Fallbeispiel: Seminomatöser Hodentumor mit kontralateraler testikulärer intraepithelialer Neoplasie als Zufallsbefund
In unserer urologischen Ambulanz (Bundeswehrkrankenhaus Ulm) stellte sich ein 28-jähriger Patient zur Abklärung einer Mikrohämaturie vor. Diese wurde im Rahmen einer Eignungsüberprüfung zur Weiterverpfl ichtung beim Truppenarzt diagnostiziert. Der Patient war bei Vorstellung beschwerdefrei. Die Mikrohämaturie konnte sich in unserer Urinuntersuchung (Urin status) nicht bestätigen. Die allgemeine körperliche Untersuchung des Abdomens blieb unauffällig. Die Sonographie von Nieren und Blase ergab ebenfalls keinen Hinweis auf eine Ursache für die Mikrohämaturie.
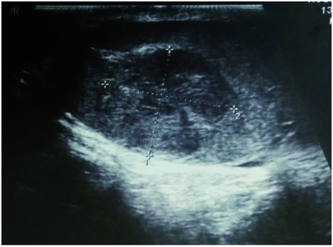
Generell erfolgte wie bei allen männlichen Patienten zusätzlich eine Palpation des äußeren Genitale. Hierbei zeigte sich eine von Seiten des Patienten bisher unbemerkt gebliebene kirschgroße Induration im Bereich des linken Hodens. Die nachfolgende Hodensonographie mit einem 7,5 MHz-Schallkopf erhärtete den Verdacht auf einen etwa 2 cm im Durchmesser messenden Tumor des linken Hodens (Abbildung); im rechten Hoden wurde eine Mikrolithiasis nachgewiesen. Die initial laborchemisch bestimmten Tumormarker AFP, ß-HCG und LDH waren normwertig.
Zwei Tage später erfolgte, nach Durchführung einer Kryokonservierungvon Sperma, die inguinale Ablatio testis linksseitig mit Entnahme einer kontralateralen Hodenbiopsie. Die histologische Untersuchung bestätigte den initialen Verdacht des Hodentumors. Es handelte sich um einen seminomatösen Keimzelltumor cT1, R0 mit kontralateraler testikulärer intraepithelialer Neoplasie (TIN). Im Staging (CT Thorax / Abdomen / Becken) ergab sich kein Hinweis auf eine Metastasierung, jedoch zeigten sich multiple kleine paraaortale Lymphknoten, welche in der Anzahl auffällig imponierten. Diese konnten als postoperative Reaktion erklärbar sein; es wurde deshalb eine radiologische Verlaufskontrolle empfohlen. Wir vereinbarten mit dem Patienten eine Wiedervorstellung zum CT-Re-Staging sechs Wochen postoperativ. Hier zeigten sich die Lymphknotenverhältnisse unverändert, sodass der Hodentumor als Stadium I nach Lugano klassifi ziert wurde, was für die weitere Behandlung eine Überwachungsstrategie indizierte. Bezüglich des rechten Hodens erging die Empfehlung zur Radiatio bei histologisch nachgewiesener TIN.
Hodenkrebs gehört zu den selteneren Krebsarten. Er macht einem Anteil von etwa 1,6 Prozent an allen Krebserkrankungen bei Männern aus. Im Gegensatz zu fast allen anderen Krebserkrankungen treten die meisten Falle in einem vergleichsweise frühen Alter, nämlich zwischen 25 und 45 Jahren auf. In dieser Altersgruppe ist Hodenkrebs der häufi gste bösartige Tumor bei Männern. Das mittlere Erkrankungsalter liegt entsprechend bei 38 Jahren.
Das Hodenkarzinom ist gut heilbar. Seit der Einführung von cis-Platin in die Chemotherapie des Hodenkrebses vor gut 30 Jahren gehört die Erkrankung zu den prognostisch günstigsten Tumoren. Entsprechend hoch sind die relativen 5-Jahres-Überlebensraten (zuletzt 97 %) und die Mortalität gering. (Quelle: http://www.rki.de/Krebs/DE/Content/Krebsarten/Hodenkrebs/hodenkrebs_node.html, aufgerufen am 28.04.2015)
Die (Verdachts-)Diagnose „Hodenkarzinom“ wird in aller Regel aus dem Tast befund gestellt. Deshalb möchten wir zusammenfassend für die truppenärztliche Praxis empfehlen, insbesondere junge Männer dahingehend zu beraten, eine regelmäßige Selbstuntersuchung der Hoden durchzuführen, um die frühzeitig Erkennung eines Hodentumors zu ermöglichen. Weiterhin sollte auch der Truppenarzt bei allen Grunduntersuchungen und insbesondere bei Vorliegen von Beschwerden oder Auffälligkeiten von Seiten des Urogenitaltraktes eine vollständige Untersuchung des Patienten einschließlich der genitalen Palpation durchführen, um eine solche Erkrankung nicht zu übersehen. Wäre in diesem Fall die Routine-Urinuntersuchung beim Truppenarzt wie bei uns in der Klinik ohne pathologischen Befund gewesen, wäre der Tumor nicht so früh entdeckt worden.
Datum: 09.06.2015
Quelle: Wehrmedizinische Monatsschrift 2015/5





