Parodontalerkrankungen
Parodontalerkrankungen
NewsZahnmedizin

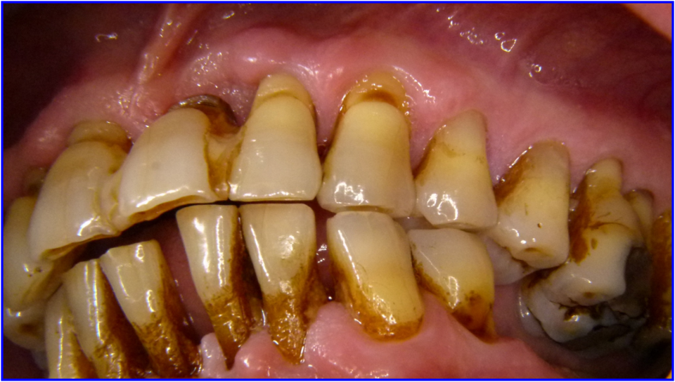
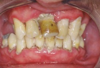
DER PARODONTALE NOTFALL IM EINSATZ

Im Jahre 2012 hatten 18,63% aller der in den Einsätzen der Deutschen Bundeswehr durchgeführten zahnärztlichen Notfallsitzungen eine parodontologische Ursache. In der Gesamtheit stellen diese 819…
Mehr
NewsZahnmedizin

DER PROTHETISCHE PFEIELR*

Abutments for fixed dental protheses and partial removable dental protheses Aus der Poliklinik für Zahnärztliche Prothetik am Universitätsklinikum Carl Gustav Carus der TU Dresden (Direktor:…
Mehr

Industriespiegel