Aus der Abteilung VII A – Fachzahnärztliches Zentrum (Leiter: Oberfeldarzt Dr. M. Lüpke) des Bundeswehrkrankenhauses Hamburg (Chefarzt: Generalarzt Dr. J. Hoitz)
A. Simka
Kalzifikationen, Stufenbildung, „Russian Red“, Via falsa – nur einige Stichworte um dem nicht spezialisierten Zahnarzt, wenn auch nicht die Schweißperlen auf die Stirn zu treiben, aber wenigstens einen inneren Dialog zu starten, um sich für oder gegen eine erneute Behandlung des Wurzelkanalsystems zu entscheiden. Zudem halten Revisionsbehandlungen nicht selten Überraschungen bereit, welche eine Neubewertung während der Entfernung des alten Wurzelfüllmaterials, der Aufbereitung des Kanalsystems oder der Obturation desselbigen notwendig erscheinen lassen. So werden Instrumentenfrakturen mit einer Prävalenz von 1 – 6 % angegeben, wobei ca. 0,5 – 5 % der frakturierten Instrumente auf Ni-Ti-Instrumente fallen.
In Deutschland werden nach Angaben der Bundeszahnärztekammer jährlich rund sieben Millionen Wurzelkanalbehandlungen durchgeführt. Der demographische Wandel und der Wunsch der Patienten nach Zahnerhalt lässt eine Abnahme dieser Zahl nicht erwarten. Damit einhergehend steigt auch stetig die Zahl der notwendigen Revisionen. Der Behandler muss jeden dieser Fälle einzeln bewerten sowie abwägen, ob eine Revision möglich und erfolgversprechend ist. Sieht er sich einer für ihn unlösbaren Situation gegenüber, muss der Patient über weitergehende Therapieoptionen aufgeklärt werden, welche selbstverständlich auch die Möglichkeit der Überweisung zu einem Spezialisten beinhalten sollte. In die eigene Bewertung fließen neben der Ausgangssituation (klinische Zeichen, Röntgendiagnostik etc.), den eventuell zusätzlich vorhandenen Informationen (Ausgangsdiagnose, verwendetes Wurzelfüllmaterial, Aufbereitungsmethode, Spülprotokoll usw.) auch die apparative Ausstattung, die Erfahrung des Behandlers sowie nicht zuletzt wirtschaftliche Faktoren mit ein.
Die Revisionsbehandlung ist und bleibt eine Herausforderung sowohl für Generalisten als auch für Spezialisten. Durch die intensivere Ausbildung und das zusätzlich vorhandene Equipment bleiben sehr komplexe endodontische Situationen dem Spezialisten vorbehalten. Möchte man auch als Generalist schwierigere Fälle lösen, bedarf es wenigstens – neben dem Erlernen der notwendigen Techniken – einer zusätzlichen materiellen und technischen Ausstattung.
Mit dem folgenden Artikel soll anhand von Fallbeispielen gezeigt werden, mit welchen endodontischen Situationen sich der nicht spezialisierte Zahnarzt konfrontiert sehen kann und welche Aspekte es zu beachten gibt, um diese möglichst erfolgreich zu meistern.
Hindernis – offenes Foramen
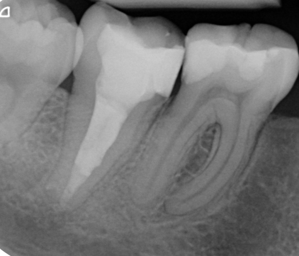
Im ersten Fall stellte sich die Patientin nach bereits erfolgter endodontischer Behandlung an Zahn 47 mit Beschwerden, die insbesondere bei okklusaler Belastung auftraten, vor. Die Provokation mittels Perkussion fiel positiv aus. Das daraufhin angefertigte Röntgenbild (Abb. 1) zeigte eine bis zum Apex reichende Wurzelfüllung mit apikaler Aufhellung und Ausdehnung der Osteolyse bis zum Dach des Nervus alveolaris inferior. Insgesamt war die Wurzelfüllung als inhomogen zu bewerten. Nach Aufklärung über die Therapiealternativen entschied sich die Patientin für einen Revisionsversuch.
Zunächst erfolgte die Trepanation des Zahnes mit Darstellung der Kanaleingänge. Nach Entfernung der alten Wurzelfüllung klagte die Patientin bei der Spülung der Kanäle über ein leichtes Brennen und auch das Trocknen mittels Papierspitzen wurde als unangenehm beschrieben. Der durch vorsichtiges „Ertasten“ mit einer Papierspitze (Iso 40) ausgelöste Schmerzreiz ließ auf ein offenes Foramen schließen. Zur Ausbildung einer Barriere am Foramen apicale erfolgte eine medikamentöse Einlage mit Calciumhydroxid (UltraCal XS®, Ultradent Products) für vier Wochen mit zwei weiteren Wechseln für erneut jeweils vier Wochen. Bei Wiedervorstellung war die Patientin beschwerdefrei und das erneute vorsichtige Tasten mit einer Papierspitze war ohne Beschwerden für die Patientin möglich. Um eine Extension des plastischen Wurzelfüllmaterials über den Apex hinaus zu vermeiden und gleichzeitig eine Apexifikation zu erreichen, wurde ein apikaler Plug mit mineralischem Trioxid-Aggregat (ProRoot MTA® der Firma Dentsply DeTrey) durchgeführt. Alternativ wäre ein Widerlager mit resorbierbarem Kollagen zur Absicherung einer Extrusion des Wurzelfüllmaterials in Betracht zu ziehen, was jedoch mangels optischer Hilfen in Form eines Dentalsmikroskops nicht sicher zu realisieren gewesen wäre.
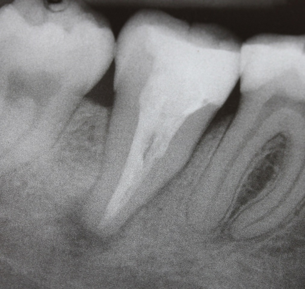
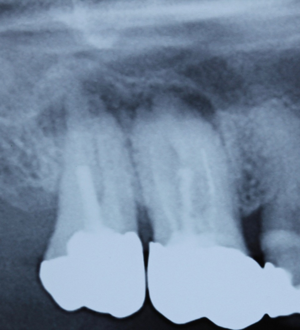
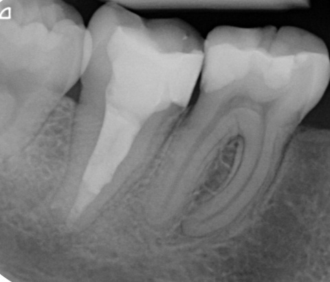
Ein nach Applikation des MTA angefertigtes Kontrollbild zeigt den suffizienten apikalen Verschluss der Konstriktion in einer Schichtstärke von etwa vier Millimeter (Abb. 2). Gleichzeitig wird in der Aufnahme die ausgedehnte Kanalstruktur des Zahnes 47 deutlich.
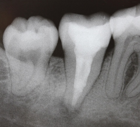
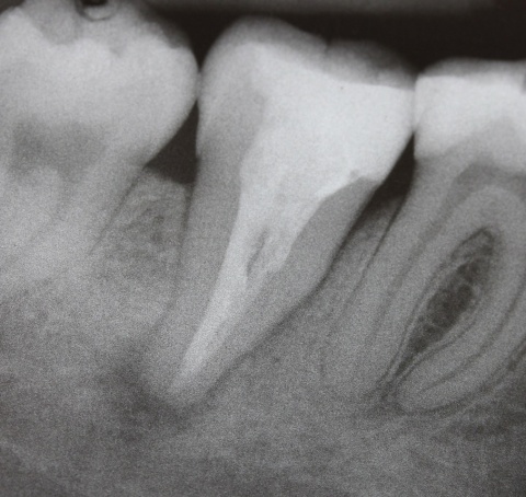
Im zweiten Schritt wurde durch plastisch erwärmte Guttapercha im Sinne der Back-Fill-Phase das Kanalsystem vollständig gefüllt und der Zahn anschließendadhäsiv verschlossen (Abb. 3). Zwölf Monate nach der Revisionsbehandlung ist die Patientin weiterhin beschwerdefrei und die Kontrollaufnahme zeigt den deutlichen Rückgang der apikalen Osteolyse (Abb. 4).
Hindernis – Wurzelstift
Zum Aufbau tief zerstörter Zähne kommt man nicht immer umhin, zur Verankerung der Aufbaufüllung einen Wurzelstift zu setzen. Neben geschraubten und zementierten Metallstiften können „geklebte“ Glasfaserstifte verwendet werden. Eine mögliche Alternative hierzu, welche sich auch in der Leitlinie „Prognose für wurzelkanalbehandelte Zähne“ der Deutschen Gesellschaft für Zahn-, Mund- und Kieferheilkunde (DGZMK) findet, ist die Verzapfung der plastischen Aufbaufüllung in die koronalen Anteile der Wurzelkanäle. Hierbei wird die Wurzelfüllung mit geeigneten rotierenden Instrumenten im oberen Anteil bis zu zwei Millimeter reduziert, mit einer dünnen Schicht Phosphatzement „markiert“ und anschließend mittels plastischen Aufbaumaterialien wieder verschlossen. Durch diese „Markierung“ wird ein Wiederauffinden der Wurzelkanäle gewährleistet. Die Verzapfung der Aufbaufüllung ermöglicht eine sehr stabile Verankerung im Zahn und es kann häufig auf eine Stiftbohrung, und damit auf eine weitere mechanische Schwächung der Wurzel, verzichtet werden. Sehr gut für dieses Verzapfungsverfahren eignet sich das Bulk-Fill-Material SDR® von Dentsply DeTrey. Durch dessen selbstnivellierende Eigenschaften ist ein vollständiges Ausschwemmen der koronalen Anteile der Wurzelkanäle fast sicher gewährleistet. Zudem besteht die Möglichkeit, das Material bis zu einer Schichtstärke von vier Millimeter bei geringer Polymerisationsschrumpfung zu schichten.
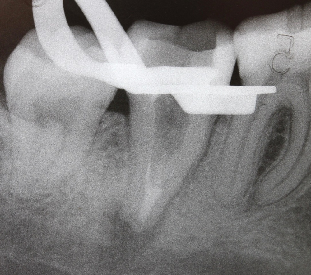
Im nächsten Fall stellte sich ein Patient mit reizunabhängigen Beschwerden und Perkussionsempflindlichkeit an Zahn 17 vor. Begleitend lag eine Lockerung Grad I bis II vor. Das daraufhin angefertigte Röntgenbild (Abb. 5) zeigt eine insuffiziente Wurzelfüllung, nebst Wurzelstift und einer umfangreichen apikalen Osteolyse. Darüber hinaus scheint Zahn 16 ebenfalls apikal beherdet zu sein und im Bereich der mesialen Wurzel besteht der Verdacht eines frakturierten Wurzelkanalinstrumentes.
Nach ausführlicher Aufklärung der vorhandenen Therapiealternativen entschied sich der Patient für die Revisionsbehandlung. Diagnostisch wichtig war in diesem Fall die Bestimmung des inserierten Wurzelstiftes. Röntgenologisch unterscheiden sich Glasfaser- und Metallstifte aufgrund der physikalischen Eigenschaften des Materials deutlich, sodass es sich hier zweifelsfrei um einen Metallstift handelte. Durch das röntgenologisch sichtbare Gewinde ließ sich die Art des Stiftes bestimmen. So war nach Entfernen der Krone das vorsichtige Freischleifen des Stiftkopfes (Abb. 6) wichtig, um den Stift mit einem speziellen Schlüssel ausdrehen zu können (Abb. 7).
Damit ließ sich eine laterale Belastung des Stiftes und der Wurzel durch ungewolltes Hebeln weitestgehend vermeiden.
Zum zusätzlichen Lockern der, meist mit einem Phosphatzement eingesetzten, Stifte ist das vorsichtige „Abtasten“ mit einem Ultraschall- oder Schallinstrument hilfreich. Die vorherige Frage nach dem Vorhandensein eines Herzschrittmachers verhindert ungewollte medizinische Komplikationen. Der störende Effekt ultraschallbetriebener Instrumente auf implantierte Herzschrittmacher wird allerdings noch immer kontrovers diskutiert. Letzten Endes wird der Einsatz alternativer Geräte (z. B. Airscaler) oder eine Nachkontrolle des implantierten Schrittmachers durch einen Kardiologen empfohlen.
Nach Stiftentfernung folgte die Entfernung des vorhandenen Wurzelfüllmaterials. Bewährt hat sich die Anwendung von speziellen Revisionsfeilen, langschaftigen Rosenbohrern (beispielweise Müller-Bohrer), Gates-Glidden Bohrern sowie Schall- und Ultraschallinstrumenten. Der Einsatz von Chloroform zum Anlösen der Guttapercha ist aufgrund des kanzerogenen Potentials und der Toxizität nicht mehr zu empfehlen. Alternativ kann hier Pfefferminz- oder Eukalyptusöl zur Plastifizierung der Guttapercha hilfreich sein.
Die Revision des mesiobukkalen Kanals gestaltete sich aufgrund der ausgeprägten Sklerosierung sehr schwierig und musste letztendlich frustran abgebrochen werden, da sich der apikale Bereich der Wurzel auch nach zeitintensivem Einsatz nicht weiter aufbereiten ließ. Der zweite mesiobukkale Kanal konnte auch nach intensiver Suche nicht aufgefunden werden. Nach Entfernung der alten Wurzelfüllung und Aufbereitung der Wurzelkanäle wurde eine medikamentöse Einlage mit Calciumhydroxid für eine Woche durchgeführt. Vor Obturation der Kanäle kam es durch Abtragen eines Überhanges im Bereich des mesiobukkalen Kanaleinganges zu einer Perforation im Furkationsbereich.
Die Perforation und die starke Sklerosierung des apikalen Anteils der mesiobukkalen Wurzel machten ein ausführliches Spülprotokoll umso wichtiger, um optimale Voraussetzungen für eine „sterile“ Wurzelfüllung zu schaffen.
Die Anwendung einer Natriumhypochloridlösung (NaOCl) gilt hierbei noch immer als Goldstandard. Um dem besonderen Keimspektrum einer reinfizierten Wurzelfüllung Rechnung zu tragen, haben wir zudem mit 2 %-iger Chlorhexidinlösung gespült. Vor jedem Wechsel dieser beiden Spüllösungen sollte ausgiebig mit Isopropanol (70 – 95 %) gespült werden, da es ansonsten zur Ausfällung eines orange-braunen Präzipitats kommt. Eine Spülung mit Kochsalzlösung kann ebenso durchgeführt werden. Dabei lässt sich die Bildung des Präzipitats allerdings nicht völlig vermeiden. Das Problem neben der dadurch entstehenden ästhetisch kompromittierenden, rötlichen Verfärbung des Zahnes, ist die mögliche mechanische Verblockung der Dentinkanäle oder gar der apikalen Konstriktion, sowie einer möglichen Entstehung von Parachloranilin. Dieses besitzt grundsätzlich toxisches und kanzerogenes Potential.
Die bereits erwähnte mögliche mechanische Verblockung würde die Erfolgsaussichten der Revision weiter reduzieren. Die Erfolgsaussichten erhöhen jedoch kann die Anwendung von EDTA (Ethylen-diamintetrigessigsäure). Dieses ist ein Chelatbildner, welcher irreversibel Calcium-Ionen an sich bindet.
Eine Zwischenspülung mit EDTA kann somit verschlossene Dentin- oder sklerosierte Wurzelkanäle wieder öffnen. Eine finale Spülung mit EDTA vor der Wurzelfüllung entfernt den smear-layer auf den Wurzelkanaloberflächen und ermöglicht die Penetration des Wurzelfüllzementes bzw. der erwärmten Guttapercha in die Dentinkanäle und die vorhandenen Ramifikationen.
Eine Abschlussspülung mit NaOCl ist jedoch zu empfehlen, um Reste des EDTA zu entfernen. Das selbige gilt beim Chelator Zitronensäure. Die Anwendung von H2O2 ist heute als obsolet zu betrachten.
Die Wirkung von NaOCl kann durch die Aktivierung mit Ultraschall noch weiter erhöht werden. Überdies wird dadurch eine vollständige Irrigation aller Nischen des Kanals gewährleistet.
Um ein vollständiges Verschließen des umfangreich aufbereiteten Wurzelkanals zu garantieren, wendete ich in vorliegendem Fall die warme vertikale Obturation (BeeFill 2in1® von VDW) an. Der apikale Bereich des Kanals konnte somit kompakt gefüllt werden. Das letzte Drittel wurde mit MTA aufgefüllt um gleichzeitig die vorhandene Perforation zu decken.
Das Kontrollröntgenbild zeigt die vollständige Obturation der Kanäle.
Eine Woche nach Wurzelfüllung wurde der Patient aufgrund von Schmerzen und einer Schwellung im disto-cervikalen Bereich des Zahnes 17 vorstellig (Abb. 8).
Zu diesem Zeitpunkt war der Zahn noch provisorisch mit Cavit® und einer Schicht Komposit verschlossen. Der Perkussionstest verlief negativ, jedoch zeigte sich noch eine Lockerung Grad I. Im Bereich des Vestibulums war weder eine Schwellung sicht- oder tastbar und dieser Bereich wies keine Druckdolenz auf. Ein Grund für diese Abszedierung kann in einer Traumatisierung des Gewebes durch die Kofferdamklammer mit einer bakteriellen Besiedlung zu sehen sein. Nach Infiltrationsanästhesie wurde der Abszess inzidiert und mit einer Povidon-Jod-Lösung (Betaisadona®, ADAG Pharma) gespült. Für eine Woche wurde adjuvant eine Antibiotikagabe verordnet (Clindamycin 400 mg). Vier Tage nach Inzision wurde der Patient zur Kontrolle einbestellt. Zu diesem Zeitpunkt war er beschwerdefrei und die Schwellung deutlich regredient. Im Rahmen dieser Nachkontrolle erfolgte die Entfernung der provisorischen Deckfüllung und eine Inspektion des Pulpencavums auf Risse oder Blutungen (Abb. 9). Diese Untersuchung fiel ohne pathologischen Befund aus, woraufhin eine definitive Deckfüllung appliziert werden konnte.
Im Sinne der bereits erwähnten Stabilisierung der Aufbaufüllung wurden die koronalen Anteile der Wurzelfüllungen (palatinal sowie distobukkal) in die Kanaleingänge hinein reduziert und mit SDR® aufgefüllt. Abschließend erfolgte die Versorgung des Zahnes 17 mit einer provisorischen Krone (Protemp®, Firma 3M ESPE).
Bei einem folgenden Kontrolltermin war der Patient weiterhin beschwerdefrei, es lag weder eine Schwellung noch ein Lockerungsgrad vor und auch die Perkussionsprobe verlief negativ. Das Kontrollröntgenbild 4 ½ Monate nach Insertion der Wurzelfüllung zeigt eine deutliche Regression der ehemals umfangreichen Osteolyse (Abb. 10). Im weiteren Verlauf der Behandlung ist die Entfernung des Instrumentenfragments aus dem mesiobukkalen Kanals des Zahnes 16 geplant, sowie die anschließende prothetische Neuversorgung der Zähne 16 und 17.
Fazit
Vor und während jeder endodontischen Behandlung muss der Behandler die ihm vorliegende Situation beurteilen und entscheiden, welche Schritte unternommen werden müssen um den Erfolg zu sichern, bzw. die Prognose zu verbessern. Dabei spielen zeitliche Faktoren eine nicht unwesentliche Rolle. Die Dauer der Behandlungen und eventuell einhergehende Wiedervorstellungen des Patienten müssen in die Überlegungen des Behandlers mit einfließen.
Die Anschaffung und Bevorratung spezieller Materialien und Instrumente sowie das Erlernen des Handlings dieser Zusatzausstattung bilden jedoch die Grundlage auch komplexere endodontische Fälle lösen zu können.
Letztendlich entscheidend ist, dass jeder Behandlungsfall individuell beurteilt wird und notwendige Behandlungsstrategien vorhanden sind, um auch auf unvorhergesehene Situationen adäquat reagieren zu können.
Anschrift des Verfassers:
Oberstabsarzt Dr. Andreas Simka
Bundeswehrkrankenhaus Hamburg
Fachzahnärztliches Zentrum
Lesserstraße 180, 22049 Hamburg
E-Mail: [email protected]
Literatur beim Verfasser
Datum: 24.08.2017
Wehrmedizin und Wehrpharmazie 2017/2











