Truppenarzt
Truppenarzt
HumanmedizinNews

TRUPPENÄRZTLICHE PRAXIS

Funktioneller Schulterschmerz in der truppenärztlichen Sprechstunde – relevante Differenzialdiagnosen, Abklärung und Therapie Christoph Schulze¹, Hans Christian Köhler², Andreas Lison¹
Mehr
HumanmedizinNews

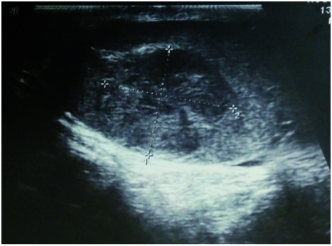
Hodentumore – Entdeckung muss kein Zufall sein

Fallbeispiel: Seminomatöser Hodentumor mit kontralateraler testikulärer intraepithelialer Neoplasie als Zufallsbefund In unserer urologischen Ambulanz (Bundeswehrkrankenhaus Ulm) stellte sich ein 28-jähriger Patient zur Abklärung einer Mikrohämaturie…
Mehr

Industriespiegel

Anzeige