Fortlaufendes Aktualisieren einer diagnostischen Gemengelage mit Fokus auf das zahnmedizinische Therapieziel
Gregor Gutsche, Joshua A. Akers, Markus Tröltzsch, Boros Gabor, Menne Nico
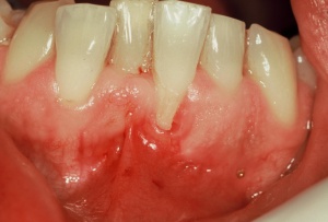
Wie einzelne zahnmedizinische Fachdisziplinen interagierend im klinischen Alltag gekoppelt sein sollten und welche Relevanz diesem interdisziplinären Aspekt zukommt, wird anhand einer Kasuistik mit einem Krankheitsverlauf von über drei Jahren verdeutlicht. Chronische destruktive Erkrankungen wie die Parodontitis, deren unmittelbare und weitläufige Effekte kardinale Folgen für jegliche weitere Therapieschritte haben, müssen nicht nur fachlich korrekt durchgeführt werden, sondern sicher und erfolgreich abgeschlossen sein. Zeitfenster für die Rekonvaleszenz oralchirurgischer und implantologischer Therapiephasen können effizient genutzt werden. Damit ein therapeutischer Planungsentwurf valide und zuverlässig zum anvisierten Ziel führt, ist nicht nur eine fachliche Expertise in vielen Teilbereichen der Zahnmedizin notwendig, sondern auch ein motivierbarer Patient, der intrinsisch agiert.
Eine erfolgreiche und nachhaltige zahnmedizinische Rehabilitation ist allein durch die zielorientierte Koordination aller beteiligten Fachdisziplinen realisierbar. Die zahlreichen Interaktionen der zahntragenden Gewebe, der kompletten Mundhöhle mitsamt den Übergängen zu benachbarten anatomischen Strukturen und deren physiologischen Funktionen zeigen, dass eine langfristig erfolgreiche, zahnerhaltende Lösung nur integrativ angegangen werden kann.
Den ausführlichen Artikel lesen Sie hier.
Wehrmedizinische Monatsschrift 7-8/2025
Für die Verfasser
Oberfeldarzt Dr. Gregor Gutsche
Zahnarztgruppe Sanitätsversorgungszentrum Cochem
An der Hauptwache, 56812 Cochem
E-Mail: [email protected]







