben Jahre der Ausbildung (Collegium medico-chirurgicum 1685), spezieller Praktika bei „Heeres“-Feldschern, Operationskursen und abschließenden Examina zur chirurgischen Ausbildung. Insbesondere Preußen war in der damaligen Zeit durch eine vergleichsweise geringe Bevölkerungsdichte gekennzeichnet. So musste es aufgrund der erhöhten Frequenz kriegerischer Auseinandersetzungen die Ausbildung seiner Chirurgen stetig verbessern, um möglichst hohe Überlebensraten zu erreichen. In der Mitte des 20. Jahrhunderts gewann das Thoraxtrauma aufgrund der beiden Weltkriege enorm an Bedeutung. Hier waren thorakale Verwundungen für über ein Drittel der Gefallenen die Todesursache. Bereits in den vierziger Jahren des vergangenen Jahrhunderts wurde dagegen über die Durchführung von Thorakoskopien bei penetrierenden Verletzungen in Brasilien berichtet. Lässt sich die stumpfe Thoraxverletzung heute am ehesten auf Verkehrsunfälle zurückführen, sind Militärchirurgen nach wie vor häufiger mit der penetrierenden Thorax- oder sogar der Kombinationsverletzung konfrontiert. Entwicklungen und Optimierungen der sog. „Body Armour“ haben dabei ihrerseits zu verbesserten Überlebensraten beigetragen.
In der Vergangenheit bestand die Therapie des penetrierenden Thoraxtraumas nahezu ausschließlich in der Durchführung einer konventionellen Thorakotomie. Mittlerweile etablieren sich bei hämodynamisch stabilen Patienten die minimalinvasiven Therapieansätze (VATS, videoassistierte Thorakoskopie) als Alternative. So wurde die Mehrzahl der in den letzten fünf Jahren im BwZK Koblenz operierten Patienten mit penetrierender Thoraxverletzung nach hämodynamischer Stabilisierbarkeit erfolgreich minimalinvasiv operiert.
Etabliert haben sich auch endovaskuläre Verfahren im interventionellen Ansatz. So sollte gemäß aktueller Leitlinie des Polytraumas, die
technische und anatomische Machbarkeit vorausgesetzt, bei thorakalen Aortenrupturen der Implantation einer Endostentprothese gegenüber dem offenen Revaskularisationsverfahren der Vorzug gegeben werden.
Sowohl stumpfe als auch penetrierende Thoraxverletzungen können zu relevanten Verletzungen mit konservativ nicht korrigierbarer hämodynamischer Instabilität führen. Grundsätze der Therapie sind in Tab. 1 abgebildet.
Spezielle Verletzungsformen
Mit Verletzung der Pleura kann es zum Pneumonthorax, Spannungspneumothorax oder offenen Pneumothorax kommen. Abhängig vom Mechanismus entsteht der Pneumothorax als Folge direkter penetrierender Verletzungen oder durch Scherverletzungen bei Rippenfrakturen mit Parenchymverletzung der Lunge bzw. des Bronchialsystems beim stumpfen Trauma. Es sollte dabei beachtet werden, dass ein 2 cm vollständiger Saum bereits 50 % Volumeneinschränkung des Parenchyms ausmachen. Bei 5 cm liegt eine Volumenreduktion von über 80 % vor. Ein kleiner Pneumothorax kann auch im Trauma ohne Drainagenanlage klnisch kontrolliert werden. Das ist möglich, solange der Patient asymptomatisch bleibt, der apikale Abstand der Lunge in der Bildgebung 2cm nicht übersteigt oder der Pneumothorax lediglich auf computertomographischen Aufnahmen zu erkennen ist (okkulter Pneumothorax).
Bei respiratorischer Unauffälligkeit und nicht beatmeten Patienten werden bei okkultem Pneumothorax konventionelle Röntgenkontrollen zur Verlaufskontrolle empfohlen.
Die Indikation zur Drainagenanlage sollte aber umso enger gestellt werden, je komplexer das Verletzungsmuster des Patienten ist und umso weniger eine reduzierte Gasaustauschfläche vom Patienten toleriert würde.
Die größte Gefahr des Pneumothorax besteht in der seltenen, aber vital bedrohlichen Entwicklung einer Spannung.
Der Spannungspneumothorax sollte beim Thoraxtrauma anhand der in Tab. 2 aufgeführten Kriterien sicher zu stellen sein. Gleichzeitig stellt er die führende, potentiell vermeidbare Todesursache beim Thoraxtrauma dar. Er hat eine hohe letale Potenz und führt in voller Ausprägung unerkannt und unbehandelt innerhalb von kurzer Zeit zum Tod. Ein Spannungspneumothorax darf nicht übersehen und muss umgehend, auch präklinisch, durch einmalige Nadelpunktion und anschließende Drainageneinlage entlastet werden.
Wird die Thoraxwand traumatisch derart geschädigt, dass ein offener Pneumothorax resultiert, besteht die Gefahr in der deutlich verminderten Ventilation und des reduzierten Gasaustauschs mit konsekutiver Hypoxie. Diese nimmt mit der Größe der Verbindung zwischen Pleuraraum und Außenwelt zu und ist ab einem Größenverhältnis von 2/3 des Tracheaquerschnittes akut lebensbedrohlich.
Die offene, thorakale Wunde muss abgedeckt, darf aber nur an drei Seiten luftdicht verklebt werden (Ventilmechanismus des Verbandes), da bei vollständigem Verschluss der Wunde und gleichzeitiger Parenchymverletzung wiederum ein Spannungspneuomothorax droht. Liegt eine Thoraxdrainage, kann die Wunde dicht abgeklebt werden.
In ca. 25 % der Thoraxtraumen kommt es zur intrathorakalen Gefäßverletzung und nachfolgenden Einblutung in den interpleuralen Raum (Hämatothorax).
Klinisch resultiert auf der betroffenen Seite ein abgeschwächtes Atemgeräusch mit gedämpftem Klopfschall und eingeschränktem Gasaustausch. Bei sonographisch oder im Röntgenbild erkennbarem Hämatothorax sollte die Drainageneinlage erfolgen. Kleinere venöse Blutungen führen zur geringen Ausprägung eines Hämatothorax, wobei die Blutungen in den meisten Fällen spontan sistieren. Arterielle Blutungen führen dagegen unter Umständen zum massiven, vital bedrohlichen Blutverlust. Wird die Einblutung bei Hb-stabilem Patienten nicht vollständig drainiert, kann eine zweite, gezielte Drainageneinlage erfolgen. Bei persistierender Blutung, stabiler Physiologie und führend thorakaler Verletzung wird zunehmend auch die videoassistierte Thorakoskopie (VATS) als operativer Ansatz gewählt. Bei hämodynamischer Instabilität erfolgt Notfallthoraktomie, in der Regel als antero-laterale Thorakotomie.
Lungenkontusionen entstehen durch massive, indirekte oder direkte Gewalteinwirkung auf den Thorax. Sie sind häufig und stellen kein begleitendes Phänomen, sondern eine relevante eigene Verletzungsentität dar. Je jünger der Patient ist, desto eher ist es möglich, dass es aufgrund der Rippenelastizität auch unter intakten knöchernen Verhältnissen zu schweren Kontusionen gekommen ist. Die Schnittbildgebung (CT) ist dem konventionellen Röntgenbild deutlich überlegen und zeigt bereits früh das initiale Ausmaß der Kontusion an. Die Problematik der Lungenkontusion besteht in der sich über Stunden und Tage entwickelnden pathophysiologischen Schädigung auf alveolarer Ebene. In den betroffenen Bereichen kommt es zu intraalveolären Einblutungen mit konsekutiver perfokaler Ödembildung (Capillary-Leak-Syndrom). Diese Schädigung kann sich auch auf vom Trauma ausgesparte pulmonale Anteile bis zum Vollbild des ARDS ausweiten. Im ungünstigsten Verlauf führt das Ödem zur Widerstandserhöhung, reduzierter Compliance und vital bedrohlicher Rechtsherzbelastung.
Bei geringen und mittelgradigen einseitigen Kontusionen ohne relevante Begleitverletzungen besteht bei respiratorischer Suffizienz grundsätzlich die Möglichkeit der intensivierten, nicht invasiven Beatmung durch „Assistierte Spontanbeatmung“ (ASB) oder CPAP-Beatmung (Continuous Positive Airway Pressure) unter O2-Gabe. Indikationen zur Intubation bestehen bei ausgeprägten oder beidseitigen Kontusionen, respiratorischer Dekompensation und höhergradigen Begleitverletzungen (Abdomen/SHT). Wichtig ist hierbei das früh- bzw. rechtzeitige Erkennen des Kontusionsausmaßes (Thorax-CT), so dass ein protektiver Therapieansatz gewählt werden kann. Unterstützend in der Atelektasenprophylaxe kann die frühzeitige Bronchoskopie mit dem Absaugen von Koageln und Sekret sein.
Ausgeprägte Quetschungen der Weichteile beim Thoraxtrauma, Hämatome und Schürfwunden z. B. als Gurtprellmarken sind Zeichen einer möglichen intrathorakalen schweren Verletzung der Lunge, des Herzens oder auch der großen Gefäße. Ein begleitendes Hautemphysem ist eindrucksvoller Nachweis von pleural nach subcutan entwichener Luft und bedarf bei korrekt liegender Thoraxdrainge keiner speziellen Therapie. Es wird durch die suffiziente pleurale Drainage behoben oder reduziert sich mit abnehmendem Fistelvolumen.
Großflächige thorakale Verbrennungen führen zur relevanten Beeinträchtigung der Atemmechanik und müssen frühzeitig escharotomiert werden.
Isolierte Rippenfrakturen sind beim Thoraxtrauma sehr häufig, gehen aber vergleichsweise selten mit weiteren intrathorakalen Verletzungen einher. Sie werden grundsätzlich konservativ behandelt. Schmerzfreiheit durch kombinierte Analgetikagabe und intensiviertes Atemtraining sind die Therapie der Wahl. Bei massiven Schmerzen im Rahmen einer Rippenserienfraktur sind zusätzliche interkostale Nervenblockaden mit Lokalanästhetika, eher jedoch die thorakale Anlage eines Periduralkatheters indiziert und wirksam. Eine Besonderheit stellt die sog. „Flail chest“ dar. Hierbei kommt es im Rahmen einer Rippenserienfraktur zur zweimaligen Fraktur der Rippen an unterschiedlicher Stelle, so dass sich ein ganzes Muskel-Knochen-Segment aus der regulären Atemmechanik löst. Die darunter liegende Lunge ist in der Regel schwer kontusioniert und im weiteren Verlauf hochgradig für Kontusionsfolgen gefährdet. Im betroffenen Areal kommt es zur inversen bzw. paradoxen Atmung und zum inspiratorischem Einzug des Fragmentes mit erschwerter Atemmechanik. Hier können in einzelnen Fällen auch operative Versorgungen sinnvoll sein.
Sternumfrakturen sind sehr selten, setzen ein starkes, direktes Trauma voraus und können mit vital bedrohlichen Begleitverletzungen des
Herzens oder der Wirbelsäule einhergehen. Die Wahrscheinlichkeit einer kardialen Begleitverletzung (Contusio cordis) ist bei Sternumfrakturen erfahrungsgemäß sehr gering. Dennoch ist allein aufgrund der möglichen Verletzung die entsprechende Diagnostik obligat (EKG/Enzymdiagnostik/ggf. Echokardiographie). Indikationen zur operativen Versorgung sind selten und eng zu stellen. Führt die Sternumfraktur zum instabilen Thorax oder bestehen grobe Dislokationen, können Cerclagen oder Plattenosteosynthesen sinnvoll sein.
Sehr selten, etwa in 0,5 % der Fälle, kommt es zur tracheobronchialen Verletzung bei Traumapatienten. Sie gehören zu den vital bedrohlichen Verletzungen, können initial leicht übersehen werden und sind mit einer hohen präklinischen Mortalität behaftet. Relevante tracheobronchiale Verletzungen finden sich in der Mehrzahl unmittelbar ober- oder unterhalb der Carina. Symptome sind in erster Linie der persistierende Pneumothorax nach erfolgreicher Drainagenanlage, ein darunter progredientes Hautemphysem, Dyspnoe, Hypoxie und Hämoptysen. Diagnostisch steht die Bronchoskopie im Vordergrund, bei der das gesamte Tracheobronchialsystem bis in die Segmentbronchien eingesehen werden muss.
Schlüsselmanöver ist hier die Sicherung eines effizienten Atemwegs, in der Regel die Intubation. Hierbei muss die Intubation wenn möglich videobronchoskopisch durchgeführt werden. Sofern dies nicht möglich ist kontrolliert und ggf. korrigiert werden, um Fehllagen oder weitere Verletzungen der Trachea zu vermeiden. Die Ziele einer bei zentralen Verletzungen in der Regel operativen Therapie bestehen in der Wiederherstellung der adäquaten Ventilation und dem Verhindern einer vital bedrohlichen Mediastinitis.
Die chirurgische Versorgung rückt mit vollständiger und zunehmender Defektgröße der Ruptur in den Vordergrund. Bei Eingriffen dieser
Versorgungsstufe ist die Therapie in einem thoraxchirurgischen Zentrum obligat anzustreben.
Verletzungen der Speiseröhre sind sowohl beim stumpfen, als auch beim penetrierenden Trauma ebenfalls selten und werden häufig erst verzögert diagnostiziert. Dysphagie und mediastinale und collare Emphysembildung können wegweisend sein. Die Kombination von Ösophagoskopie und CT-Untersuchung weist relevante ösophageale Verletzungen nach. Die Versorgung relevanter Ösophagusverletzungen ist ebenfalls in einem Zentrum anzustreben. Therapeutische Möglichkeiten sind der konventionelle Operationsansatz und die schonende, interventionelle gecoverte Stenteinlage. In beiden Fällen müssen Pleura und Mediastinum zur Infektsanierung drainiert bleiben. Postoperativ bzw. postinterventionell sollte das Magensekret über eine nach jejunal eingebrachte Trilumensonde mit gastralem Ablauf drainiert werden.
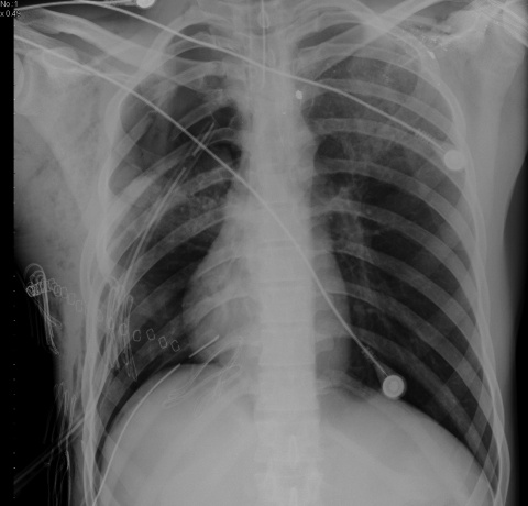
Patienten mit penetrierenden thorakoabdominellen Kombinationsverletzungen stellen eine große
Herausforderung für das behandelnde Team dar (Abb. 1). Sie sind gekennzeichnet durch einen hohen Bedarf an operativen Interventionen und gehen insbesondere als Zwei-Höhlen-Verletzung mit einer hohen Mortalität einher. Speziell Zwerchfellrupturen werden in signifikanter Anzahl, bis zu über 30 %, diagnostisch im Rahmen der CT nicht erkannt. Die mediane Laparotomie als transabdomineller Zugang stellt den Standard bei relevanten perforierenden thorakoabdominellen Verletzungen dar. Verletzungen wie Hohlorganperforationen oder Zwerchfellläsionen lassen keinen konservativen Ansatz zu. Die Laparoskopie bzw. Thorakoskopie ist hierbei gut zum Ausschluss von Hohlorganperforationen und insbesondere auch zum Nachweis nicht detektierter Zwerchfellverletzungen geeignet.
Notfalltherapien – Standards und Besonderheiten des Einsatzes
Penetrierende Verletzungen des Thorax werden grundsätzlich notfallmäßig mit der Anlage einer Thoraxdrainage behandelt. Diese stellt in über 80 % die einzige erforderliche invasive Behandlung dar.
Da die Anlage der Thoraxdrainage bzw. die thorakale Entlastungspunktion im Einsatz ein derart lebenswichtiges und lebensrettendes Manöver darstellt, werden im Rahmen der Einsatzvorbereitung auch nicht ärztliche Mitarbeiter im Rahmen einer Notkompetenz darin unterwiesen.
Die Indikationen zur Notfallthorakotomie sind in der Tab. 3 aufgeführt. Standardzugang der Thorakotomie im Einsatz ist die anterolaterale Thorakotomie im 4. oder 5. Interkostalraum. Sie lässt sich ohne „Lagerung“ des Patienten realisieren und garantiert die meisten operativen Optionen. Sie ist über eine quere Sternotomie auch auf die Gegenseite erweiterbar (sog. „Clamshell“-Thorakotomie). Die häufigsten Ursachen für eine Notfallthorakotomie im Einsatz sind Herzverletzungen, große Lungenparenchymverletzungen, Verletzungen von Interkostalgefäßen und großen thorakalen Gefäßen (Abb. 3).
Besondere Aufmerksamkeit erfordern penetrierende Thoraxverletzungen in Höhe der Mamillen oder kaudal davon. Hier liegt in 70 % eine Zweihöhlenverletzung mit einem Anstieg der Mortalität bis zu 30 % vor.
In der S3-Leitlinie Polytrauma/Schwerverletztenbehandlung wird die Thorakotomie bei einem initialen Blutverlust von > 1 500ml oder bei
einem fortwährenden Blutverlust von > 250 ml/h über mehr als vier Stunden empfohlen. In Bezug auf penetrierende Thoraxverletzungen, die ursächlich für eine hämodynamische Instabilität des Patienten sind, wird zudem die sofortige explorative Thorakotomie empfohlen. Ein minimal invasiver Ansatz hat die hämodyname Stabilität zur Voraussetzung.
Die hämodynamische Stabiliät entscheidet auch über die Intensität der diagnostischen Mittel. Während die Auskultation und klinische Untersuchung des Thorax immer zur Initialdiagnostik gehören, sollte eine CT-Diagnostik nur bei hämodynamischer Stabilisierbarkeit erfolgen.
Die Nofallthorakotomie im Schockraum ist Patienten in extremis vorbehalten. Grundsätzlich ist sie – bereits unter optimalen Bedingungen im Heimatland – mit einer schlechten Prognose verbunden. Faktoren, die sie zu einem frustranen Versuch werden lassen, sind eine mehr als zehnminütige erfolglose Reanimation beim stumpfen Trauma. Beim penetrierenden Trauma verbessert sich die Prognose der Notfallthorakotomie, so dass hier eher eine Indikation besteht. Die Traumapneumektomie stellt einen selten erforderlichen Eingriff für Patienten in extremis dar. Unter idealen Bedingungen wird bestenfalls von einer Überlebensrate von 42 % berichtet. Die Kombination von respiratorischer Insuffizienz, Rechtsherzversagen und Schock führt nahezu ausschließlich zu aussichtslosen letalen Verläufen.
Das penetrierende Thoraxtrauma stellt für den Einsatzchirugen eine Herausforderung dar und verlangt nach einer algorithmischen Strategie (s. Algorithmus penetrierendes Thoraxtrauma). Die Drainageneinlage beim penetierenden Thoraxtrauma sollte zudem von einer Antibiotikagabe flankiert werden.
Im Kriegs- und Einsatzgebiet sowie bei vorliegenden Triggern steht mit den Damage Control Techniken des Thorax (DCTS) ein relevantes Konzept zur Sicherung des Überlebens von Schwerverletzten zur Verfügung (Tab. 4). Hierbei konzentriert sich die operative Therapie auf das absolut unabdingbar Durchzuführende – für den Thorax also v. a. das Stillen der Blutung. Im Rahmen der DCTS steht – wie beim Abdomen auch – die Physiologie und nicht die Anatomie des Patienten im Vordergrund. Die Überlebensvorteile der DCS (Damage Control Surgery) wurden für thorakoabdominelle Verletzungsmuster mittlerweile mehrfach bewiesen. Sie ist ein Bestandteil, aber keinesfalls gleichzusetzen mit der Einsatzchirurgie.
Für den Einsatzchirurgen gilt es eine thoraxchirurgische Grundexpertise zu erwerben, die deutlich über die in der
Weiterbildungsordnung des Allgemeinchirurgen verankerten Vorgaben hinausgeht. Diese Grundexpertise kann durch operative Tätigkeit in thoraxchirurgischen Kliniken erworben werden und bedarf, wie die übrigen Facetten der einsatzchirurgischen Fähigkeiten, der Inübunghaltung. Das nicht nur für den Einsatzchirurgen, sondern auch für Einsatzmediziner relevanteste Manöver – die Anlage einer Thoraxdrainage durch Minithorakotomie – ist im Grundsatz so lebensrettend wie simpel. Dennoch benötigt es zur entsprechenden Sicherheit in der Durchführung eine relevante Anzahl unter Assistenz bzw. eigenständig eingelegten Thoraxdrainagen nach Minithorakotomie. Intrapulmonale oder parenchymatöse Organfehllagen nach Drainageanlage können Ausdruck dieser Problematik sein. Die Beherrschung der thorakalen „Höhlenverletzung“ ist von der Drainageneinlage bis zur DCTS vom Einsatzchirurgen zu fordern. So hoch der Anteil der Thoraxtraumen einer Klinik auch sein mag, so relevant ist doch auch die regelhafte thoraxchirurgische Elektivchirurgie. So lernen wir ein Musikstück auf einem Instrument zunächst auch nicht in der kompositionell vorgesehenen Endgeschwindigkeit, sondern erhöhen sie allmählich mit zunehmender Sicherheit in der Beherrschung der Partitur. Teilabschnitte werden nach wiederholtem Üben zu einem Ganzen zusammengeführt. In Anlehnung daran dient die elektivchirurgische Versorgung essentiell dem Erlernen von Teilschritten und komplexeren Präparationsabläufen unter kontrollierten und assistierten Bedingungen. Dies gewährleistet im Optimalfall die konsequente Umsetzung des Erlernten unter Zeitdruck, Stress und limitierten Bedingungen. z
Anschrift für die Verfasser:
Oberfeldarzt Dr. Christoph Güsgen
Bundeswehrzentralkrankenhaus Koblenz
Klinik für Allgemein-, Viszeral- und
Thoraxchirurgie
Rübenacher Str. 170
56072 Koblenz
E-Mail: [email protected]
OBERFELDARZT DR. MED. CHRISTOPH GÜSGEN
geb. am 19.07.1972 in Köln
Dienstlicher Werdegang…
- 1994 – 1996: Studium der Humanmedizin
- an der Heinrich-Heine-Universität Düsseldorf
- 1996 – 2000: Studium und Abschluss an
- der Julius-Maximilians-Unviversität Würzburg
- 2000 – 2002: Assistenzarzt Abt. II BwK Ulm unter OTA Prof. Dr. H. Gerngroß
- 2002 – 2004: Truppenarzt GebJgBtl 233 Mittenwald, SA/OStArzt
- 2004: Klinik für Allgemein-, Viszeral- und Thoraxchirurgie BwZK Koblenz
- 2006: Facharzt für Chirurgie
- 2009: Facharzt für Viszeralchirurgie/
- Spezielle Viszeralchirurgie, OFA
- seit 2013: Vorstandsmitglied/Sekretar der
- CAMIN (Chirurgische Arbeitsgemeinschaft
- fur Militar- und Notfallchirurgie) der
- Deutschen Gesellschaft fur Allgemein- und
- Viszeralchirurgie (DGAV)
- Regelmasige Teilnahme am Auslandseinsatz
- ISAF/KFOR seit 2004
Derzeitige Verwendung…
- seit 2011: Stellv. Direktor und Ltd. OA der Klinik für Allgemein-, Viszeral- und Thoraxchirurgie unter OTA Prof. Dr. R. Schwab
Datum: 17.08.2016
Quelle: Wehrmedizin und Wehrpharmazie 2016/2







