Anzeige
Zahnmedizin
Zahnmedizin
NewsZahnmedizin

Die Doppelkronenprothese

Eine robuste Versorgung des Lückengebisses Aus der Klinik für Zahnärztliche Prothetik, Alterszahnmedizin und Funktionslehre an der Charité ­Universitätsmedizin Berlin
Mehr
NewsZahnmedizin

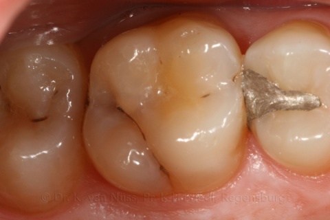
DIE ZAHNFARBENE KOMPOSITFÜLLUNG

Durch eine Verbesserung der Adhäsivtechnik ist es inzwischen möglich, auch größere Kavitäten oder Defekte im Seitenzahnbereich (Abb. 1) mit ästhetisch ansprechenden zahnfarbenen plastischen Füllungsmaterialien ästhetisch…
Mehr

Industriespiegel